口腔正畸牵引是正畸治疗中常用的重要技术,通过施加特定的牵引力,引导牙齿、颌骨及周围组织按照预设方向移动,从而纠正错畸形、改善咬合功能及面部美观,而口腔正畸牵引图片作为记录治疗过程、评估效果的关键载体,不仅为医生提供直观的诊断依据,也是患者理解治疗方案、见证变化的重要参考,这些图片通常涵盖口内直接拍摄的牙齿及牵引装置特写、头颅定位侧位片、曲面断层片等多种类型,全面反映牵引过程中牙齿位置、骨骼形态及咬合关系的动态变化。
口腔正畸牵引的类型与图片特征
根据牵引力的作用方向和涉及范围,正畸牵引主要分为颌内牵引、颌间牵引和颌外牵引三大类,各类牵引的图片特征和临床意义各有侧重。

颌内牵引:同一颌弓内的牙齿移动
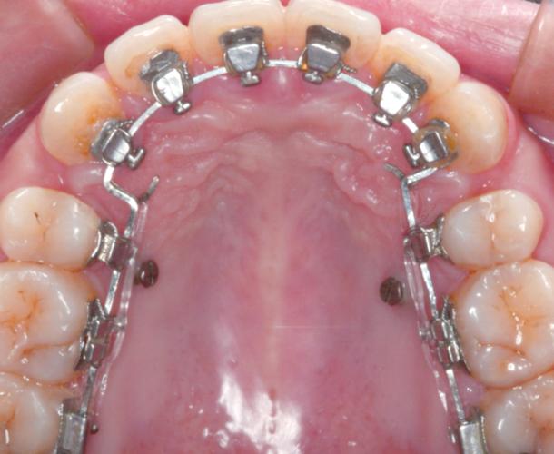
颌内牵引是指在同一牙弓内,通过牵引装置(如橡皮圈、螺旋弹簧、链状圈等)作用于单个或多个牙齿,实现牙齿的近远中移动、压低、伸长或扭转纠正,其图片特征主要包括:
- 牵引装置特写:口内直视图片中可见牙齿上粘贴的托槽、颊面管,以及连接于其间的橡皮圈(通常为“⟂”形或“8”形)或金属弹簧,例如使用镍钛螺旋弹簧关闭拔牙间隙时,图片中可清晰显示弹簧的压缩状态及两端与托槽的固定情况;
- 牙齿位置变化:治疗初期图片可能显示牙齿存在间隙(如拔牙后的间隙)或扭转(如上颌中切牙扭转),随着牵引进行,后续图片可见间隙逐渐缩小、扭转角度改善,牙齿移动至目标位置;
- 牙根与牙槽骨变化:通过根尖片或曲面断层片,可观察牙根是否平行、牙槽骨骨密度是否均匀,例如压低磨牙时,根尖片需显示牙根周围无骨吸收、牙槽嵴高度稳定。
适用情况:主要包括拔牙间隙关闭、个别牙扭转纠正、伸长牙压低等,例如上颌尖牙远中移动替代缺失侧切牙的“间隙关闭牵引”。
颌间牵引:上下颌牙齿的交互调整
颌间牵引是通过连接上下颌牙齿的牵引装置,纠正上下颌牙弓及颌骨间的位置关系,常用于Ⅱ类、Ⅲ类错畸形的矫正,其图片特征表现为:
- 咬合关系动态:口内正面或咬合面图片中,可见上下颌牙齿通过橡皮圈(如“Ⅲ类牵引”“Ⅱ类牵引”)连接,类牵引时,橡皮圈一端挂在上颌第一磨牙颊面管,另一端挂于下颌尖牙托槽,图片可清晰显示下颌尖牙向近中、上颌磨牙向远中的移动趋势;
- 面部轮廓变化:治疗前后头颅侧位片的对比可直观反映颌骨关系的改善,如Ⅲ类牵引后,图片显示下颌角变钝、颏部相对后缩,面部侧貌更协调;
- 中线对齐情况:正面张口位图片可观察上下颌中线是否对齐,对于偏颌畸形患者,牵引过程中图片显示中线逐渐居中,面部不对称得到纠正。
适用情况:Ⅱ类1分类(上颌前突、下颌后缩)、Ⅱ类2分类(上颌前牙舌倾、下颌前牙唇倾)、Ⅲ类错颌(下颌前突、上颌发育不足)及中线偏斜等。

颌外牵引:外部装置辅助的颌骨与牙齿移动
颌外牵引是指通过头帽、颏兜、面弓等外部装置,将牵引力作用于牙齿、颌骨及颅面部,常用于骨性畸形矫正或增强支抗,其图片特征包括:
- 外部装置连接:口外侧面图片可见头帽带固定于头部,通过钢丝连接至口内装置(如上颌牙弓上的带环和面弓),或颏兜兜住下颌,通过弹性牵引与头帽连接,图片需清晰显示牵引力的方向(如前方牵引、垂直牵引);
- 颌骨与牙齿协同移动:头颅侧位片可显示上颌骨(如腭中缝)的扩张、下颌骨的旋转(如颏兜牵引导致下颌顺时针旋转,改善“长面型”),同时口内片可见牙齿随颌骨移动发生整体性倾斜;
- 面部软组织变化:治疗前后正面及侧面面部照片对比,可见前方牵引后上唇前突度增加、鼻唇沟变浅,颏兜牵引后下唇后缩、颏部形态改善。
适用情况:儿童骨性Ⅱ类/Ⅲ类错颌(生长改良治疗)、成人严重骨性畸形的术前辅助矫正、开畸形的垂直向控制等。
口腔正畸牵引图片的临床意义与应用
口腔正畸牵引图片不仅是治疗过程的“记录仪”,更是医生决策的“导航图”,其临床意义主要体现在以下方面:
-
诊断与方案设计:通过初诊时的牵引图片(如头颅侧位片、曲面断层片),医生可分析牙齿拥挤度、牙根位置、颌骨关系及面部软组织轮廓,明确牵引类型(如是否需要颌间牵引、是否联合颌外牵引)和牵引方向,类错颌患者若显示上颌发育不足,需设计前方牵引方案。
(图片来源网络,侵删) -
治疗过程监控:定期拍摄的牵引图片(如每4-6个月一次)可动态评估牙齿移动速度和效果,拔牙间隙关闭过程中,若图片显示牙齿移动缓慢或牙根吸收,医生需及时调整牵引力大小或更换牵引装置;对于埋伏牙牵引,根尖片可清晰显示埋伏牙的萌出方向和位置,避免牵引过程中损伤邻牙。
-
效果评估与医患沟通:治疗结束后的牵引图片(如口内咬合片、面部照片)与初诊图片对比,直观展示牙齿排列整齐度、咬合关系稳定性及面部美观改善情况,帮助患者理解治疗价值,增强对正畸效果的信心。
-
科研与教学:典型牵引病例的图片集合可作为教学案例,展示不同牵引技术的操作要点和效果;通过图片分析牵引力与牙齿移动、骨改建的关系,为正畸技术创新提供依据。
不同牵引类型的临床应用对比表
| 牵引类型 | 适用情况 | 图片特征 | 临床意义 |
|---|---|---|---|
| 颌内牵引 | 拔牙间隙关闭、个别牙扭转纠正 | 托槽/颊面管与橡皮圈/弹簧连接,牙齿局部移动 | 同一牙弓内牙齿精细调整,避免邻牙干扰 |
| 颌间牵引 | Ⅱ类/Ⅲ类错颌、中线偏斜 | 上下颌橡皮圈连接,咬合关系动态变化 | 纠正上下颌骨及牙弓间不调,改善面部轮廓 |
| 颌外牵引 | 骨性畸形、开畸形、增强支抗 | 头帽/颏兜与口内装置连接,颌骨整体移动 | 引导颌骨生长,矫正严重骨性错颌 |
相关问答FAQs
Q1:口腔正畸牵引图片为什么需要定期拍摄?如何确定拍摄频率?
A:定期拍摄牵引图片的核心目的是动态监控治疗进程,及时发现并解决问题,拍摄频率需根据牵引类型和牙齿移动速度确定:一般颌内牵引(如关闭拔牙间隙)每4-6周拍摄一次口内咬合片及根尖片,观察牙齿移动是否按计划进行;颌间牵引(如Ⅱ类/Ⅲ类牵引)每2-3个月拍摄头颅侧位片,评估颌骨关系变化;颌外牵引(如前方牵引)每月拍摄面部照片及头颅侧位片,监控面部软组织及骨骼改善情况,若出现牙齿移动异常(如间隙关闭停滞)、疼痛或不适,需立即拍摄图片检查,必要时调整治疗方案。
Q2:患者可以通过牵引图片了解哪些治疗进展?如何判断牵引是否有效?
A:患者可通过牵引图片直观看到多方面的治疗进展:口内直视图片可观察牙齿排列是否逐渐整齐(如扭转牙齿角度变小、间隙缩小)、咬合关系是否改善(如“深覆”变浅、中线对齐);面部照片可对比侧面轮廓变化(如“凸嘴”缓解、“下巴”后缩改善);若涉及颌骨牵引,头颅侧位片可显示上颌前移、下颌后退等骨骼变化,判断牵引是否有效的关键指标包括:牙齿移动方向是否符合预期(如Ⅲ类牵引后下颌前牙唇倾度减小)、咬合功能是否恢复(如咀嚼效率提升)、面部美观度是否提高(如微笑曲线自然),若图片显示连续2-3次复查无进展或出现异常(如牙根吸收、牙龈萎缩),需及时与医生沟通调整方案。
