口腔正畸颌内结扎是固定矫治技术中的核心操作之一,指通过结扎丝或弹性圈将矫治弓丝固定在托槽槽沟内,利用弓丝的形变力传递矫治力,从而实现牙齿的移动、排列与颌骨关系的调整,作为传统方丝弓矫治技术及直丝弓矫治技术的基础步骤,其操作规范与细节直接影响矫治效果与疗程进展。
技术原理与生物力学基础
颌内结扎的生物学机制基于牙齿移动的“骨改建理论”:当持续、轻柔的矫治力作用于牙齿时,牙槽骨受压侧发生骨吸收,牵张侧促进骨沉积,最终实现牙齿位置改变,颌内结扎的核心作用是“固定与传导”,通过结扎装置将弓丝与托槽连接为整体,确保弓丝产生的矫治力(如排齐力、关闭间隙力、转矩力等)精准传递至目标牙齿,结扎方式(如传统不锈钢丝结扎、弹性圈结扎)和力度(过松易导致弓丝滑动失效,过紧可能影响牙周组织血液循环)需根据矫治阶段个性化调整,例如初期排齐阶段多采用弹性圈结扎以减少摩擦力,精细调整阶段则用不锈钢丝结扎以增强控制精度。

操作步骤与临床要点
颌内结扎需严格遵循标准化流程,确保每一步的准确性,以下是典型操作步骤及注意事项:
| 步骤 | 关键工具 | 注意事项 | |
|---|---|---|---|
| 术前准备 | 检查患者口腔卫生,清除托槽周围食物残渣及软垢;确认弓丝型号与托槽槽沟匹配度。 | 口镜、探针、洁治器、弓丝测量尺 | 若口腔卫生差,需先进行牙周清洁,避免矫治中引发龋齿或牙周炎。 |
| 弓丝就位 | 将弯制好的弓丝(如镍钛圆丝、不锈钢方丝)按顺序插入托槽槽沟,确保末端回弯到位,避免刺伤黏膜。 | 弓丝插入器、持针器 | 弓丝需与托槽槽沟紧密贴合,若存在间隙,可能导致牙齿移动失控。 |
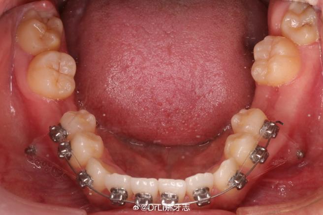
| 结扎固定 | ①不锈钢丝结扎:用结扎钳将0.008-0.010英寸不锈钢丝“8”字形缠绕托槽翼与弓丝,末端剪断后弯向牙面;②弹性圈结扎:选用合适直径的弹性圈(如灰色、蓝色)套住托槽翼与弓丝,确保无扭转。 | 结扎钳、不锈钢结扎丝、弹性结扎圈 | 不锈钢丝结扎需力度均匀,避免单侧过紧;弹性圈需定期更换(2-4周),因弹性会随时间衰减。 |
| 末端处理 | 检查结扎丝末端是否光滑,用打磨车或持针器将尖锐部分磨圆,防止口腔黏膜溃疡。 | 剪刀、打磨车 | 患者若主诉黏膜刺痛,需及时复诊检查末端,必要时调整或更换结扎装置。 |
临床应用与适应症
颌内结扎适用于各类牙性及部分骨性错颌畸形的矫治,尤其在以下场景中发挥关键作用:
- 牙列拥挤:通过镍钛丝的排齐力配合颌内结扎,将拥挤牙齿向远中或唇颊侧移动,解除拥挤;
- 牙列间隙:采用滑动法关闭间隙时,颌内结扎确保弓丝与托槽紧密连接,利于间隙关闭力的有效传递;
- 错位牙纠正:对扭转、颊舌向错位的牙齿,通过方丝的转矩力与颌内结扎的精准固定,实现三维方向的调整;
- 深覆合/深覆盖:配合颌间牵引或平面导板,通过颌内结扎稳定弓丝,压低后牙或前移后牙,改善垂直向及矢状向关系。
需注意,对于未经治疗的牙周炎患者、牙槽骨吸收超过根长1/3者,或存在严重骨性畸形需正颌手术者,颌内结扎为禁忌或需联合其他治疗。
优缺点分析
优点:

- 控制精准:通过调整结扎方式与弓丝形态,可实现牙齿的倾斜移动、整体移动、旋转移动等多种移动方式;
- 适用性广:几乎涵盖所有固定矫治病例,尤其适合复杂错颌畸形的精细调整;
- 成本较低:无需特殊托槽(如自锁托槽),材料成本相对经济。
缺点:
- 操作复杂:对医生技术要求高,结扎耗时较长;
- 口腔卫生维护困难:结扎丝与弓丝易存留食物残渣,若患者清洁不到位,易引发龋齿、牙龈炎;
- 黏膜刺激:结扎丝末端或弓丝凸起可能划伤口腔黏膜,导致溃疡或疼痛。
相关问答FAQs
Q1:颌内结扎和自锁托槽矫治有什么区别?
A:颌内结扎是传统固定矫治的核心操作,通过结扎丝/圈固定弓丝与托槽,摩擦力较大,复诊间隔较短(4-6周),适合复杂病例;自锁托槽则自带锁闭装置,无需结扎丝,摩擦力小,复诊间隔延长(6-8周),口腔卫生维护更方便,但成本较高,对医生技术要求稍低,选择需根据错颌类型、患者依从性及经济条件综合判断。
Q2:颌内结扎后出现口腔黏膜破损怎么办?
A:①检查结扎丝末端或弓丝是否有尖锐凸起,用持针器或打磨车打磨光滑;②涂抹口腔溃疡凝胶(如康复新液)或西瓜霜喷剂,促进黏膜愈合;③调整饮食,避免辛辣、坚硬食物;④若破损持续超过3天或出现红肿化脓,需及时复诊,医生可能调整结扎方式或使用保护蜡覆盖刺激部位。

