在美国,成人正畸已成为越来越多追求口腔健康与美观人群的选择,不同于儿童正畸,成人正畸需综合考虑骨骼发育完成、口腔潜在问题及生活需求等因素,其治疗过程更具个性化与复杂性,成人正畸的核心目标不仅是牙齿排列整齐,更注重咬合功能稳定、牙周健康及面部美学协调,因此常需多学科协作(如与牙周科、修复科联合治疗)。
成人正畸的常见矫治器类型各有特点,可通过表格对比清晰呈现:
| 矫治器类型 | 材质 | 美观度 | 舒适度 | 价格范围(美元) | 适用情况 |
|----------------------|------------------------|------------|------------|----------------------|----------------------------------|
| 传统金属托槽 | 不锈钢 | 低 | 中 | 3000-8000 | 复杂错颌,需较大矫正力度 |
| 陶瓷托槽 | 透明陶瓷 | 中 | 中 | 4000-7000 | 兼顾美观与强度,适合中度错颌 |
| 舌侧托槽 | 金属(粘接于舌侧) | 高 | 低 | 8000-15000 | 对美观要求极高,可完全隐形 |
| 隐形矫治器(如Invisalign) | 高分子透明塑料 | 高 | 高 | 5000-9000 | 轻中度错颌,需良好配合度 |

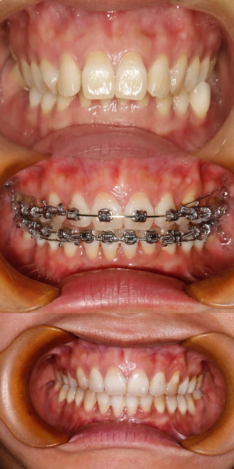
成人正畸的治疗流程通常分为四个阶段,初诊阶段需进行全面口腔检查,包括口内视诊、CBCT拍摄、模型取模及牙周状况评估,结合患者诉求制定个性化方案;若存在牙周炎、龋齿等问题,需先完成治疗再进入矫治阶段,矫治阶段根据方案选择矫治器,传统托槽需粘接后定期调整(每4-6周复诊一次),隐形矫治器则需每1-2周更换一副牙套,并确保每日佩戴20-22小时,保持阶段是防止复发关键,通常需佩戴保持器至少2年,前6个月夜间持续,之后可逐渐减少频率,同时定期复查(每3-6个月一次)。
费用方面,成人正畸在美国差异较大,主要受矫治器类型、错颌复杂程度、地区消费水平及医生资质影响,在纽约等一线城市,隐形矫治器费用约5000-9000美元,舌侧托槽可能高达15000美元;而在中西部小城市,传统金属托槽费用可低至3000美元,若需结合正颌手术、骨钉植入或牙周手术,总费用可能超过20000美元,部分牙科保险会覆盖部分正畸费用,但通常需满足“医疗必要性”(如严重咬合问题导致疼痛或功能受损),纯美观需求多自费。
成人正畸需特别注意口腔维护,矫治期间食物易嵌塞,需使用正畸专用牙刷、牙线牵引器及水牙线清洁,避免托槽周围龋坏;若出现牙痛、托槽脱落或口腔溃疡,需及时联系医生调整,成人骨骼已定型,严重骨性错颌可能需配合正颌手术,单纯正畸效果有限,治疗前需充分沟通预期。
相关问答FAQs
Q1:成人正畸有年龄限制吗?超过40岁还能做吗?
A1:成人正畸无绝对年龄上限,但需满足健康条件:牙周组织无严重炎症(需牙周治疗后开始)、无未控制的全身性疾病(如糖尿病、骨质疏松),40岁以上患者骨代谢速度较慢,牙齿移动可能稍慢,且需更关注牙根吸收风险,治疗前需通过CBCT评估牙根长度,只要牙周健康,仍可安全进行正畸。

Q2:隐形矫治器效果不如传统托槽,是真的吗?
A2:并非如此,隐形矫治器通过3D数字化方案设计,可精准控制牙齿移动方向,适合多数轻中度错颌(如牙列拥挤、深覆盖);对于复杂病例(如严重骨性问题、扭转牙),可能需结合传统托槽或辅助骨钉,效果取决于方案设计的科学性和患者的配合度(是否按时换牙套、避免咀嚼过硬食物),而非矫治器类型本身。

