双颌前突是一种常见的错颌畸形,主要表现为上下颌牙齿及牙弓向前突出,嘴唇闭合困难,侧面观呈“凸面型”,不仅影响面部美观,还可能伴随咬合功能异常、发音问题及口腔健康风险(如牙周创伤、龋齿风险增加),很多人担心这种问题是否可以通过正畸治疗改善,答案是肯定的——双颌前突可以通过正畸治疗得到有效矫正,但具体方案需根据个体情况制定,下面从多个维度详细解析。
双颌前突的成因与正畸矫正原理
双颌前突的成因复杂,通常包括遗传因素(父母有类似面型,子女概率较高)、替牙期障碍(如乳牙早失、恒牙萌出顺序异常)、不良口腔习惯(如长期吮指、咬唇、口呼吸)、以及骨性发育异常(上下颌骨过度向前生长),正畸矫正的核心原理是通过施加持续、轻柔的生物力,引导牙齿在牙槽骨内移动,调整牙列位置、咬合关系,必要时配合颌骨生长调控或牙齿代偿性移动,最终实现面部美观与功能的平衡。

双颌前突正畸的适应症与禁忌症
并非所有双颌前突都适合单纯正畸治疗,需通过专业评估区分“牙性”与“骨性”类型:
适应症
- 牙性双颌前突:主要由牙齿前倾、牙弓前突引起,骨骼基础正常,表现为上下前牙突出,但上下颌骨位置相对协调,可通过单纯正畸排齐牙齿、内收前牙改善。
- 轻度骨性双颌前突:骨骼轻度前突(如下颌骨轻微前突,上颌骨发育正常),但牙齿可代偿性移动(如牙根舌倾),通过正畸将牙齿向舌侧移动,可代偿部分骨骼问题,改善突度。
- 混合型双颌前突:牙性与骨性因素并存,若骨性程度较轻,可通过正畸联合其他治疗(如微种植体支抗)实现矫正。
禁忌症或需联合治疗的情况
- 重度骨性双颌前突:上下颌骨明显前突(如下颌前突超过5mm,上颌前突超过4mm),单纯正畸效果有限,需先通过正畸-正颌联合治疗(如上颌骨Le Fort I型截骨术后退、下颌骨矢状劈开术后退),再通过正畸精细调整咬合。
- 存在严重口腔疾病:如未控制的牙周炎(牙槽骨吸收严重者牙齿移动困难)、颞下颌关节紊乱(需先治疗关节问题再正畸)。
- 依从性差:无法配合定期复诊、保持器佩戴或口腔清洁者,可能影响矫正效果。
牙性与骨性双颌前突的鉴别(表格对比)
| 鉴别指标 | 牙性双颌前突 | 骨性双颌前突 |
|---|---|---|
| 骨骼表现 | 上下颌骨位置正常,突度主要由牙齿前倾引起 | 上下颌骨发育过度,前突量明显(侧位片显示SNA、SNB角增大) |
| 牙齿代偿 | 牙齿可明显向舌侧移动 | 牙齿已处于代偿位置(如牙根舌倾),移动空间有限 |
| 面部特征 | 自然状态下嘴唇闭合困难,但软组织突度相对较轻 | 软组织突度明显,侧面观“凸面型”显著,鼻唇沟深 |
| X线检查 | 牙根位置正常,无明显颌骨形态异常 | 上颌牙槽突前突,下颌角前突,颏部位置靠前 |
双颌前突正畸的常用方法
正畸医生会根据患者年龄、错颌类型、严重程度及个人需求,选择不同的矫治技术:
传统固定矫治器(金属/陶瓷托槽)
通过粘接在牙齿上的托槽和弓丝施加力量,是目前应用最广泛的方法。
- 优势:力量控制精准,适用范围广(尤其复杂错颌),性价比高。
- 劣势:美观性较差(金属托槽明显),口腔清洁难度大,部分患者可能不适。
- 适用情况:牙性双颌前突、混合型需强支抗者,青少年及成人均可使用。
自锁托槽矫治器
托槽自带闭锁结构,减少弓丝与托槽的摩擦力,可加快牙齿移动速度。

- 优势:复诊间隔延长(6-8周一次),治疗时间缩短10%-20%,疼痛感较轻。
- 劣势:费用高于传统托槽,对医生技术要求较高。
- 适用情况:对治疗时间有要求、希望减少不适感的患者。
隐形矫治器(如隐适美、时代天使)
通过一系列透明牙套逐步移动牙齿,可自行摘戴。
- 优势:美观性好(几乎隐形),舒适度高,口腔清洁方便,可提前通过3D动画预知矫正效果。
- 劣势:对骨性前突的代偿能力有限,需患者高度配合(每天佩戴20-22小时),费用较高。
- 适用情况:轻度牙性双颌前突、成人美观需求高、依从性好者。
微种植体支抗辅助正畸
在颌骨内植入微型种植体(直径1.5-2mm),作为“支抗点”加强内收力量,解决传统支抗不足的问题。
- 优势:可实现前牙大幅内收(最大可内收7-8mm),避免拔牙,尤其适合非拔牙病例的骨性前突代偿。
- 劣势:需微创手术植入种植体,存在感染风险(概率<5%)。
- 适用情况:中度骨性双颌前突(不愿接受手术者)、需强支抗的内收病例。
双颌前突正畸的流程与周期
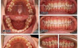
- 初诊检查:包括口腔检查、模型制取、X线头影测量(评估骨骼与牙齿关系)、CBCT(三维评估颌骨形态)、面部拍照等,明确诊断。
- 方案设计:医生根据检查结果制定个性化方案,是否拔牙、选择矫治器类型、治疗周期(通常1.5-3年)等。
- 矫治阶段:
- 排齐整平(0-6个月):将拥挤的牙齿排齐,调整 Spee 曲线。
-
- 关闭拔牙间隙/内收前牙(6-18个月):通过支抗系统将前牙向舌侧移动,改善突度。
- 精细调整(18-24个月):调整咬合关系、牙齿转矩,确保功能与稳定。
- 保持阶段:拆除矫治器后,佩戴保持器(通常透明压膜保持器+舌侧丝保持器),至少2年,夜间长期佩戴,防止复发。
正畸治疗的注意事项与风险
- 口腔卫生维护:戴矫治器时易存食物残渣,需使用正畸牙刷、牙缝刷、冲牙器,避免龋齿和牙周炎。
- 饮食调整:避免啃硬物(坚果、骨头)、黏性食物(口香糖、年糕),防止托槽脱落。
- 定期复诊:一般4-6周复诊一次,医生调整弓丝、检查牙齿移动情况,确保按计划进行。
- 风险提示:可能出现牙根吸收(发生率约5%,通常不影响功能)、牙釉质脱矿(初期白斑,可通过早期干预改善)、复发(保持器佩戴不当导致,需终身保持)。
相关问答FAQs
Q1:双颌前突正畸一定要拔牙吗?
A1:不一定,是否拔牙取决于牙齿拥挤度、骨骼突度、面部软组织状态等,轻度牙性前突、牙弓足够大时,可通过扩弓、推磨牙向后等非拔牙方式解决;若中度以上拥挤或骨骼突度明显,拔牙(通常拔除第一前磨牙)可为前牙内收提供空间,改善突度且效果更稳定,医生会通过模型测量和X线分析综合判断。
Q2:成年后双颌前突正畸效果会不如青少年吗?
A2:并非如此,青少年正畸可利用颌骨生长发育潜力(如生长改良治疗),但成人正畸也有独特优势:骨改建能力依然存在(牙齿移动速度约为青少年的80%),患者配合度高、目标明确(更注重美观与功能),且可通过微种植体支抗、正颌手术等技术实现青少年难以达到的精细效果,只要牙周健康,任何年龄均可进行正畸治疗。
