种植牙作为一种理想的牙齿修复方式,通过将人工种植体植入牙槽骨内,模拟天然牙根的功能,再安装牙冠恢复牙齿形态与咀嚼能力,许多患者在完成种植体植入手术后,最关心的问题便是“多久能戴牙冠”,这一时间并非固定,而是受多种因素综合影响,需要结合个人情况由医生专业判断。
种植牙牙冠佩戴的核心依据:骨结合时间
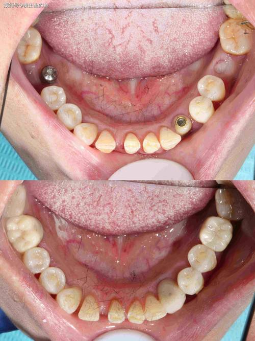
种植牙能否戴牙冠,首要前提是种植体与牙槽骨完成“骨结合”,骨结合是指种植体表面与周围骨组织之间形成直接的 structural connection,两者紧密结合,如同天然牙根与牙槽骨的关系,这一过程是种植牙稳定性和长期使用的基础,若骨结合未充分形成就过早戴牙冠,可能导致种植体松动、脱落甚至失败。

骨结合的时间受多种因素影响,通常需要3-6个月,但部分患者可能需要更长时间,骨结合的速度与牙槽骨的质量、患者的身体状况、种植体的设计等密切相关,牙槽骨条件好、骨质致密的患者,骨结合可能更快;而牙槽骨萎缩、需要进行植骨手术的患者,则需要额外等待植骨区域愈合,骨结合时间会相应延长。
影响牙冠佩戴时间的关键因素
牙槽骨条件:决定基础愈合速度
牙槽骨的质量和数量是影响骨结合时间的重要因素,根据骨质密度,通常将牙槽骨分为四类:
- D1类骨:致密皮质骨,质地坚硬,但血供较差,骨结合速度相对较慢,通常需要4-6个月;
- D2类骨:厚层皮质骨伴少量松质骨,最为理想的骨质,骨结合速度较快,约3-4个月;
- D3类骨:薄层皮质骨伴较多松质骨,血供良好,骨结合时间约3-5个月;
- D4类骨:疏松松质骨,骨质较差,骨结合难度大,时间可能延长至6个月以上。
若患者存在牙槽骨吸收、骨量不足的情况,医生可能需要进行植骨(如骨粉填充、骨块移植等),植骨后需等待骨粉与自体骨融合,通常需要额外3-6个月,因此总治疗时间会显著延长。
种植体类型与设计:表面处理技术影响骨结合效率
不同品牌、材质和表面处理的种植体,对骨结合速度的影响也不同,目前常用的种植体材料为纯钛或钛合金,具有良好的生物相容性,而种植体表面的处理技术(如喷砂酸蚀、SLA表面处理、阳极氧化处理等)能增加种植体表面的粗糙度,促进骨细胞附着,加速骨结合。

- 常规光滑表面种植体:骨结合时间相对较长,约4-6个月;
- 粗糙表面种植体:通过增大表面积和促进蛋白吸附,可缩短骨结合时间至3-5个月;
- 亲水性表面种植体:经过特殊处理,能提高种植体表面的亲水性能,加快血液和骨细胞附着,部分患者可在2-3个月内完成初步骨结合(但仍需医生评估)。
种植体的直径和长度也会影响稳定性,若种植体直径较细、长度较短(如种植在骨量不足的区域),可能需要更长的愈合时间以确保初期稳定性。
全身健康状况:个体差异决定愈合能力
患者的年龄、系统性健康状况对骨结合速度有直接影响。
- 年轻患者:新陈代谢旺盛,骨修复能力强,骨结合时间可能相对较短;
- 老年患者:骨细胞活性降低,愈合速度较慢,但通常在正常范围内(3-6个月);
- 糖尿病患者:血糖控制不佳会影响骨组织修复和免疫功能,可能导致骨结合延迟,甚至增加失败风险,需将血糖控制在稳定范围内后再进行种植,并延长愈合时间;
- 吸烟者:尼古丁会导致血管收缩,减少牙槽骨的血供,影响骨结合,吸烟患者需戒烟或减少吸烟量,骨结合时间可能比非吸烟者延长1-2个月;
- 骨质疏松患者:若长期服用双膦酸盐类药物(如治疗骨质疏松的药物),可能增加颌骨坏死风险,需在医生评估后决定是否种植及愈合时间。
是否需要附加手术:复杂情况延长治疗周期
部分患者在种植牙时可能需要同时进行其他手术,这些附加操作会延长牙冠佩戴时间:
- 上颌窦提升术:当上颌后牙区牙槽骨高度不足时,需将上颌窦底黏膜向上提升,植入骨粉,根据手术方式(上颌窦内提升术或外提升术),愈合时间需4-6个月;
- 骨劈开术/骨挤压术:适用于牙槽骨宽度不足的情况,通过手术扩大牙槽骨宽度以容纳种植体,术后需3-6个月愈合;
- 软组织移植:若牙龈量不足,可能需要进行软组织移植(如游离龈瓣移植)以改善美观和封闭种植体周围,软组织愈合需2-3周,但需等待骨结合完成后才能戴牙冠。
医生技术与术后护理:保障愈合质量
医生的操作技术和术后护理指导同样关键,种植过程中若对周围骨组织损伤过大、种植体植入位置不佳或初期稳定性不足,可能影响骨结合速度,术后若患者不注意口腔卫生、过早用种植体咀嚼硬物、或发生种植体周围炎(如细菌感染导致牙龈红肿、出血),也会延迟骨结合,甚至导致种植失败。

不同情况下的牙冠佩戴时间参考
综合以上因素,以下是常见情况下种植牙后戴牙冠的大致时间范围:
| 情况分类 | 具体描述 | 骨结合时间 | 总治疗时间(含手术+愈合) |
|---|---|---|---|
| 骨质良好、无需附加手术 | D2/D3类骨,无骨量不足,无全身疾病 | 3-4个月 | 3-5个月 |
| 骨质一般、轻微骨缺损 | D3/D4类骨,少量骨粉填充(无需植骨) | 4-5个月 | 4-6个月 |
| 骨质较差、需植骨 | D4类骨,牙槽骨严重吸收,需骨粉/骨块移植 | 6-9个月 | 6-12个月 |
| 上颌后牙区种植 | 需同时行上颌窦内提升术 | 4-6个月 | 5-8个月 |
| 即刻种植(拔牙后立即种植) | 拔牙位点骨质良好,无感染 | 3-4个月 | 3-5个月 |
| 即刻负重(特殊情况) | 骨质良好,初期稳定性高,医生评估后 | 2-3个月(临时冠) | 2-3个月(临时冠),3-6个月(永久冠) |
术后护理:缩短愈合时间、保障成功率的关键
即使种植手术顺利,术后的科学护理也能促进骨结合,为早日戴牙冠创造条件:
- 口腔卫生维护:术后24小时内避免刷牙漱口,之后使用软毛牙刷轻轻清洁术区,配合漱口水(如氯己定漱口液)减少细菌感染;
- 饮食注意:术后1-2周以温凉、流质或半流质食物为主,避免用种植侧咀嚼过硬、过黏的食物,防止种植体松动;
- 避免剧烈运动:术后1周内避免剧烈运动、吸烟、饮酒,以免影响血液循环和骨愈合;
- 定期复查:按医生要求复查(通常术后1周、1个月、3个月),通过X线片检查骨结合情况,及时调整治疗方案。
常见误区:并非“越早戴牙冠越好”
部分患者为了尽快恢复美观或咀嚼功能,希望缩短愈合时间,要求提前戴牙冠,这种做法存在较大风险:若骨结合未完成,种植体与牙槽骨之间尚未形成稳定连接,过早戴牙冠(尤其是固定牙冠)会导致种植体在咀嚼受力时发生微动,影响骨愈合,严重时可能造成种植体周围骨吸收,最终导致种植失败,必须严格遵循医生评估,待骨结合确认牢固后再进行牙冠修复。
相关问答FAQs
Q1:种植牙后戴牙冠前,如果前牙影响美观,可以临时处理吗?
A:可以,对于前牙种植,若患者对美观要求较高,医生可在骨结合期间制作临时牙冠(如树脂临时冠),临时牙冠主要起美观和维持牙龈形态的作用,强度较低,不能用于咀嚼硬物,待骨结合完成后,再更换为永久性牙冠(如全瓷冠、金属烤瓷冠等)。
Q2:如果骨结合时间超过6个月仍未愈合,需要担心吗?
A:不必过度担心,但需及时复查,骨结合时间因人而异,部分患者(如骨质较差、有全身疾病者)可能需要6个月以上,若超过6个月复查时发现种植体周围无炎症、X线片显示骨结合进展良好,可继续等待;若出现种植体松动、牙龈红肿溢脓等情况,可能存在种植体周围炎或骨结合失败,需医生评估是否进行处理(如调整治疗方案、甚至取出种植体)。
