正畸治疗中,分牙器和带环是常见的辅助工具,它们在牙齿矫正的不同阶段发挥着关键作用,帮助医生更高效地完成矫治目标,同时保障患者的口腔健康与治疗体验。
分牙器主要用于在固定矫治器(如托槽)粘接前,为牙齿创造必要的间隙,当牙齿排列较为紧密,尤其是磨牙区存在邻面接触过紧的情况时,直接粘接带环或托槽可能困难,甚至损伤牙龈,分牙器通过在相邻牙齿之间施加持续、温和的压力,使牙齿产生轻微的生理性移动,逐渐分离邻接点,通常1-2周即可获得足够的操作空间,常见的分牙器有分牙圈(金属或弹性材料)和分牙橡皮圈两种,前者由医生放置于邻间隙中,需患者配合避免咬硬物以防脱落;后者则需患者自行佩戴,每天更换,注意保持口腔卫生,避免食物残渣滞留引发龋齿或牙龈炎,分牙过程中可能出现轻微胀痛,属于正常现象,一般可自行缓解,若疼痛加剧或出现牙龈出血,需及时复诊。

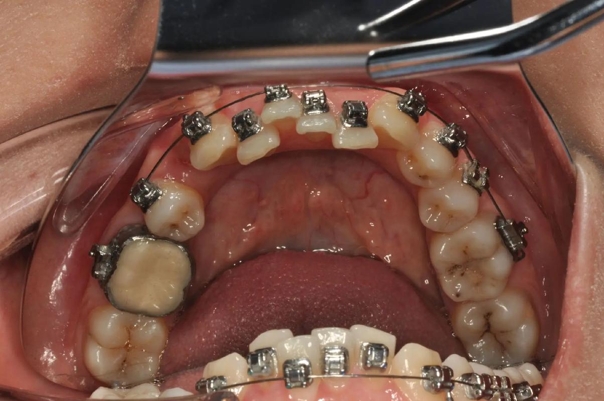
带环(又称“带环”或“颊面管带环”)是固定矫治器的重要组成部分,通常由不锈钢或贵金属制成,呈环状,紧密粘接在磨牙(如第一磨牙)的牙冠上,其主要作用包括:为矫治弓丝提供稳固的支抗点,传递矫治力,辅助牙齿移动;部分带环上焊接有颊面管、拉钩等附件,用于放置弓丝、结扎丝或橡皮圈,实现复杂的牙齿移动(如扭转、压低、伸长等),带环的粘接需经过严格的隔湿、酸蚀、涂粘接剂等步骤,确保与牙面密合,避免脱落或边缘渗漏,粘接后初期,患者可能感觉异物明显或轻微咬合不适,通常1周内可逐渐适应,需注意避免啃咬硬物(如坚果、骨头)、用带环侧咀嚼过硬食物,以防带环松动或脱落;同时加强口腔清洁,使用牙缝刷或冲牙器清洁带环边缘,防止菌斑堆积引发龋齿或牙周炎。
以下是分牙器与带环的对比说明:
| 项目 | 分牙器 | 带环 |
|---|---|---|
| 主要作用 | 分离邻牙,创造粘接间隙 | 提供支抗,固定矫治附件,传递矫治力 |
| 使用时机 | 托槽/带环粘接前1-2周 | 固定矫治器开始时,持续佩戴至矫治结束 |
| 材质 | 金属分牙圈、弹性橡皮圈 | 不锈钢、贵金属、复合树脂等 |
| 注意事项 | 避免咬硬物,保持口腔卫生,分牙圈脱落需及时复诊 | 避免啃咬硬物,加强边缘清洁,松动需立即复诊 |
| 不适感 | 轻微胀痛,可自行缓解 | 初期异物感、咬合不适,1周内适应 |
正畸治疗中,正确使用分牙器和带环对保障矫治效果至关重要,患者需严格遵循医嘱,配合医生的操作指导,做好口腔维护,定期复诊检查工具状态,确保治疗顺利推进。
相关问答FAQs

Q1:分牙器戴了1周后牙齿胀痛明显,是否需要取下?
A1:分牙器导致的轻微胀痛属于正常现象,是牙齿移动过程中的生理反应,通常无需取下,可继续佩戴,若疼痛持续加重(如出现自发痛、夜间痛)或伴随牙龈肿胀、出血,可能是分牙力量过大或存在局部炎症,需及时复诊,医生会根据情况调整分牙力度或进行相应处理。
Q2:带环松动但未脱落,需要马上处理吗?
A2:需要尽快处理,带环松动后,其与牙面之间的密封性被破坏,易导致食物残渣、细菌渗入,引发继发龋或牙龈炎;松动会影响矫治力的传递,导致牙齿移动异常,甚至延长治疗时间,建议患者避免用松动带环侧咀嚼,并尽快联系医生复诊,医生会评估带环的固位情况,必要时重新粘接或更换新的带环。
