矫正牙齿后,部分人可能会发现牙齿之间出现了黑色的三角形缝隙,俗称“黑三角”,这种问题不仅影响美观,还可能引发口腔健康隐患,黑三角在医学上称为“龈外展隙增大”,是指牙齿邻接点下方的牙龈乳头退缩,导致牙齿之间出现无法被牙龈填塞的三角形空隙,其形成并非单一原因,而是多因素共同作用的结果,了解这些原因及应对方法,对矫正后的口腔维护至关重要。
黑三角的出现,首先与牙齿本身的形态和位置密切相关,正常情况下,牙齿的邻接点位于牙齿接触区的偏龈方,牙龈乳头能充分填充间隙,但如果牙齿本身呈“三角形”(如侧切牙过小、锥形牙),或矫正后牙齿移动位置导致邻接点偏移至牙冠中部,牙龈乳头便难以覆盖,形成黑三角,牙齿排列过于拥挤,在矫正前牙龈长期受压迫,矫正后牙齿排齐,牙龈因长期受压而萎缩,也可能导致黑三角显现。

牙龈和牙槽骨的健康状况是关键因素,牙龈乳头的高度依赖于下方牙槽骨的支持,若存在牙周炎、牙槽骨吸收等问题,牙龈会因缺乏支撑而退缩,矫正过程中,如果口腔卫生维护不当,牙菌斑堆积引发牙龈炎,长期炎症会破坏牙龈纤维和牙槽骨,加速黑三角形成,年龄增长也会导致牙龈自然退缩,中老年人矫正后出现黑三角的概率相对更高。
矫正过程中的操作细节同样影响黑三角的出现,牙齿移动速度过快,牙槽骨改建滞后于牙齿移动,导致牙龈无法及时适应新的位置;托槽粘贴位置不准确,使牙齿发生倾斜移动而非整体移动,改变了邻接点的位置;或过度追求“排齐整齐”,未充分评估患者的骨量和牙龈条件,强行关闭间隙,都可能诱发黑三角,矫正结束后未严格佩戴保持器,牙齿发生轻微移位,也可能导致邻接关系改变,引发黑三角。
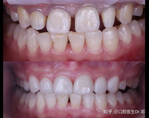
黑三角带来的影响远不止美观问题,由于黑三角区域牙龈退缩,牙根部分暴露,易导致牙齿敏感;此处易嵌塞食物残渣,若清洁不彻底,会滋生细菌,引发龋齿、牙龈炎甚至牙周炎,进一步加重牙龈萎缩,形成恶性循环,对于前牙区的黑三角,还可能影响发音和社交自信。
针对已出现的黑三角,需根据严重程度采取不同处理方式,轻度黑三角若无明显症状且不影响美观,可先观察,加强口腔卫生维护;中度至重度黑三角则需积极干预,非手术方法中,树脂修复是常见选择,通过树脂材料填充黑三角,恢复牙齿邻接关系,操作便捷且效果立竿见影,但需定期检查修补,避免树脂脱落,对于因牙龈萎缩导致的中重度黑三角,可采用牙龈移植术,从上颚腭侧取部分牙龈组织,移植到牙龈乳头缺损区域,增加牙龈量;若伴有牙槽骨吸收,则需先进行引导性骨再生术,植入骨粉引导骨再生,再配合牙龈移植,从根本上改善牙龈形态。

预防黑三角的关键在于矫正前全面评估和矫正中精细控制,矫正前,医生需通过口腔检查、X光片等评估患者的牙龈状况、牙槽骨高度和牙齿形态,对存在牙周疾病或骨量不足的患者,先进行牙周治疗或骨增量手术再开始矫正,矫正中,应控制牙齿移动速度,每阶段移动距离不宜过大,给牙槽骨充分的改建时间;托槽粘贴需精准,确保牙齿整体移动;患者需加强口腔卫生,使用正畸专用牙刷、牙缝刷、冲牙器等工具,彻底清洁牙面和托槽周围,定期洗牙,预防牙龈炎,矫正结束后,严格佩戴保持器,维持牙齿稳定位置,避免复发。
主要原因及预防措施总结
| 主要原因 | 预防措施 |
|---|---|
| 牙齿形态异常(如锥形牙)、邻接点位置偏移 | 矫正前评估牙齿形态,必要时通过修复调整邻接点 |
| 牙龈萎缩、牙槽骨吸收(牙周炎、年龄因素) | 矫正前治疗牙周疾病,中老年人矫正需谨慎控制移动速度 |
| 牙齿移动过快、托槽位置不精准 | 医生控制移动速度,确保牙齿整体移动,精准粘贴托槽 |
| 口腔卫生差导致牙龈炎 | 患者使用正畸清洁工具,定期洗牙,预防炎症 |
相关问答FAQs
Q:矫正后出现黑三角一定是医生操作不当吗?
A:不一定,黑三角的形成是多因素综合作用的结果,包括患者自身牙齿形态、牙龈牙槽骨条件、年龄、口腔卫生习惯等,医生操作(如移动速度、托槽位置)确实是影响因素之一,但若矫正前存在牙周疾病、骨量不足或牙齿本身呈三角形等问题,即使医生操作规范,仍可能出现黑三角,矫正前全面的口腔评估和患者良好的口腔维护同样重要。
Q:黑三角不治疗会有什么后果?
A:轻度黑三角若无明显症状,可能暂时不影响生活,但长期存在易嵌塞食物,导致清洁困难,引发龋齿、牙龈炎,进一步加重牙龈萎缩,使黑三角扩大,中重度黑三角会暴露牙根,导致牙齿敏感,影响咀嚼功能和美观,若不及时干预,可能发展为更严重的牙周问题,甚至导致牙齿松动,建议出现黑三角后及时咨询医生,评估是否需要治疗。
