植牙作为修复缺失牙的有效方式,其长期效果不仅依赖植体与骨组织的结合,更离不开连接植体与牙冠的关键部件——基台,传统基台多为标准化生产,虽能满足常规需求,但在复杂口腔条件下常面临适配性差、美学效果不足等问题,而植牙个性化基台的出现,通过数字化技术“量齿定制”,显著提升了种植修复的成功率与患者满意度。
个性化基台是根据患者口腔内植体位置、牙槽骨形态、牙龈弧线及邻牙特征等数据,利用CAD/CAM(计算机辅助设计与制造)技术精准设计的基台,与传统基台相比,其核心优势在于“精准适配”与“美学优化”,通过表格对比可更直观看出差异:传统基台采用通用型号,可能因与牙槽骨不匹配导致应力集中,增加植体松动风险;而个性化基台完全贴合植体及骨面,应力分布更均匀,长期稳定性更高,传统基台穿龈形态固定,易出现牙龈黑三角或形态不自然;个性化基台可模拟天然牙穿龈轮廓,促进牙龈健康包裹,提升前牙美学效果,在生物相容性方面,个性化基台可选钛合金、氧化锆等材料,减少过敏风险;适用范围上,对牙槽骨条件复杂(如骨量不足、角度偏斜)的患者,个性化基台可通过倾斜设计规避手术创伤,扩大种植适应证。

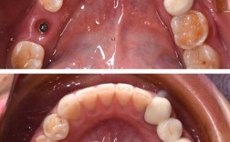
个性化基台并非适用于所有患者,其核心价值在于解决复杂病例的修复难题,前牙美学区修复时,个性化基台可根据牙龈弧度、邻牙形态调整穿龈轮廓,避免“黑三角”或牙龈萎缩,实现以假乱真的自然效果;对于牙槽骨条件不佳(如骨量不足、植体植入角度异常)的患者,个性化基台可通过倾斜设计分散咬合力,降低植体负荷;对美观要求极高的患者(如公众人物、前牙缺损影响社交者)、多颗牙连续修复需兼顾邻牙协调性的情况,个性化基台也能提供更优解决方案。
个性化基台的制作是数字化技术与精密工艺的结合,医生需通过CBCT(锥形束CT)获取牙槽骨三维数据,结合口内扫描仪获取牙龈形态,生成口腔数字模型;随后,利用CAD(计算机辅助设计)软件模拟基台与植体的连接角度、穿龈高度及牙冠衔接形态,确保与周围组织自然过渡;设计方案确认后,通过3D打印或CNC数控切削加工成型,最后经高温消毒、抛光处理,在手术中试戴调整后植入患者口腔。
选择个性化基台修复时,需注意以下几点:术前需与医生充分沟通,明确自身需求及预期效果;务必选择具备数字化设备与经验的正规机构,避免因设计或制作误差影响修复效果;术后需严格遵循医嘱,避免用种植牙啃咬硬物,使用软毛牙刷清洁,并定期复查(建议每6个月1次),监测基台稳定性及牙龈健康状况。
相关问答FAQs:
Q1:个性化基台的使用寿命是多久?影响因素有哪些?
A1:个性化基台的使用寿命通常在10-15年以上,若维护得当可达20年,主要影响因素包括:材料(钛合金生物相容性佳、耐腐蚀性强,氧化锆美观但需确保强度达标)、口腔卫生(维护不当易引发植体周围炎,导致基台松动)、咬合习惯(夜磨牙、偏咬等异常力可能加速基台磨损)、医生技术(设计精度与手术操作直接影响基台长期稳定性)。

Q2:做个性化基台比传统基台贵很多吗?为什么?
A2:个性化基台的价格通常比传统基台高20%-50%,但综合性价比更高,其成本增加主要源于数字化数据采集(CBCT、口扫)、CAD设计耗时、3D打印/切削加工等精密工艺,以及技师的复杂操作,虽然初期投入较高,但个性化基台能显著降低术后并发症(如基台松动、牙龈退缩)风险,减少二次修复费用,从长期看更经济实惠。

