龋齿是口腔中常见的疾病,主要表现为牙齿硬组织被细菌分解,形成龋洞,若不及时治疗,可能进展为牙髓炎、根尖周炎等,甚至影响牙齿功能,而牙齿矫正是通过外力调整牙齿排列、改善咬合关系的过程,两者看似属于不同领域,但实际中常有患者因龋齿数量较多而纠结是否还能进行矫正,龋齿多并非矫正的绝对禁忌,但需要综合评估龋齿的严重程度、治疗状态、口腔整体健康状况等多方面因素,并制定个性化的治疗方案。
龋齿多是否会影响牙齿矫正?关键在于“龋齿的状态”
牙齿矫正的核心原理是利用矫治器对牙齿施加持续、轻柔的力量,引导牙齿在牙槽骨中缓慢移动,这一过程依赖牙周组织的健康(如牙槽骨、牙龈、牙周膜等)和牙齿本身的稳定性,若口腔中存在大量未处理的龋齿,尤其是处于活动期的龋齿,可能会对矫正产生以下影响:

- 增加矫正风险:活动期龋齿(未补牙、未根管治疗)的牙齿硬组织结构薄弱,在矫正过程中受力时,可能出现龋洞扩大、牙齿劈裂,甚至因细菌感染导致牙髓坏死,影响牙齿移动的稳定性。
- 干扰矫正效果:龋齿导致的牙齿缺损、形态异常(如大面积龋坏导致的牙齿短小、残根)可能影响矫治器的粘贴(如托槽粘接不牢固)或牙齿移动的路径,导致矫正效果不佳。
- 引发继发问题:矫正期间口腔清洁难度增加,若本身存在龋齿,食物残渣更易滞留在龋洞和矫治器周围,加速龋齿进展,同时可能引发牙龈炎、牙周炎等,进一步破坏牙周健康,影响矫正进程。
但需要明确的是,“龋齿多”本身并非矫正禁忌,关键在于龋齿是否得到“有效控制”,已经完成补牙、根管治疗或拔除的龋齿,只要剩余牙体组织足够、牙周健康,通常不会影响矫正。
矫正前:龋齿必须“先处理,后矫正”
对于龋齿较多的患者,正畸医生通常会建议先进行全面的口腔检查和龋齿治疗,待龋齿病情稳定后再启动矫正,具体处理方式需根据龋齿的严重程度制定:
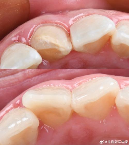
浅龋、中龋(未累及牙髓):仅需补牙
浅龋(局限于牙釉质层)和中龋(达牙本质浅层,无明显自发痛)通常可通过充填治疗(补牙)解决,补牙后牙齿恢复形态和功能,可正常承受矫正力量,需要注意的是,补牙材料需选择耐磨、与牙齿粘接性好的材料(如复合树脂),避免在矫正过程中因受力脱落。
深龋(接近或已穿通牙髓):需根管治疗
若龋齿进展至牙本质深层,接近或已穿通牙髓,可能引发牙髓炎(表现为剧烈疼痛、冷热刺激敏感),此时需先进行根管治疗(俗称“杀神经”),清除牙髓腔内的感染物质,再用材料严密填充根管,根管治疗后的牙齿失去牙髓的营养供应,脆性增加,医生通常会建议在牙齿表面做牙冠保护,防止矫正过程中牙齿劈裂。

龋坏严重无法保留:需拔除
若龋齿导致牙体大面积缺损、牙根吸收严重或已形成残根,无法通过补牙或根管治疗保留,则需拔除,拔牙后,正畸医生会根据患者的具体情况设计拔牙间隙的解决方案:若拔牙间隙位于牙弓前段,可通过移动邻牙关闭间隙;若位于后段,可能通过支抗钉或邻牙移动维持间隙,后期再考虑种植牙修复。
不同龋齿严重程度及矫正前处理建议
| 龋齿阶段 | 临床表现 | 处理措施 | 矫正时机评估 |
|---|---|---|---|
| 浅龋 | 牙釉质表面白垩色斑、浅龋洞,无敏感 | 充填治疗(补牙) | 治疗完成后1-2周,无不适即可 |
| 中龋 | 龋洞达牙本质,冷热敏感,无自发痛 | 充填治疗 | 治疗完成后1-2周 |
| 深龋(未穿髓) | 龋洞深,冷热刺激痛明显,无牙髓炎症状 | 间接盖髓术或充填治疗+根管治疗预备 | 根管治疗完成后3-6个月,牙冠修复稳定后 |
| 深龋(已穿髓) | 剧烈疼痛、夜间痛、牙髓炎症状 | 根管治疗+牙冠修复 | 牙冠修复完成后2-4周 |
| 龋坏无法保留 | 残根、牙根吸收、大面积缺损 | 拔除患牙 | 拔牙后1-3个月,牙龈愈合良好 |
矫正中:口腔卫生是“重中之重”
龋齿患者即使完成了龋齿治疗,在矫正过程中仍需格外注意口腔卫生,原因在于:矫治器(如托槽、弓丝)会阻碍牙齿清洁,食物残渣和细菌易滞留,形成菌斑,导致龋齿复发或新发龋齿,龋齿病史患者矫正期间的口腔维护需做到以下几点:
使用专业的清洁工具
- 正畸专用牙刷:选择“V形”或“小头”牙刷,刷毛软硬适中,可更好地清洁托槽周围和牙齿邻面。
- 牙线/正畸牙线:每日至少使用1次正畸牙线(含牙缝刷),穿过弓丝下方清洁牙齿邻面,普通牙线难以清洁的部位可用冲牙器辅助。
- 含氟牙膏/漱口水:使用含氟牙膏(氟化钠浓度≥1000ppm)增强牙齿抗龋能力,必要时可遵医嘱使用含氟漱口水(如0.12%氯己定),每日1次,连续使用不超过2周(避免口腔菌群失调)。
调整饮食习惯
- 避免高糖、高酸性食物(如碳酸饮料、糖果、蛋糕),减少细菌代谢产酸,降低龋齿风险。
- 少吃坚硬、黏性食物(如坚果、口香糖),防止矫治器脱落或牙齿损伤。
- 进食后及时漱口,若无法立即刷牙,至少用清水或漱口水冲洗口腔,减少食物残渣滞留。
定期复查与口腔检查
矫正期间需每4-6周复诊一次,调整矫治器;同时每3-6个月进行一次口腔检查和洁牙(洗牙),清除牙结石和菌斑,及时发现早期龋齿(如邻面龋、隐蔽龋)。
特殊情况:龋齿与矫正的协同处理
部分患者可能存在龋齿与牙齿排列不齐同时存在的情况,需根据具体病情制定“同步治疗”或“分步治疗”方案:

青少年患者:龋齿活跃期优先处理
青少年由于口腔卫生习惯尚未完全建立,龋齿进展快,且常伴有多个龋齿(如“奶瓶龋”“猖獗龋”),此时应优先控制龋齿活动(如补牙、涂氟、窝沟封闭),待龋齿稳定后再启动矫正,避免矫正期间龋齿反复发作。
成人患者:牙周与龋齿综合评估
成人患者常伴有牙周炎(牙龈萎缩、牙槽骨吸收),而龋齿和牙周炎相互影响(牙周炎导致牙根暴露,易发生根面龋;龋齿引发炎症加重牙周破坏),此类患者需先进行牙周治疗(洁治、刮治、牙周手术),控制牙周炎症,同时处理龋齿,待牙周指标稳定(如牙龈无出血、牙周袋深度≤3mm)后再矫正,矫正期间需加强牙周维护,每3个月复查一次牙周情况。
龋齿多≠不能矫正,科学治疗是关键
龋齿较多的患者并非绝对不能进行牙齿矫正,但前提是必须经过全面的口腔检查,对龋齿进行彻底治疗(补牙、根管治疗或拔牙),待龋齿病情稳定、口腔健康状况良好后再启动矫正,矫正过程中需严格保持口腔卫生,定期复查,及时处理可能出现的问题,通过“龋齿预处理+个性化矫正方案+严格口腔维护”的综合治疗,龋齿患者同样可以获得理想的矫正效果,同时维护口腔长期健康。
相关问答FAQs
Q1:龋齿没补完可以开始矫正吗?
A:不建议,未处理的龋齿(尤其是活动期龋齿)在矫正过程中可能加重,导致牙髓感染、牙齿劈裂,甚至影响矫正进程,正确的做法是先完成所有龋齿治疗(补牙、根管治疗或拔除),待龋齿病情稳定、牙齿功能恢复后再开始矫正,一般补牙后需等待1-2周,根管治疗后需等待3-6个月(视牙冠修复情况而定)。
Q2:矫正期间又发现新龋齿怎么办?
A:一旦矫正期间发现新龋齿,需立即告知正畸医生,并暂停矫正(若龋齿较深),浅龋可在矫正过程中由牙体牙髓科医生进行补牙,但需注意避开矫治器粘接部位;深龋或引发牙髓炎时,需先进行根管治疗,待牙齿稳定后再继续矫正,需加强口腔清洁(如增加使用冲牙器次数、定期洁牙),避免龋齿进一步进展。
