正畸治疗中,结扎丝虽小,却扮演着“固定锁”的关键角色——它将托槽牢牢绑在弓丝上,传递矫正力,引导牙齿按预设方向移动,不少患者会遇到结扎丝松动的问题,这不仅影响治疗效果,还可能引发口腔不适,本文将从结扎丝松动的常见原因、影响、处理方法及预防措施展开详细说明,帮助大家科学应对这一问题。
结扎丝松动的常见原因
结扎丝松动是正畸治疗中的常见并发症,其发生涉及医生操作、材料特性、患者习惯及治疗阶段等多方面因素,具体原因如下:

操作因素
医生的操作技术直接影响结扎丝的稳定性,若结扎力度不足,结扎丝与托槽槽沟之间留有空隙,托槽易受力松动;结扎力度过大则可能导致结扎丝过度变形,失去弹性固定作用,结扎方式不当(如单结扎未交叉、未形成“8”字固定)也会降低抗扭转能力,尤其对扭转牙、后牙等受力复杂的牙齿,固定效果更差。
材料因素
结扎丝材质和规格的选择需与牙齿位置、移动需求匹配,不锈钢丝稳定性好但弹性较差,长期受力后可能出现“金属疲劳”,导致结扎丝松弛;镍钛丝弹性佳但记忆性易受温度影响,若口腔温度变化(如进食热食)或反复弯折,可能丧失弹性,结扎丝过细无法完全填充托槽槽沟,过粗则难以嵌入槽沟,均会影响固定效果。
患者因素
患者日常习惯是结扎丝松动的重要诱因,饮食方面,咬硬物(如坚果、螃蟹壳、骨头)、黏食(如年糕、口香糖)可能直接导致结扎丝变形或托槽脱落;口腔习惯方面,用牙开瓶、咬笔、咬嘴唇等异常咬合力会持续作用于结扎丝,加速其松动,口腔清洁不到位同样不可忽视——牙结石堆积会腐蚀结扎丝,食物嵌塞可能顶松结扎丝,尤其邻牙拥挤时,嵌塞食物的长期挤压易使结扎丝移位。
治疗阶段因素
正畸治疗不同阶段,牙齿移动状态不同,结扎丝受力变化也不同,初期(1-3个月),牙齿处于快速移动阶段,牙槽骨改建活跃,结扎丝需持续调整张力,若未及时复诊,原有结扎力度可能无法适应牙齿移动,导致松动;后期(如排齐完成阶段),咬合关系调整中,若存在咬合干扰(如早接触点),异常咬合力会集中作用于个别结扎丝,引发局部松动。

为更直观理解,以下表格总结结扎丝松动的常见原因、具体表现及预防措施:
| 原因类别 | 具体表现 | 预防措施 |
|---|---|---|
| 操作因素 | 结扎力度不足(托槽晃动明显);结扎方式错误(单结扎未交叉,抗扭转能力弱) | 医生规范培训,使用结扎钳控制力度(以结扎丝轻微变形为度);复杂牙齿采用双结扎或连续结扎 |
| 材料因素 | 结扎丝老化(不锈钢丝弹性疲劳,镍钛丝记忆性丧失);规格不匹配(过细/过粗) | 根据牙齿位置选择材质(前牙区用细镍钛丝,后牙区用不锈钢丝);定期更换结扎丝(一般3-6个月) |
| 患者因素 | 咬硬物/黏食导致结扎丝变形;异常咬合力(开瓶、咬笔);清洁不到位(牙结石、嵌塞) | 患者教育(避免硬食、黏食,纠正咬物习惯);加强口腔清洁(正畸牙刷+牙缝刷+冲牙器,每3-6个月洗牙) |
| 治疗阶段因素 | 初期牙齿快速移动,结扎丝张力变化;后期咬合干扰导致异常受力 | 初期复诊间隔缩短(2-4周检查结扎丝);后期调整咬合(消除早接触点,减轻结扎丝负荷) |
结扎丝松动的影响
结扎丝松动看似“小问题”,实则可能引发一系列连锁反应,影响治疗效果和口腔健康:
治疗效率降低
结扎丝松动后,托槽固定失效,弓丝无法传递精准的矫正力,可能导致牙齿移动异常(如扭转、倾斜、倾斜角度偏差),若未及时处理,牙齿可能偏离预设移动轨迹,需重新调整,延长治疗时间(通常延长1-3个月)。
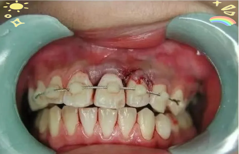
口腔软组织损伤
松动的结扎丝末端可能形成“锐角”,反复摩擦颊黏膜、舌头或唇部,引发溃疡、糜烂,甚至形成慢性创伤性溃疡,影响进食、说话和口腔卫生维护,部分患者因疼痛不敢刷牙,进一步加剧口腔问题。

继发口腔问题
结扎丝松动后,托槽与牙齿间、邻牙间隙易嵌塞食物,若清洁不到位,会形成牙菌斑堆积,导致牙龈炎(牙龈红肿、出血)、牙周炎(牙槽骨吸收),甚至继发龋坏(牙齿脱矿、龋洞),尤其在正畸治疗中,牙齿表面更易清洁不到位,增加龋坏风险。
矫治效果偏差
若结扎丝松动后未及时发现,牙齿可能自行调整位置,导致牙列不齐复发(如牙齿扭转反弹、咬合关系紊乱),严重时甚至需重新开始治疗,增加患者痛苦和经济负担。
结扎丝松动的处理方法
结扎丝松动需根据松动程度和紧急程度,分“家庭紧急处理”和“临床专业处理”两步应对:
家庭紧急处理
- 观察松动情况:用手指轻轻晃动托槽,判断是完全脱落还是仅结扎丝松动,若托槽完全脱落,需保存好脱落部件(避免吞咽),并用正畸蜡覆盖牙齿断面,防止刮伤口腔。
- 避免刺激:若结扎丝末端刺伤黏膜,可取少量正畸 wax(正畸蜡)包裹结扎丝尖端,形成光滑保护层,缓解不适。
- 调整饮食:暂时改为软食(如粥、面条、蒸蛋),避免用患侧咀嚼,减少对松动结扎丝的额外受力。
- 及时联系医生:无论松动程度如何,均需尽快联系正畸医生,预约复诊(一般建议1周内处理,避免拖延影响治疗)。
临床专业处理
医生会根据具体情况采取针对性措施:
- 重新结扎:对于轻微松动,医生会用结扎钳调整结扎丝力度(以托槽无晃动、结扎丝无过度变形为度),并优化结扎方式(如采用“双结扎”“连续结扎”增强稳定性)。
- 更换结扎丝:若结扎丝老化、变形或断裂,会更换为合适材质和规格的结扎丝(如前牙区换用细镍钛丝,后牙区换用不锈钢丝)。
- 处理托槽及弓丝:若托槽损坏,需重新粘接;若弓丝变形,需调整弓丝形态,确保与托槽槽沟贴合。
- 口腔问题处理:若伴有牙龈炎、溃疡,会进行牙周清洁(喷砂、洁治),并开具漱口水(如氯己漱口液)或溃疡贴促进愈合。
- 分析原因并调整方案:医生会结合患者习惯、治疗阶段,制定个性化预防方案(如加强咬合训练、调整复诊频率、更换结扎材料等)。
结扎丝松动的预防措施
预防结扎丝松动需医患双方共同努力,重点从“患者日常管理”和“医生规范操作”两方面入手:
患者日常管理
- 饮食控制:避免硬物(坚果、硬糖、螃蟹壳)、黏食(年糕、口香糖、太妃糖),进食时细嚼慢咽,用牙齿咀嚼而非门牙啃咬。
- 纠正口腔习惯:戒除用牙开瓶、咬笔、咬嘴唇、咬异物等习惯,异常咬合力是结扎丝松动的“隐形杀手”。
- 加强口腔清洁:使用正畸专用牙刷(如小头软毛牙刷)和牙缝刷,配合冲牙器清洁牙面和托槽周围;每3-6个月进行一次牙周检查和洗牙,清除牙结石,防止腐蚀结扎丝。
- 定期复诊:严格按医生要求复诊(一般4-6周一次),医生会及时检查结扎丝松紧度,提前处理潜在问题。
医生规范操作
- 规范结扎技术:掌握正确的结扎力度(以结扎丝嵌入托槽槽沟1/3-1/2为宜)和结扎方式(复杂牙齿采用双结扎或连续结扎),避免单结扎导致的稳定性不足。
- 合理选择材料:根据牙齿位置、移动需求选择结扎丝材质(如前牙区优先选弹性好的镍钛丝,后牙区选稳定性强的不锈钢丝),避免“一刀切”。
- 加强沟通与宣教:治疗前详细告知患者结扎丝松动的风险和预防措施,治疗中定期提醒注意事项,提高患者依从性。
相关问答FAQs
问题1:正畸结扎丝松动但托槽没脱落,需要马上处理吗?
解答:建议尽快处理,即使托槽未脱落,松动的结扎丝无法有效固定托槽,可能导致牙齿移动异常(如扭转、倾斜),且结扎丝末端可能刺伤黏膜,引发溃疡,若暂时无法复诊,可先用正畸蜡覆盖结扎丝末端,避免刺激,并尽快联系医生调整,一般不超过1周。
问题2:结扎丝反复松动是什么原因?
解答:可能与多方面因素有关:①医生操作:结扎力度不稳定或结扎方式不当(如单结扎未交叉);②患者习惯:频繁咬硬物、用牙开瓶等异常咬合力;③口腔问题:牙结石过多腐蚀结扎丝,或咬合干扰导致异常受力;④材料问题:结扎丝材质老化或选择不当(如过细),需结合具体情况,由医生检查后针对性解决(如调整结扎方式、纠正咬合习惯、更换结扎丝材质)。
