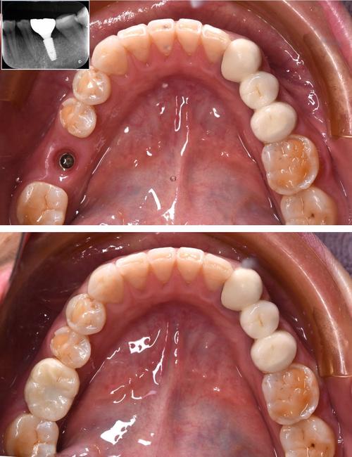
拔牙立刻种牙,医学上称为“即刻种植技术”,是指在拔除患牙的同时,将人工种植体立即植入新鲜拔牙窝内,实现“即拔即种”的修复方式,与传统种植需等待3-6个月牙槽骨愈合不同,即刻种植通过精准的术前规划和微创手术,缩短了缺牙期,减少了手术次数,成为现代口腔修复的重要技术之一。
拔牙立刻种牙的核心优势
拔牙后,牙槽骨会因失去功能性刺激而快速吸收,传统种植需等待骨愈合,期间可能出现邻牙倾斜、对颌牙伸长等问题,即刻种植通过“拔牙-种植-即刻修复”的一体化流程,有效避免了这些弊端,其优势主要体现在:

- 缩短治疗周期:将原本需要分两次完成的拔牙和种植手术合并,整体治疗时间减少50%以上,患者无需长期忍受缺牙困扰。
- 减少手术创伤:一次手术完成拔牙和种植,降低了对软硬组织的损伤,术后肿胀、疼痛等反应较轻。
- 保存牙槽骨:新鲜拔牙窝内的骨细胞活性高,种植体植入后可刺激骨组织再生,防止牙槽骨吸收和萎缩,为后续牙冠修复提供良好骨基础。
- 快速恢复功能:部分符合条件的患者可在术后当天佩戴临时牙冠,满足美观和基本咀嚼需求,避免社交尴尬。
适用人群与禁忌症
即刻种植并非“万能”,需严格评估患者口腔和全身状况,确保手术安全与效果。
适应人群
- 单颗/多颗牙缺失:如外伤、龋坏导致的牙齿无法保留,且邻牙健康无松动。
- 牙槽骨条件良好:拔牙窝骨高度≥10mm、宽度≥6mm,无明显骨缺损(或可通过植骨弥补)。
- 口腔卫生达标:无未控制的牙周炎、牙龈炎等疾病,能配合术后护理。
- 全身健康状况稳定:无严重糖尿病(空腹血糖≤8mmol/L)、心脏病、骨质疏松等系统性疾病,或疾病已得到有效控制。
禁忌症
- 严重牙周病:牙槽骨吸收超过根长1/3,或存在广泛性牙龈感染。
- 颌骨病变:如囊肿、肿瘤、骨髓炎等,需先治疗原发病。
- 不良口腔习惯:如长期夜磨牙、咬硬物,可能影响种植体稳定性。
- 长期吸烟/酗酒:吸烟会降低骨结合成功率,需戒烟1-2周后再手术。
拔牙立刻种牙操作流程
即刻种植技术对医生经验和设备要求较高,需通过数字化导板精准定位,确保种植体植入位置、角度和深度符合力学分布,以下是标准操作流程:
| 步骤 | 时间节点 | |
|---|---|---|
| 术前检查与评估 | 拍摄CBCT、曲面断层片,测量牙槽骨高度、宽度;检查牙周状况、全身健康;制定种植方案。 | 术前1-2周 |
| 拔牙与窝洞预备 | 微创拔除患牙,尽量保存牙槽骨壁;根据种植体直径扩大拔牙窝,去除炎性组织。 | 手术当天 |
| 种植体植入 | 将经过表面处理的钛合金种植体植入拔牙窝,确保初期稳定性>35Ncm(必要时植骨)。 | 拔牙后立即 |
| 缝合与术后处理 | 无张力缝合牙龈,放置胶原蛋白海绵促进愈合;拍摄X线片确认种植体位置。 | 手术结束即刻 |
| 复查与修复 | 术后1周拆线;3-6个月复查骨结合情况;骨结合成功后取模,制作永久性牙冠并戴牙。 | 术后3-6个月 |
术后注意事项与风险应对
术后护理要点
- 饮食管理:术后24小时内禁食过热、过硬食物,避免用患侧咀嚼;1周内以流质或半流质饮食为主(如粥、酸奶)。
- 口腔卫生:24小时内不刷牙、不漱口,以免血凝块脱落;术后第2天可用软毛牙刷轻轻刷牙,配合漱口水(如氯己定)保持口腔清洁。
- 生活习惯:1周内避免剧烈运动、吸烟、饮酒,防止伤口感染;遵医嘱服用抗生素和止痛药。
常见风险与应对
- 感染:表现为伤口红肿、溢脓,需及时就医,通过局部冲洗和抗生素治疗控制感染。
- 种植体松动:多因初期稳定性不足或过早受力,需重新植入或延长愈合时间。
- 神经损伤:下牙槽神经受损可能导致下唇麻木,多与种植体植入过深有关,多数可在3-6个月内恢复。
相关问答FAQs
问题1:拔牙立刻种牙所有人都能做吗?
解答:并非所有人适合,即刻种植需满足牙槽骨条件(高度、宽度达标)、无严重全身性疾病(如未控制的糖尿病、心脏病)、口腔卫生良好等要求,对于牙槽骨严重吸收、存在急性感染的患者,需先进行植骨或抗感染治疗,待条件成熟后再考虑即刻种植。
问题2:即刻种植后牙冠什么时候能戴?戴的是临时牙还是永久牙?
解答:牙冠佩戴时间需根据骨结合情况决定:多数患者术后3-6个月待骨结合完成后,可戴永久性全瓷牙冠;若种植体初期稳定性极佳且咬合力较小,部分患者可选择“即刻负重”,即当天佩戴临时树脂牙冠,3-6个月后再更换为永久牙冠,临时牙主要用于美观和过渡,永久牙则需根据口腔模型定制,确保咀嚼功能和长期使用寿命。


