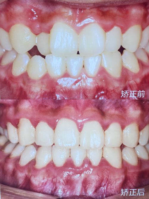
正颌正畸联合治疗是针对严重颌骨畸形及咬合功能障碍的核心手段,通过正畸技术调整牙齿位置与正颌手术重塑颌骨形态的协同作用,实现面部美学与口腔功能的同步改善,其治疗前后变化涉及多维度重构,不仅可解决“地包天”“龅牙”“偏脸”等问题,更能从根本上提升咀嚼、发音等生理功能,改善患者心理状态,以下从外观、功能、健康及心理等角度,详细对比正颌正畸治疗前后的差异。
治疗适用人群与核心目标
正颌正畸主要针对骨性错颌畸形,即单纯正畸无法纠正的颌骨发育异常,包括:上颌前突(龅牙)、下颌前突(地包天)、双颌前突、偏颌(面部左右不对称)、长面综合征(露龈笑)、短面综合征(咬合过深)等,其核心目标是通过“先正畸、后正颌、再正畸”的三阶段治疗,实现“牙齿排齐、颌骨对位、功能协调、美观自然”的统一。

治疗过程简述
- 术前正畸(6-12个月):通过戴矫治器排齐牙齿、调整咬合关系,去除牙齿代偿性倾斜(如下前牙代偿性前倾以掩盖下颌后缩),为正颌手术创造骨骼移动空间。
- 正颌手术(全麻下进行):通过截骨术将颌骨分段移动至目标位置,如上颌骨前移/后缩、下颌骨前移/后退、颏部成形等,用钛板钛钉固定,重塑颌骨三维关系。
- 术后正畸(6-12个月):精细调整咬合,关闭手术遗留的小间隙,确保牙齿尖窝相对,达到稳定咬合状态。
正颌正畸前后核心对比
(一)面部外观:从“畸形”到“协调”
面部外观是正颌正畸最直观的改变,涉及轮廓、比例、对称性等多维度重构。
| 对比维度 | 治疗前表现 | 治疗后改善 |
|---|---|---|
| 侧轮廓 | 凸面型(龅牙,上颌前突导致唇部前凸)、凹面型(地包天,下颌前突导致“月牙脸”)、双颌前突(上下颌均前突,嘴唇无法自然闭合) | 侧轮廓变流畅:凸面型变为直面型,凹面型变为饱满侧貌,双颌前突者嘴唇放松闭合,鼻唇颏比例协调(鼻尖-唇-颏部接近E线)。 |
| 正面对称性 | 偏颌(下颌中线偏离面部中线,导致“歪脸”)、颏部偏斜、两侧脸颊不对称(因单侧颌骨发育过度/不足) | 正面对称性提升:下颌与面部中线对齐,两侧脸颊轮廓饱满度一致,颏部居中,面部左右比例协调。 |
| 唇齿关系 | 开唇露齿(自然状态下牙齿过多暴露)、露龈笑(微笑时上牙龈外露)、唇部过紧/过松(牙齿与唇部不匹配) | 唇齿关系自然:微笑时上切牙暴露1/3-1/2,牙龈不外露,唇部放松闭合时牙齿轻度覆盖下唇,动态表情协调。 |
| 面部中下份比例 | 面下1/3过短(咬合过深导致)或过长(露龈笑导致),中面部凹陷(上颌发育不足) | 面部比例协调:面下1/3高度适中,中面部饱满,鼻基底、苹果肌与颌骨衔接自然,符合“三庭五眼”美学标准。 |
(二)咬合功能:从“紊乱”到“高效”
咬合功能的改善是正颌正畸的核心价值之一,直接关系到咀嚼、发音等生理需求。
| 对比维度 | 治疗前表现 | 治疗后改善 |
|---|---|---|
| 咬合关系 | 反颌(地包天,上牙咬在下牙内侧)、深覆合(上牙过度覆盖下牙)、深覆盖(龅牙,上牙切端突出下牙唇侧超过3mm)、开颌(上下牙无法咬合) | 中性咬合:上牙稍覆盖下牙(约1-2mm),上下牙尖窝相对,咀嚼时力量均匀分布,无早接触点。 |
| 咀嚼效率 | 因咬合紊乱,咀嚼肌发力不均,食物无法充分研磨,常需“囫囵吞枣”,甚至伴随颞下颌关节弹响、疼痛 | 咀嚼效率提升50%以上:肌肉发力协调,食物研磨充分,消化负担减轻,颞下颌关节症状消失。 |
| 发音功能 | 因牙齿、颌骨位置异常,导致发音不清(如“s”音发成“th”音,或含混不清) | 发音清晰准确:舌齿位置恢复正常,气流通过顺畅,语言表达流利自然。 |
(三)口腔健康:从“隐患”到“稳定”
颌骨畸形常伴随口腔健康问题,正颌正畸可从根本上降低疾病风险。
| 对比维度 | 治疗前表现 | 治疗后改善 |
|---|---|---|
| 牙齿清洁难度 | 牙齿拥挤/重叠导致刷牙死角,食物嵌塞频繁,易堆积牙菌斑、牙结石 | 牙齿排列整齐,无清洁死角,菌斑堆积风险降低,龋齿、牙龈炎发生率显著下降。 |
| 牙周组织健康 | 咬合创伤(如个别牙齿早接触)导致牙周组织受力异常,出现牙槽骨吸收、牙龈萎缩 | 牙周受力均匀,牙槽骨稳定性提升,牙龈形态恢复正常,牙周袋深度变浅。 |
| 颞下颌关节(TMJ) | 咬合紊乱导致关节负担过重,出现关节弹响、疼痛、张口受限,严重者影响生活质量 | 关节受力平衡,弹响、疼痛消失,张口度恢复正常(3-4指),关节功能稳定。 |
(四)心理状态:从“自卑”到“自信”
面部畸形常导致患者产生自卑心理,影响社交与心理健康,正颌正畸带来的改变可显著提升心理幸福感。

| 对比维度 | 治疗前表现 | 治疗后改善 |
|---|---|---|
| 社交行为 | 不敢大笑、回避拍照、低头说话,因担心被议论而减少社交活动 | 主动参与社交,自然微笑、表达,面部表情丰富,社交频率与质量提升。 |
| 心理状态 | 焦虑、抑郁倾向明显,对自我形象评价低,部分患者出现“躯体变形障碍”(过度关注微小瑕疵) | 自信心显著提升,自我形象评价改善,心理状态更积极乐观,生活质量评分(如SF-36量表)大幅提高。 |
治疗意义与注意事项
正颌正畸不仅是“变美”,更是“功能重建”与“健康保障”,其效果具有长期稳定性,但需注意:①治疗周期长(2-3年),需医患密切配合;②术后需终身佩戴保持器(前2年全天,之后夜间佩戴),防止复发;③选择正规医疗机构(口腔颌面外科+正畸科联合团队),确保方案设计与手术操作精准。
相关问答FAQs
Q1:正颌正畸手术会很痛吗?术后恢复需要多久?
A:正颌手术在全麻下进行,术中无疼痛感,术后1-3天肿胀最明显(类似“肿脸”),可通过冰敷、药物控制;1周拆线后肿胀逐渐消退,2周可恢复正常生活(如上学、工作),3-6个月骨骼完全稳定,期间避免剧烈运动及啃硬食,疼痛可通过止痛药缓解,多数患者可耐受。
Q2:正颌正畸后效果会反弹吗?如何预防?
A:术后反弹风险较低,但需注意三点:①保持器佩戴:术后前2年需全天佩戴保持器,之后改为夜间佩戴,终身维持;②避免不良习惯:如咬硬物、夜磨牙(需佩戴夜磨牙垫)、口呼吸等;③定期复查:每半年拍片检查骨骼与牙齿位置,发现异常及时调整,骨骼改建完成后(术后1年),效果基本稳定。

