龅牙(医学上常称为上颌前突或双颌前突)是一种常见的牙齿颌面畸形,不仅影响面部美观,还可能造成咬合功能障碍、口腔清洁困难等问题,牙齿正畸是改善龅牙的主要方式,其过程需要医患密切配合,通常需经历1-3年的时间,以下将从初期准备到保持期,详细拆解龅牙牙齿正畸的完整流程。
咨询与全面检查:明确问题,制定基础方案
正畸的第一步是专业口腔正畸医生的全面评估,初次面诊时,医生会通过问诊了解患者的主诉(如对龅牙美观的困扰、是否有咀嚼不适等)、年龄、口腔健康状况(有无龋齿、牙周炎等)以及全身病史(如糖尿病、骨质疏松等,可能影响正畸治疗)。

随后进行详细检查,包括:
- 口腔检查:观察牙齿排列情况(如前牙前突程度、牙列是否拥挤、有无反颌或开颌)、牙龈健康状态、咬合关系(上下牙咬合时是否紧密,有无深覆颌或深覆盖)。
- 影像学检查:拍摄全景片(曲面断层片)观察牙根形态、牙槽骨情况及有无埋伏牙;拍摄头颅侧位片,通过头影测量分析骨骼畸形程度(如上颌骨是否前突、下颌是否后缩)、牙齿倾斜角度等,这是判断龅牙类型(骨性或牙性)的关键;必要时还需拍摄CBCT(锥形束CT),更直观评估颌骨三维结构。
- 模型采集:用藻酸盐材料制取牙齿石膏模型,用于模拟牙齿移动、方案设计及后期效果对比。
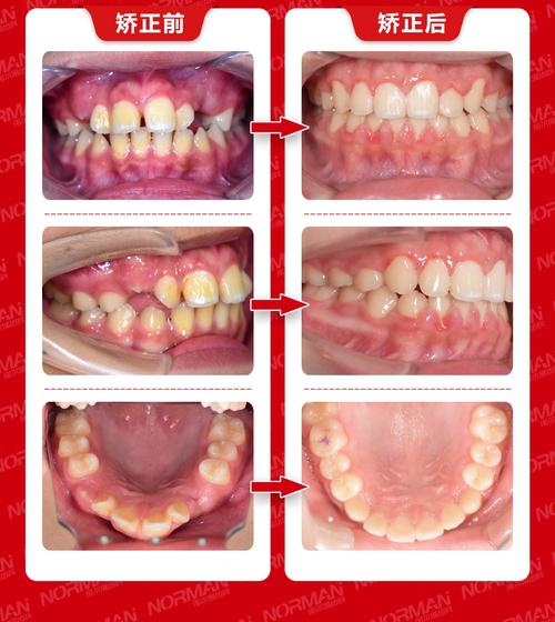
- 口腔照片:拍摄正面、侧面及口内牙齿照片,记录治疗前的原始状态。
检查完成后,医生会结合患者需求(如是否希望快速矫正、对美观度的要求等)和检查结果,初步判断龅牙的成因(多为遗传因素、不良习惯(如吮指、口呼吸)或替牙期障碍)及可采用的矫正方式。
方案设计与沟通:个性化治疗计划的核心
基于检查数据,医生会制定详细的正畸方案,并与患者充分沟通,确保双方对治疗目标、流程、风险达成一致,方案设计需明确以下几点:
- 判断是否需要拔牙:这是龅牙矫正的关键步骤,若患者存在牙列拥挤、前突严重(覆盖超过9mm)、或希望通过矫正改善面型(如减少嘴唇前凸),通常建议拔除4颗前磨牙(多为上下颌第一或第二前磨牙),拔牙可为牙齿向舌侧移动提供空间,既解决拥挤又改善前突;若龅牙以牙性为主、拥挤较轻,也可能选择不拔牙,通过扩大牙弓、磨改牙齿邻面等方式获取空间。
- 选择矫治器类型:根据患者年龄、美观需求及牙齿情况选择,目前主流包括:
- 传统金属托槽:性价比高,适用范围广,但美观度较差;
- 陶瓷托槽:托槽颜色接近牙齿,美观度提升,强度略低于金属托槽;
- 隐形矫治器:如隐适美、时代天使等,可自行摘戴,美观舒适,但对患者依从性要求高(需每天佩戴20-22小时),且适用于轻度至中度龅牙;
- 舌侧矫治器:粘在牙齿内侧,完全隐形,但价格较高、口腔异物感强,操作难度大。
- 设计拔牙方案与牙齿移动计划:若需拔牙,需明确拔哪颗牙、如何利用拔牙间隙(如内收前牙、调整后牙位置);同时制定每阶段的牙齿移动目标,如排齐、整平牙弓、关闭拔牙间隙、调整咬合等。
方案确定后,医生会向患者展示模拟矫正效果(通过数字化软件或模型预测),并说明治疗周期(通常1.5-3年)、费用及注意事项,患者确认后即可进入矫治阶段。

矫治器佩戴与初期适应:开启牙齿移动之旅
- 口腔准备:佩戴矫治器前,需治疗口腔内存在的疾病,如龋齿充填、牙周基础治疗(洗牙、刮治)、拔除无法保留的牙齿(如智齿、多生牙),确保牙周组织健康。
- 矫治器粘接:
- 传统/陶瓷托槽:医生用酸蚀剂清洁牙齿表面,涂布粘接剂,将托槽精准粘在预定位置,随后用弓丝(镍钛圆丝或不锈钢方丝)结扎入托槽槽沟内,初步排齐牙齿;
- 隐形矫治器:通过数字化模型设计每副牙套的移动路径,患者收到牙套后自行佩戴(或由医生协助),首副牙套通常需2-3天适应,之后每1-2周更换一副新牙套;
- 舌侧矫治器:需在模型上间接粘接,操作更复杂,时间较长。
- 初期适应:佩戴矫治器后1-2周,牙齿会出现酸胀、疼痛(尤其是咬合时),属于正常现象,是牙齿受力移动的反应,可通过进食软食、服用非处方止痛药(如布洛芬)缓解;同时口腔内可能出现溃疡,可使用正畸保护蜡涂抹托槽边缘,需调整饮食习惯:避免过硬(如坚果、骨头)、过黏(如口香糖、年糕)的食物,防止托槽脱落;避免饮用含糖饮料(易导致龋齿)。
复诊调整与治疗进展:精细控制牙齿移动
正畸治疗的核心在于“复诊调整”,通过医生持续加力,引导牙齿按计划移动,复诊间隔因矫治器类型而异:传统托槽每4-6周复诊一次,隐形矫治器每6-8周复诊一次(用于检查牙套佩戴情况及牙齿移动进度)。
复诊时,医生会:
- 检查牙齿移动情况:观察牙齿是否按预期排齐、内收,有无托槽脱落、弓丝变形;
- 调整矫治力:更换更粗的弓丝(如从镍钛丝换为不锈钢丝)、添加橡皮筋(牵引上下颌牙齿调整咬合关系)、或更换隐形牙套;
- 处理并发症:如出现牙齿松动异常(可能提示牙根吸收)、牙龈增生(加强口腔卫生指导)、或咬合干扰(调磨牙齿高点)。
治疗过程中,患者需严格配合:保持口腔卫生(使用正畸牙刷、牙线、冲牙器,每日至少刷牙3次,清除托槽周围食物残渣,避免“正畸龋”);按时佩戴橡皮筋(若医生要求,需24小时佩戴,仅吃饭时取下);记录牙齿变化(拍照或写复诊日记),及时与医生沟通不适。
随着治疗推进,牙齿会逐渐排齐、前突改善,通常6-12个月后可看到明显效果(如嘴唇突度减轻、面型更协调),此时进入“精细调整期”,重点优化咬合关系,如调整后牙尖窝交错、确保中线对齐。

矫治完成与保持器佩戴:防止复发,维持效果
当牙齿移动至目标位置、咬合关系稳定后,医生会拆除矫治器(或结束隐形矫治器佩戴),但治疗并未结束——此时需进入“保持期”,防止牙齿复发。
- 拆除矫治器:医生去除托槽或隐形牙套,清洁牙齿表面,拍摄术后X光片及照片,对比治疗前后的变化。
- 佩戴保持器:牙齿周围的组织(牙周膜、牙槽骨)在矫正后仍处于改建中,需通过保持器稳定新位置,保持器类型包括:
- Hawley保持器:最传统,由塑料基托和金属钢丝组成,可包裹整个牙弓,通过钢丝调整牙齿位置,耐用且可微调;
- 透明压膜保持器:与隐形矫治器类似,透明美观,覆盖牙齿整个咬合面,但强度较低,需避免高温;
- 固定保持器:用树脂粘在上下颌前牙内侧,完全隐形,适合担心忘记佩戴的患者,但需注意口腔清洁,避免邻面龋。
保持器佩戴时间通常为:前半年至1年全天佩戴(吃饭、刷牙时取下),之后仅夜间佩戴,部分患者可能需终身夜间佩戴(尤其是龅牙复发风险较高者),期间需定期复查(每3-6个月一次),医生检查保持器贴合度及牙齿稳定性,必要时调整或更换。
不同矫治器特点对比
| 类型 | 美观度 | 舒适度 | 价格(元) | 适用情况 |
|---|---|---|---|---|
| 传统金属托槽 | 低 | 一般 | 8000-15000 | 各类龅牙,尤其复杂病例 |
| 陶瓷托槽 | 中 | 较好 | 12000-20000 | 对美观有要求,非复杂病例 |
| 隐形矫治器 | 高 | 好 | 25000-50000 | 轻中度龅牙,患者依从性好 |
| 舌侧矫治器 | 极高 | 一般 | 50000+ | 对美观要求极高,经济条件允许 |
相关问答FAQs
Q1:龅牙正畸一定要拔牙吗?不拔牙能矫正吗?
A1:并非所有龅牙都需要拔牙,是否拔牙需根据龅牙类型(骨性或牙性)、拥挤程度、患者面型需求及侧貌综合判断,若龅牙以牙性为主(仅牙齿前突,骨骼正常)、且牙列无明显拥挤,可通过“推磨牙向后”“扩大牙弓”或“邻面去釉”等方式获取空间,避免拔牙;但若存在严重拥挤(如牙齿拥挤度超过10mm)、前突明显(覆盖超过9mm)或患者希望显著改善面型(如减少嘴唇凸度),拔牙是更有效的选择,可通过内收前牙既解决拥挤又改善突度,不拔牙矫正虽能保留牙齿数量,但可能存在效果局限(如改善幅度小、复发风险高)的问题,需由医生评估后决定。
Q2:正畸过程中牙齿疼痛正常吗?如何缓解?
A2:正畸过程中牙齿疼痛是常见现象,通常出现在以下情况:初戴矫治器后1-2周(牙齿受力移动初期)、每次复诊加力后2-3天,疼痛多为酸胀感、咀嚼无力,严重时可能影响进食,属于生理性反应,一般无需特殊处理,缓解方法包括:① 饮食调整:初期吃软食(如粥、面条、蒸蛋),避免用患侧咀嚼;② 口服止痛药:若疼痛明显,可短期服用布洛芬等非甾体抗炎药;③ 冷敷:用冰袋冷敷面部颊部(每次15分钟,间隔1小时),可减轻炎症反应;④ 保持口腔卫生:疼痛时刷牙动作轻柔,避免刺激牙龈,但需彻底清洁托槽周围,防止食物残渣加重不适,若疼痛持续超过1周或出现剧烈疼痛、牙龈肿胀,需及时复诊排查有无托槽脱落、弓丝刺伤等问题。
