正畸前牙开合是指上下前牙在垂直方向上存在无接触的间隙,不仅影响面部美观,还可能导致发音不清、咀嚼效率降低及牙周组织损伤等问题,牵引技术是正畸治疗中纠正前牙开合的核心手段之一,通过施加持续、可控的矫治力,引导牙齿、颌骨及周围组织发生适应性改建,最终实现前牙的正常覆颌覆盖关系,本文将详细阐述正畸前牙开合的牵引机制、常用方法、临床应用及注意事项,为临床实践和患者理解提供参考。
前牙开合的病因与牵引治疗原理
前牙开合的病因复杂,可分为牙性、功能性和骨性三类,牙性开合多与个别牙齿萌出不足、多生牙或乳牙早失后邻牙移位有关;功能性开合常由吐舌、咬唇、口呼吸等不良习惯导致,舌体持续向前推上前牙,同时下颌后牙区垂直向过度生长;骨性开合则与颌骨发育异常相关,如下颌支过长、上颌垂直向发育不足或颞下颌关节紊乱继发的开合,牵引治疗的原理基于生物力学效应,通过矫治力作用于牙齿及颌骨,一方面抑制异常的生长方向(如下颌后牙垂直向生长),另一方面引导牙齿向理想位置移动(如压低上前牙、伸长下前牙),同时协调唇舌肌力平衡,纠正不良习惯,从根本上防止复发。

牵引治疗的常用方法及临床应用
根据牵引力的来源、作用部位及矫治目标,前牙开合的牵引方法可分为口内牵引、口外牵引及功能性牵引三大类,具体选择需结合开合类型、病因及患者年龄综合判断。
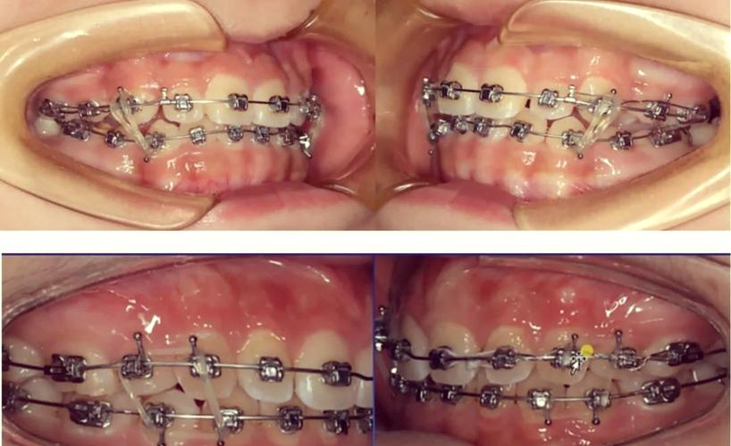
(一)口内牵引技术
口内牵引是前牙开合矫治中最常用的方法,通过口内装置施加矫治力,具有精准、便捷的优点,主要包括以下几种:
-
前牙垂直牵引
适用于牙性或轻度功能性前牙开合,通过压低上前牙、伸长下前牙改善覆颌,常用装置为“多用途弓(MEAW)+垂直牵引钩”,在上颌弓丝的侧切牙与尖牙间焊接垂直牵引钩,下颌弓丝末端弯制停止曲,使用橡皮圈连接上下颌牵引钩,施加垂直向牵引力,牵引力一般控制在50-70g,每天更换橡皮圈,避免力量衰减,该方法需注意控制牵引角度,避免上前牙过度唇倾或下前牙牙根吸收。 -
后牙颌间牵引
对于功能性或轻度骨性开合,尤其是伴随下颌后牙伸长者,可通过后牙颌间牵引抑制后牙垂直向生长,同时利用“楔形效应”引导下颌向前旋转,改善前牙开合,具体操作为在上颌第一磨牙制作带环并焊接牵引钩,下颌第一磨牙舌侧焊接牵引钩,使用Ⅲ类或Ⅱ类牵引橡皮圈(根据开合类型调整方向),每天佩戴20-22小时,牵引期间需密切观察后牙移动情况,避免后牙过度伸长加重开合。
(图片来源网络,侵删) -
片段弓+连续牵引
针对个别前牙开合(如上颌侧切牙舌倾导致的开合),可采用片段弓技术,对需移动的牙齿进行单独牵引,在上颌侧切牙牙面粘贴托槽,弯制片段弓丝,配合垂直牵引或颌间牵引,纠正牙齿位置,该方法创伤小、效率高,但对医生操作精度要求较高。
(二)口外牵引技术
口外牵引主要适用于骨性前牙开合或伴有严重生长发育异常的患者,通过口外装置提供强大的矫治力,抑制或引导颌骨生长。
-
头帽颏兜牵引(Chin Cup)
针对下颌发育过度导致的前牙开合,头帽颏兜通过颏部施加向后、向上的牵引力,抑制下颌垂直向生长,同时刺激上颌骨向前发育,牵引力一般为体重的1/8-1/6,每天佩戴10-14小时,需注意牵引方向与下颌平面垂直,避免颞下颌关节受力过大,对于生长发育期患者,长期使用可有效改善骨性开合,但需定期拍摄头颅侧位片评估颌骨变化。 -
头帽-面弓牵引(J Hook Headgear)
用于压低上前牙,尤其适用于上前牙过度伸长导致的前牙开合,面弓的内弓插入上颌磨牙带环的管状附件,外弓连接头帽,通过J钩钩住上前牙托槽的牵引钩,施加垂直向压低力,牵引力控制在100-150g/侧,每天佩戴12-14小时,该方法压低效率高,但需注意避免上前牙牙根吸收及牙槽骨高度降低。
(图片来源网络,侵删)
(三)功能性牵引装置
功能性牵引通过调节口腔肌肉功能,纠正不良习惯,引导颌骨正常发育,适用于儿童及青少年功能性前牙开合。
-
前庭盾(Vestibular Shield)
针对吐舌习惯导致的前牙开合,前庭盾由树脂制成,戴于上颌牙弓前庭处,阻断舌体对上前牙的压力,同时引导舌体置于正确位置,需全天佩戴(进食、刷牙时取下),持续3-6个月,直至习惯纠正,制作时需覆盖上前牙牙冠唇面1/3,边缘延伸至前庭沟,避免压迫牙龈。 -
肌激动器(Activator)
用于伴有下颌后缩的功能性开合,通过改变口腔肌肉环境,刺激下颌骨向前生长,同时压低后牙、伸长前牙,装置需在夜间佩戴,通过调整塑料部分的厚度控制颌骨移动方向,对于生长发育期患者,可有效改善骨性开合。
不同牵引方法的对比与选择
为便于临床应用,现将上述牵引方法的特点总结如下:
| 牵引方法 | 作用机制 | 适应证 | 优点 | 缺点 |
|---|---|---|---|---|
| 前牙垂直牵引 | 压低上前牙、伸长下前牙 | 牙性/轻度功能性开合 | 精准、高效 | 易致上前牙唇倾 |
| 后牙颌间牵引 | 抑制后牙生长、引导下颌旋转 | 功能性/轻度骨性开合 | 改善面型 | 需长期佩戴 |
| 头帽颏兜牵引 | 抑制下颌垂直生长 | 下颌发育过度骨性开合 | 控制颌骨生长 | 依赖患者配合 |
| 前庭盾 | 阻断舌体压力、纠正不良习惯 | 吐舌习惯功能性开合 | 纠正病因、预防复发 | 制作精度要求高 |
| 肌激动器 | 刺激下颌生长、调节肌功能 | 生长期下颌后缩功能性开合 | 利用生长发育潜力 | 需定期调整、患者适应期长 |
牵引治疗的注意事项与并发症预防
牵引治疗的效果不仅取决于方法选择,还需严格把控治疗过程中的细节,避免并发症并确保长期稳定。
-
口腔卫生维护
牵引装置(如橡皮圈、牵引钩)易积存食物残渣,增加龋齿和牙龈炎风险,需指导患者使用正畸专用牙刷、牙缝刷及冲牙器,每天至少刷牙3次,饭后立即清洁装置,定期进行牙周洁治。 -
牵引力控制
牵引力过小会导致矫治效率低下,过大则易引起牙根吸收、牙槽骨开裂及牙周损伤,需根据牙齿移动阶段调整力值:初始移动阶段(0-3个月)用轻力(50-70g),调整阶段(3-6个月)用中度力(70-100g),稳定阶段(6个月后)用轻力维持,定期拍摄根尖片及曲面断层片,评估牙根及牙槽骨状况。 -
不良习惯纠正
对于功能性开合患者,若牵引期间未纠正吐舌、咬唇等习惯,易导致复发,需配合行为干预,如舌刺训练、肌功能训练,或联合使用前庭盾,从病因上杜绝开合加重。 -
生长发育监控
对于儿童及青少年患者,需每6个月拍摄一次头颅侧位片,监测颌骨生长方向及速度,若发现骨性开合加重(如下颌持续垂直向生长),应及时调整治疗方案,必要时联合正颌手术。
预后与保持
前牙开合牵引治疗的预后与病因、年龄、治疗方法及患者配合度密切相关,牙性开合通过牵引治疗通常可在6-12个月内纠正,预后良好;功能性开合若能纠正不良习惯,复发率较低;骨性开合则需长期牵引甚至联合正颌手术,且复发风险较高,治疗后需佩戴保持器维持疗效,首选 Hawley 保持器或压膜保持器,前牙区需增加垂直向挡板,防止开合复发,保持时间至少为2年,期间每3个月复诊一次,观察牙齿位置变化。
相关问答FAQs
Q1:前牙开合牵引治疗需要多长时间?
A:牵引治疗时间因开合类型、病因及患者年龄而异,牙性前牙开合(如个别牙齿萌出异常)通过前牙垂直牵引或片段弓治疗,通常需要6-12个月;功能性开合(如吐舌习惯)需先纠正不良习惯(3-6个月),再配合牵引治疗,总疗程约12-18个月;骨性开合(如下颌发育过度)需长期牵引(1-2年)甚至联合正颌手术,术后还需佩戴保持器1-2年,生长发育期儿童因颌骨生长潜力大,疗程相对较短;成年人因颌骨停止生长,主要依靠牙齿移动,疗程可能延长,患者配合度(如是否坚持佩戴牵引装置、纠正不良习惯)也会显著影响治疗时间。
Q2:牵引治疗过程中出现疼痛怎么办?
A:牵引初期(佩戴装置后1-3天)出现轻微疼痛、酸胀感属于正常现象,是牙齿受力后牙周组织改建的反应,一般无需特殊处理,可通过温盐水漱口、进食软食缓解,若疼痛持续加重或出现咬合痛、自发痛,需警惕以下情况:① 牵引力过大导致牙根损伤或牙周创伤,需及时复诊调整牵引力;② 牵引橡皮圈滑脱或装置移位,导致牙齿受力异常,需重新安装;③ 继发龋齿或牙周感染,需进行口腔检查及相应治疗,若出现颞下颌关节疼痛、弹响,可能是口外牵引方向不当(如下颌颏兜牵引力过大),需调整装置或暂停牵引,避免关节损伤,疼痛期间避免咀嚼硬物,保持口腔卫生,必要时遵医嘱服用非甾体抗炎药缓解症状。
