牙齿矫正是否会影响脸型,是许多考虑矫正者最关心的问题之一,牙齿矫正与脸型的关系并非简单的“是”或“否”,而是涉及牙齿移动、牙槽骨改建、软组织适应等多重因素的复杂过程,其影响程度因个体差异、原始牙齿问题、矫正方案及面部基础条件而异,总体可概括为“可能优化脸型,但不会彻底重塑骨骼结构”。
牙齿矫正如何作用于脸型:核心机制解析
牙齿矫正的本质,是通过外力(如托槽、弓丝、隐形牙套等)使牙齿在牙槽骨中缓慢移动,同时牙槽骨会发生改建——牙齿移动前方的牙槽骨吸收,后方的牙槽骨增生,最终使牙齿稳定在新位置,这一过程不仅改变牙齿排列,还会通过以下途径间接影响面部软组织形态,进而改变脸型观感:

牙齿位置变化直接影响软组织支撑
牙齿是面部软组织的“支架”,尤其是上下前牙(门牙)对嘴唇、脸颊的支撑作用显著。
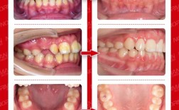
- 龅牙(上颌前突):上前牙过度前突,会导致上唇被迫前凸,侧面呈现“凸嘴”状,矫正时通过将上前牙向舌侧移动,减少其对上唇的支撑力,上唇自然会回收,侧面线条会变得更流畅。
- 地包天(下颌前突):下前牙位于上前牙唇侧,下唇被迫内收,下巴显得突出,矫正时通过将下前牙向唇侧移动、上前牙适当前移,可改善下颌前突,使面中部分更饱满,下巴后缩的观感减轻。
咬合关系调整改变面部肌肉张力
咬合异常(如深覆合、深覆盖、偏颌等)会导致面部肌肉张力不平衡,长期可能影响下颌位置和面部对称性,矫正通过调整咬合,使牙齿尖窝交错、肌肉发力协调,间接改善因咬合问题导致的面部歪斜或肌肉紧张,
- 偏颌:因单侧后牙早接触,可能导致下颌偏向一侧,面部不对称,矫正通过排齐牙齿、建立均匀咬合,可引导下颌回到正中位置,改善面部对称性。
- 深覆合:上前牙过度覆盖下前牙,导致面下1/3变短、下巴后缩,矫正时打开咬合(如升高后牙、压低前牙),可拉长面下1/3,让下巴更明显。
牙槽骨改建与软组织适应性变化
牙齿移动伴随的牙槽骨改建,会为软组织提供新的“附着基础”,嘴唇、脸颊等软组织会随着牙齿位置的变化缓慢调整,但这种调整是有限度的——软组织的厚度、弹性(如嘴唇厚度、脸颊饱满度)会直接影响最终效果,嘴唇较厚的人,即使牙齿回收,嘴唇突度改善也可能不如薄嘴唇者明显。
常见牙齿问题矫正后的脸型变化:具体案例与预期
不同类型的牙齿畸形,矫正后对脸型的影响重点也不同,以下通过表格总结典型问题及可能的脸型变化:

| 原始牙齿问题 | 典型面部表现 | 矫正后脸型变化预期 | 关键调整部位 |
|---|---|---|---|
| 龅牙(上颌前突) | 上唇前凸、侧面“凸嘴”、鼻唇沟深 | 上唇回收、侧面线条变平直、鼻唇沟变浅 | 上前牙舌侧移动、上颌轻度内收 |
| 地包天(下颌前突) | 下巴前突、面中凹陷、“月牙脸” | 下颌后退、面中饱满度提升、下巴后缩改善 | 下前牙唇侧移动、上颌前牙调整 |
| 牙齿拥挤 | 唇部饱满度不均、面部线条略臃肿 | 牙齿整齐后唇部线条更对称、可能显“瘦” | 牙齿排齐、少量唇向移动 |
| 深覆合 | 面下1/3短小、下唇卷曲、下巴后缩 | 面下1/3拉长、下巴更明显、下唇形态改善 | 压低上前牙、升高后牙、打开咬合 |
| 牙齿稀疏(牙缝大) | 唇部支撑不足、面部略显“凹陷” | 牙齿间隙关闭后唇部饱满度提升、面部更协调 | 牙齿集中、邻面接触点重建 |
影响矫正效果的关键因素:为何有人变化大,有人变化小?
牙齿矫正对脸型的影响并非“千人一面”,以下因素会直接决定最终效果:
原始牙齿问题的严重程度
牙齿畸形越严重(如龅牙角度超过10mm、地包天反覆合超过3mm),矫正后牙齿移动幅度越大,对脸型的影响也越明显;若仅为轻微拥挤或排列不齐,牙齿移动范围小,脸型变化可能以“细微优化”为主。
年龄与骨骼发育状态
- 青少年(生长发育期):颌骨仍处于发育阶段,矫正可通过“牙齿引导骨骼生长”改变脸型(如使用生长改良矫治器纠正地包天,避免成年后正颌手术)。
- 成年人(骨骼已定型):颌骨不再生长,矫正主要通过牙齿移动和软组织适应调整脸型,效果相对有限,但仍能显著改善面部协调性。
面部软组织特性
- 软组织厚度:嘴唇厚、脸颊饱满者,牙齿移动对脸型的“视觉改变”会被软组织缓冲;而软组织薄者(如“薄唇”),牙齿位置变化带来的脸型差异更明显。
- 皮肤弹性:年轻人皮肤弹性好,软组织适应牙齿移动更快;中老年人皮肤松弛,适应能力稍弱,但矫正仍能改善面部线条。
矫正方案的精准度
专业的矫正方案需结合面部美学设计(如笑线、鼻唇角、唇齿关系),为追求“自然美”,医生可能会保留少量上前牙突度,避免过度内收导致“瘪嘴”;若方案设计不当(如过度内收龅牙患者),可能引发“黑三角”或牙龈萎缩,反而不利于脸型美观。
关于脸型变化的常见误区:打破认知盲区
误区1:“矫正会让脸变宽”
真相:矫正初期,牙齿排齐过程中可能暂时“占据”颊侧空间,加上托槽厚度,会让脸颊显得略饱满,但这是暂时现象,牙齿完全排齐、咬合稳定后,牙槽骨改建完成,面部线条会变得更协调,而非“变宽”,若本身存在“牙弓狭窄”,矫正时通过扩展牙弓,反而能让面中部更饱满,改善“窄脸”观感。

误区2:“矫正会让人显老”
真相:部分矫正者初期会因牙齿移动、牙龈轻微肿胀(“牙套脸”的误解)或暂时性肌肉不适应,出现“法令纹加深”“嘴角下垂”等显老表现,但这多为暂时现象,随着牙齿稳定、软组织适应,面部肌肉会恢复正常张力,且矫正后牙齿整齐、咬合改善,反而会让人因笑容更自信而“显年轻”。
理性看待矫正与脸型的关系
牙齿矫正的核心目标是“恢复口腔健康与功能”,脸型改善是“附带的美学红利”,其对脸型的影响本质是“优化”——通过调整牙齿位置和咬合关系,让面部软组织在原有骨骼基础上达到更协调的状态,而非“换脸”,若存在严重的骨骼畸形(如重度地包天、小颌畸形),单纯正畸无法改变骨骼形态,需联合正颌手术治疗。
考虑矫正者应与医生充分沟通,明确自身牙齿问题、面部条件及矫正预期,通过专业方案设计,在健康与美观间找到最佳平衡点。
相关问答FAQs
Q1:矫正期间脸型变“瘪”是正常的吗?会恢复吗?
A:矫正初期(前3-6个月),部分人(尤其是龅牙患者)可能会因牙齿开始内收、牙龈轻微肿胀或暂时性牙根吸收,出现脸颊“凹陷”、嘴唇变“瘪”的观感,这属于正常现象,随着牙齿移动稳定、牙槽骨改建完成(通常6-12个月后),软组织会逐渐适应,饱满度会慢慢恢复,若持续凹陷或伴随疼痛,需及时复诊排查矫正方案问题。
Q2:成年后矫正还能改善脸型吗?和青少年矫正效果一样吗?
A:成年后矫正仍能改善脸型,但效果与青少年有差异:青少年因骨骼可塑性强,矫正可通过引导生长改变颌骨位置,脸型变化更显著;成年人骨骼已定型,矫正主要通过牙齿移动和软组织适应调整脸型,变化集中在“牙齿-唇部-咬合”的协调性改善(如凸嘴变平整、深覆合打开后下巴更明显),虽然无法“重塑骨骼”,但成年人审美认知更成熟,配合度更高,仍能获得满意的面部优化效果。
