植牙是目前修复缺失牙的重要方式,通过将人工种植体植入牙槽骨,模拟天然牙根功能,恢复咀嚼与美观,并非所有植牙手术都能一次成功,部分患者可能在第一期(即种植体植入阶段)遭遇失败,所谓“第一期植牙失败”,指种植体植入术后,未能达到预期的骨结合效果,甚至出现感染、松动、吸收等问题,导致种植体无法继续支持后续修复,这一情况虽令人沮丧,但明确原因、科学处理,仍能为成功修复奠定基础。
第一期植牙失败的常见原因
种植体与牙槽骨的“骨结合”是植牙成功的核心,即种植体表面与骨组织形成直接的结构性连接,任何影响骨结合的因素,都可能导致第一期失败,具体原因可从患者自身、手术操作、种植体特性及术后护理四类分析:

(一)患者自身因素
- 骨量不足:牙槽骨因牙齿缺失后吸收、萎缩,导致高度或宽度不达标,种植体植入后缺乏足够骨支撑,初期稳定性不足,易松动或吸收。
- 全身性疾病:未控制的糖尿病(影响骨愈合能力)、骨质疏松(骨密度低)、长期服用抗凝药物(如阿司匹林,增加出血风险)、免疫系统疾病等,均会干扰骨再生过程。
- 口腔局部条件:牙周炎未彻底治疗(炎症导致骨破坏)、咬合异常(如夜磨牙、咬合过紧,种植体承受过大机械力)、吸烟(尼古丁收缩血管,减少骨血供)等,都会降低骨结合成功率。
(二)手术操作因素
- 术区污染:手术器械消毒不彻底、术区口腔清洁不足,或术中操作导致唾液、细菌进入种植窝,引发种植体周围感染,破坏骨组织。
- 植入技术不当:种植体植入位置、角度偏差(如靠近下牙槽神经、损伤邻牙),或植入扭矩过大/过小(过大导致骨微骨折,过小无法获得初期稳定性),影响骨结合。
- 骨处理不充分:牙槽骨存在炎症、囊肿或纤维化组织未彻底清除,或术中产热过高(如钻速过快、未充分冷却),导致骨细胞坏死,形成“死骨区”。
(三)种植体特性因素
- 材料与设计缺陷:种植体材料生物相容性差(如劣质钛合金)、表面处理不当(如喷砂酸蚀效果不佳,无法促进骨细胞附着),或螺纹设计不合理(无法有效分散咬合力),均会影响骨结合效率。
- 型号选择错误:种植体直径或长度与患者骨量不匹配,如过细种植体在宽骨槽中易旋转,过长者穿透骨皮质,均导致稳定性不足。
(四)术后护理因素
- 过早负重:术后立即用患侧咀嚼,或佩戴临时义齿时咬合过高,导致种植体承受过大外力,干扰骨愈合。
- 口腔卫生维护不当:术后未正确刷牙、使用牙线,导致食物残渣堆积,引发种植体周围炎,破坏骨结合界面。
- 外力撞击:术后意外磕碰种植区域,如摔倒、咬硬物,导致种植体松动或移位。
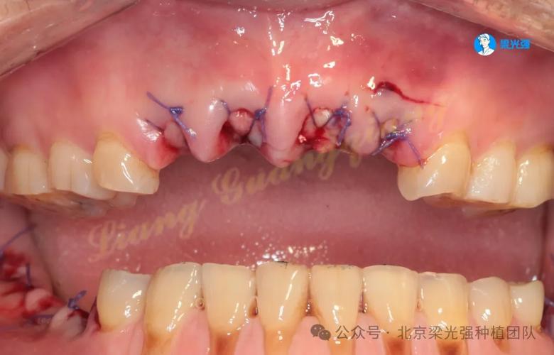
第一期植牙失败的表现
种植体植入后,医生会通过定期复查评估愈合情况,若出现以下表现,需警惕失败可能:
(一)临床症状
- 疼痛与肿胀:术后3-5天疼痛逐渐缓解,若疼痛加剧或持续超过1周,伴局部肿胀、张口受限,可能提示感染或骨创伤。
- 种植体松动:正常情况下,种植体在术后初期应有轻微“骨感”固定,若用手可晃动或出现“浮起感”,表明骨结合失败。
- 牙龈异常:牙龈红肿、溢脓,或形成“瘘管”(牙龈上出现小孔,有脓液流出),是种植体周围感染的典型表现。
- 咬合不适:咀嚼时感觉种植体部位疼痛、异物感,或义齿与对颌牙接触异常,可能提示种植体位置偏差或受力过大。
(二)辅助检查
- 临床检查:医生通过叩诊(种植体是否敏感)、松动度检测(用器械轻轻晃动,评估松动程度)初步判断。
- 影像学检查:术后1-3个月拍摄X光片或CBCT,观察种植体周围骨密度:若种植体与骨之间存在透射影(低密度区),或骨吸收超过种植体长度的1/3,提示骨结合失败。
第一期失败后的处理原则
一旦确诊第一期失败,需及时干预,避免骨量进一步丢失,为二次种植创造条件,处理流程需根据失败原因、骨条件及患者意愿制定:
(一)明确失败原因
通过病史回顾、临床检查及影像学分析,确定失败主因(如感染、骨量不足、技术失误等),避免二次手术重蹈覆辙。
(二)针对性处理措施
- 感染控制:若为种植体周围炎,需先进行清创(刮除感染组织)、冲洗,并全身或局部使用抗生素;若感染严重,需取出种植体,待炎症完全控制(通常2-4周)后再评估。
- 取出种植体:对于松动明显、骨吸收严重的种植体,需及时取出,避免残留种植体碎屑影响骨愈合,取出后彻底清理种植窝,去除炎性肉芽组织。
- 骨增量处理:若骨量不足导致失败,可在取出种植体同期或延期进行植骨术(如自体骨移植、骨粉填充),使用骨引导再生膜(GBR技术)引导骨再生,待3-6个月骨愈合充分后,再行二次种植。
- 延期种植:对于骨条件较差、感染严重或软组织愈合不佳的患者,建议等待6个月以上,待牙槽骨稳定、血供恢复后再尝试种植,避免再次失败。
(三)二次种植注意事项
- 术前评估升级:通过CBCT精确测量骨量,评估神经、血管位置,制定个性化手术方案。
- 手术技术优化:选择经验丰富的医生,采用微创技术减少创伤,严格控制植入扭矩(通常30-50N·cm),确保种植体初期稳定性。
- 术后管理强化:指导患者严格口腔卫生,戒烟,避免过早负重,术后1、3、6个月定期复查,监测骨结合情况。
如何降低第一期植牙失败风险?
预防胜于治疗,通过以下措施可显著降低失败率:

- 严格术前评估:完善CBCT、全景片检查,明确骨量、密度及解剖结构;全面排查全身性疾病,控制血糖、血压等指标;彻底治疗牙周炎、口腔黏膜病等局部问题。
- 选择正规机构与医生:具备资质的口腔机构、经验丰富的种植医生熟悉解剖结构,能精准把控手术细节,降低技术失误风险。
- 个性化种植方案:根据患者骨条件、咬合习惯选择合适的种植体型号、品牌(如亲水表面种植体可加速骨结合),必要时结合数字化导板技术精准植入。
- 强化术后护理:术后24小时内避免刷牙、漱口,遵医嘱使用抗生素、止痛药;1周内进流食,避免患侧咀嚼;保持口腔卫生,使用软毛牙刷、冲牙器清洁种植体周围;戒烟限酒,定期复查(术后1周、1个月、3个月)。
相关问答FAQs
问题1:植牙第一期失败后,多久能再次尝试种植?
解答:二次种植的时间需根据失败原因和骨条件决定,若为轻度感染或技术偏差,骨条件良好,可在感染控制后2-4周尝试即刻种植;若骨量不足需植骨,需等待3-6个月,待骨粉与自体骨充分融合、骨密度达标后再植;对于严重感染或骨吸收患者,建议等待6个月以上,确保牙槽骨稳定,提高二次种植成功率。
问题2:植牙第一期失败,产生的费用能退吗?
解答:费用是否退还需根据责任方判断,若因医生操作失误(如植入位置偏差导致神经损伤、感染控制不当)或机构器械问题导致失败,患者可与机构协商,通常可退还部分或全部手术费用;若因患者自身因素(如未遵医嘱吸烟、术后护理不当)或不可抗力(如意外撞击)导致失败,费用通常不退,建议术前与机构签订详细协议,明确双方责任,保障自身权益。

