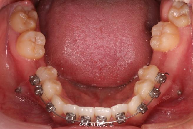
正畸弓丝末端脱出是牙齿矫正过程中较为常见的并发症,指固定在牙齿托槽上的弓丝末端从末端管(最后一颗大牙后方的金属管)中滑出,可能刺伤口腔软组织或影响矫正效果,了解其发生原因、处理方法及预防措施,对保障矫正进程顺利至关重要。
弓丝末端脱出的常见原因及机制
弓丝末端脱出并非单一因素导致,通常与矫正装置设计、患者习惯及治疗阶段密切相关,以下为主要原因及机制分析:

| 原因类别 | 具体机制 | 易发情况 |
|---|---|---|
| 弓丝长度或形态异常 | 医生剪裁弓丝时预留长度不足,或弓丝弯制末端弯角度过大/过小,导致弓丝受力后末端从末端管脱出。 | 初戴矫正器、更换粗弓丝(如不锈钢丝)时,或医生对牙弓长度判断误差较大时。 |
| 患者不良习惯 | 咬硬物(如坚果、螃蟹壳、笔)、用牙开瓶盖、啃咬食物时过度受力,导致弓丝移位或末端管变形。 | 青少年患者、习惯性咬异物者,或未严格遵医嘱控制饮食时。 |
| 托槽或末端管脱落 | 托槽(粘在牙齿上的小金属片)因进食黏性食物(如口香糖、年糕)脱落,导致弓丝失去固定点而移位;末端管(大牙后方的金属管)因粘接脱落或磨损,无法固定弓丝末端。 | 口腔卫生差、托槽周围食物残渣堆积者,或末端管粘接时未彻底清洁牙面。 |
| 弓丝材质特性 | 镍钛弓丝具有超弹性,若初始弓丝选择过粗或牙弓形态与弓丝不匹配,弓丝在口腔内温度变化下可能发生“回弹”,导致末端超出末端管范围。 | 牙弓不对称、牙齿严重扭转的患者,或矫正初期更换较粗弓丝时。 |
弓丝末端脱出的潜在影响
若不及时处理,弓丝末端脱出可能引发一系列问题:
- 软组织损伤:脱出的弓丝末端如针尖般尖锐,易刺伤颊黏膜、舌体或牙龈,导致溃疡、疼痛,甚至影响进食、说话。
- 矫正效果受影响:弓丝末端脱出后,无法有效传递矫正力,可能导致牙齿移动偏离计划方向,如后牙倾斜、牙缝关闭延迟等,延长治疗时间。
- 继发感染风险:长期刺激口腔黏膜可能形成慢性溃疡,若合并细菌感染,可能出现红肿、化脓,甚至影响矫正进程。
脱出后的紧急处理与后续就医
患者可自行实施的紧急处理
- 清洁口腔:用温水或漱口水漱口,清除脱出弓丝周围的食物残渣,减少刺激和感染风险。
- 覆盖尖锐末端:取少量正畸蜡(可在正畸诊所或药店购买),搓成直径约3mm的小球,覆盖在脱出的弓丝末端,按压贴合,形成保护层(若暂时没有正畸蜡,无糖口香糖(先嚼软去除糖分)或蜂蜡也可临时替代)。
- 避免刺激:暂时避免用患侧咀嚼,不要用手或工具触碰、拉扯弓丝,防止二次损伤或弓丝进一步移位。
必须及时就医的后续处理
自行处理仅为临时措施,需尽快联系正畸医生(建议24-48小时内就诊),由专业医生处理:
- 复位弓丝:医生会用细长钳将脱出的弓丝末端调整回末端管,或重新弯制末端“回弯”(将弓丝末端弯成小圆圈,防止再次脱出)。
- 修剪或更换弓丝:若弓丝变形严重或长度不足,医生会重新修剪弓丝至合适长度,必要时更换新弓丝(如从细镍钛丝更换为粗不锈钢丝以增强稳定性)。
- 检查装置完整性:确认托槽、末端管是否牢固,若有脱落或损坏,需重新粘接或更换。
预防弓丝末端脱出的关键措施
患者日常注意事项
- 避免咬硬物:绝对不啃骨头、坚果壳、螃蟹腿,不咬笔、指甲,用牙开瓶盖等行为需严格禁止。
- 调整饮食结构:减少黏性食物(如口香糖、太妃糖、年糕),进食时细嚼慢咽,避免大口咬硬质食物(如苹果、玉米),可切成小块后用后牙咀嚼。
- 保持口腔卫生:每天使用正畸牙刷、牙线、冲牙器清洁牙齿和托槽周围,防止食物残渣堆积导致托槽松动。
- 定期复诊:严格按医生约定时间复诊(通常4-6周一次),医生会提前检查弓丝末端及托槽状态,及时调整避免脱出。
- 及时反馈异常:若感觉弓丝末端轻微刺嘴或异常松动,需尽早联系医生,切勿等到形成溃疡或弓丝完全脱出后再处理。
医生的专业操作要点
- 精准测量弓丝长度:根据患者牙弓长度和牙齿位置,预留1-2mm的弓丝末端(末端弯制后仍需在末端管内),避免过短或过长。
- 合理选择弓丝材质:初期使用镍钛丝时需考虑其超弹性,避免过粗弓丝导致末端回弹过度;后期可根据牙齿移动情况更换不锈钢丝增强稳定性。
- 加强末端管粘接质量:粘接末端管时彻底清洁牙面,确保粘接牢固,避免因末端管脱落导致弓丝脱出。
相关问答FAQs
问题1:弓丝末端脱出后,自己用指甲剪掉一点点行不行?
解答:绝对不行!弓丝材质坚硬,家用剪刀无法平整修剪,易导致剪出毛刺,加重对口腔黏膜的刺激;且自行修剪可能破坏弓丝原有形态,影响矫正力度,甚至导致弓丝滑入更深处损伤牙龈或牙根,正确的做法是用正畸蜡临时覆盖后尽快就医。
问题2:正畸蜡用多久需要更换?没正畸蜡怎么办?
解答:正畸 wax通常1-2天更换一次,若沾染食物残渣、脱落或失去粘性需及时更换;若暂时没有正畸蜡,可用无糖口香糖(先嚼软,吐出糖分)或蜂蜡临时覆盖,但需注意口香糖糖分可能粘附牙齿,仅建议作为紧急替代,24小时内需购买正畸蜡或就医处理。


