正畸不拔牙治疗是口腔正畸领域的重要技术手段,通过精准的病例选择和科学的方案设计,在避免拔牙的前提下解除牙齿拥挤、改善咬合关系及面部美观,其核心在于利用现有牙列空间,通过扩弓、推磨牙向后、邻面去釉等非拔牙方式实现牙齿排列与功能的协调,以下通过典型病例展示不拔牙正畸的关键环节与效果。
病例展示:轻度拥挤伴前牙深覆盖的青少年患者
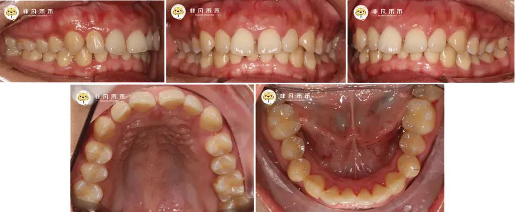
患者基本信息:女性,13岁,恒牙列初期,主诉“牙齿不齐,上牙前突”。
临床检查:

- 口内情况:上颌牙列轻度拥挤(拥挤度约4mm),下颌牙列排列整齐;前牙深覆盖Ⅲ°,深覆Ⅱ°;磨牙关系为中性;上颌中线无偏移,下颌轻度后缩。
- X线片:全曲面断层片显示牙根形态正常,无牙根吸收;头颅侧位片显示ANB角5°(正常),上颌前突不明显,下颌平面角正常。
- 模型分析:Bolton指数前牙比正常,后牙比稍大;上牙弓长度轻度不足。
诊断:安氏Ⅱ类1分类错𬌗,轻度牙列拥挤,前牙深覆盖,深覆𬌗。
治疗方案:
- 非拔牙矫治设计:针对上颌拥挤及深覆盖,采用“上颌快速扩弓(RME)+ 上颌前牙区邻面去釉(IPR)+ 上颌磨牙远中移动”联合方案。
- 矫治器选择:上颌戴用快速扩弓矫治器(每天加力2次,每次0.25mm,扩弓达3mm后保持),同时粘贴0.022英寸直丝弓托槽,镍钛圆丝排齐整平,后续使用镍钛方丝及不锈钢方丝配合滑动法远中移动上颌磨牙。
- 下颌处理:深覆𬌗通过上颌垂直向控制及下颌 Spee 曲丝整平改善,未进行下颌去釉或扩弓。
治疗过程与结果:
- 初期(3个月):快速扩弓完成,上颌牙弓宽度增加,前牙拥挤缓解;镍钛丝排齐后,前牙覆盖减小至Ⅱ°。
- 中期(6个月):上颌磨牙远中移动约3mm,拥挤度完全解除;深覆𬌗改善至Ⅰ°,深覆盖减小至Ⅱ°。
- 完成期(12个月):上下颌牙列排列整齐,磨牙关系中性,前牙覆盖Ⅰ°,覆𬌗正常;面型改善,上唇突度减轻,患者侧貌协调。
- 保持:上下颌戴用透明保持器,保持期间定期复诊,未出现复发。
不拔牙正畸的关键技术与优势
不拔牙矫治的成功依赖对“可利用空间”的精准评估与调控,核心技术包括:

- 扩弓技术:通过上颌快速扩弓或慢速扩弓增加牙弓宽度,解决轻度拥挤及后牙反𬌗,适用于上颌基骨宽度不足者。
- 推磨牙向后:使用种植钉、摆式矫治器或滑动法远中移动磨牙,为前牙提供间隙,有效解决中度拥挤及深覆盖。
- 邻面去釉(IPR):在牙齿邻面磨除0.2-0.5mm釉质,每颗牙可提供约0.5mm间隙,适用于Bolton指数正常、轻度拥挤的病例。
优势:保留自然牙列的完整性,避免拔牙带来的手术创伤;维持面部丰满度,尤其对软组织较薄的患者,可避免拔牙后侧貌凹陷;缩短治疗周期(通常比拔牙病例缩短3-6个月)。
局限性:并非所有病例均适用,需严格评估拥挤度、面部突度、基骨条件及患者年龄;对于严重拥挤(>8mm)、骨性畸形或 Bolton 指数不调者,拔牙仍是更优选择。
拔牙与不拔牙矫治适应症对比
| 评估指标 | 不拔牙矫治适应症 | 拔牙矫治适应症 |
|---|---|---|
| 牙齿拥挤度 | 轻度拥挤(<6mm)或中度拥挤(6-8mm)伴扩弓/去釉空间 | 重度拥挤(>8mm)或中度拥挤伴基骨狭窄 |
| 面部突度 | 直面型或轻度突面型,ANB角<5° | 明显突面型,ANB角>5°,软组织前突明显 |
| 磨牙关系 | 中性或轻度远中关系,可推磨牙调整 | 中性或近中关系,需解除牙弓拥挤 |
| Bolton指数 | 前后牙比正常或轻度不调 | 前牙或后牙比显著不调,需拔牙调整 |
相关问答FAQs
Q1:所有牙齿拥挤的患者都能通过不拔牙矫正吗?
A1:并非如此,不拔牙矫治需满足严格条件:①拥挤度一般不超过8mm,且可通过扩弓、去釉等方式获得足够间隙;②面部无明显前突,软组织厚度适中;③基骨发育良好,牙弓长度与宽度协调;④患者年龄处于生长发育期(如青少年),可通过颌骨生长调整咬合,对于重度拥挤、骨性畸形或 Bolton 指数严重不调者,拔牙仍是必要手段,需由正畸医生综合评估后确定。
Q2:不拔牙矫正后牙齿容易复发吗?
A2:复发风险与拔牙病例无显著差异,关键在于保持治疗的效果,不拔牙病例因保留了自然牙列,牙齿稳定性相对较好,但若治疗后未按要求佩戴保持器(如夜间佩戴至少1年),或存在不良习惯(如舌习惯、咬唇),仍可能出现拥挤复发,矫治结束后需严格佩戴保持器,并定期复诊(每3-6个月1次),医生会通过检查牙列稳定性、咬合关系及面部变化,及时调整保持方案,降低复发风险。

