牙齿缺失或损坏后,修复方式的选择直接影响口腔健康、咀嚼功能及美观度,其中全瓷牙和种牙是两种常见的修复方案,但两者的原理、适用范围和特点差异较大,需结合个人口腔情况综合判断,全瓷牙属于牙冠修复范畴,而种牙则是通过外科手术植入种植体,实现牙齿功能的重建,两者从修复基础到最终效果都有本质区别。
全瓷牙的核心原理是将高强度陶瓷材料制成牙冠,通过粘接剂覆盖在经过预备的天然牙体上,恢复牙齿的形态、颜色和功能,它适用于多种牙齿问题:如牙齿大面积缺损(龋齿导致牙冠严重损坏)、牙齿变色(四环素牙、氟斑牙等)、牙体过小(锥形牙)、牙齿隐裂(需要保护防止进一步折裂)以及前牙美学修复(改善牙齿形态、排列等),全瓷牙的优势在于美观度极高,陶瓷的透明度和色泽接近天然牙,且不含金属,不会出现牙龈黑线问题,生物相容性好,不易引发过敏反应,全瓷牙的硬度较高(如氧化锆全瓷牙),耐磨性强,能承受正常咀嚼力,但全瓷牙的缺点也很明显:它需要磨除部分天然牙体(通常为1.5-2mm),对剩余牙体条件有一定要求,若牙齿本身已严重龋坏或牙根脆弱,可能无法承受牙冠负荷;且全瓷牙的寿命受粘接质量和口腔卫生影响,若边缘密合度不佳或继发龋,可能导致牙冠松动或脱落,一般使用寿命在10-15年左右,维护不当则更短。

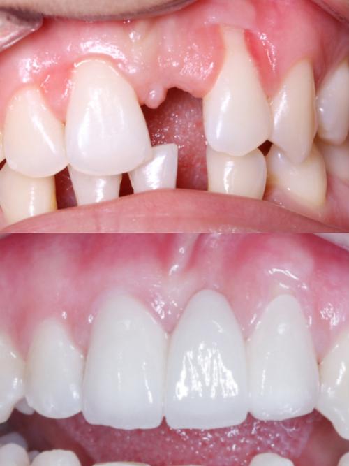
种牙的全称是“种植义齿修复”,是通过外科手术将纯钛或钛合金制成的种植体(类似人工牙根)植入牙槽骨内,待种植体与骨组织结合(骨结合)后,再在上方安装基台和牙冠,从而恢复缺失牙齿的功能和美观,种牙的适用范围更广,尤其适用于单颗、多颗牙齿缺失,或全口/半口牙缺失的情况,只要患者牙槽骨条件允许(骨量充足、无严重骨质疏松等),且无全身性疾病(如未控制的糖尿病、严重心脏病等禁忌手术),即可进行种植,种牙的最大优势是“独立修复”,不损伤邻牙,种植体直接替代牙根,能刺激牙槽骨避免萎缩,维持口腔颌面部的稳定性;且咀嚼效率高,接近天然牙,使用寿命长,若维护得当,种植体可使用终身,牙冠部分(全瓷或烤瓷)也可使用10-20年以上,缺点在于治疗周期长(通常需要3-6个月,包括骨结合时间),费用较高(单颗种植牙总费用可能上万元),且属于有创手术,存在一定风险(如感染、种植体周围炎、骨结合失败等),对患者的身体状况和口腔卫生要求较高。
从修复原理看,全瓷牙是“靠牙吃饭”,依赖天然牙根提供支持,而种牙是“靠骨吃饭”,通过种植体与骨组织结合承担咬合力,两者的适用人群也有明显差异:全瓷牙适合牙齿本身尚存、需要修复外形或保护牙齿的情况;种牙则适合牙齿完全缺失、需要重建牙根的情况,若牙齿仅缺损但牙根健康,优先考虑全瓷牙;若牙齿缺失且牙槽骨条件允许,种牙是更优的长期解决方案,尤其是后牙区,种牙能避免邻牙受力过大而损坏。
在价格方面,全瓷牙的单颗费用通常在3000-10000元不等,根据材料(如玻璃陶瓷、氧化锆)和品牌有所差异;种牙的费用则更高,单颗种植牙总费用通常在10000-30000元,包括种植体、基台和牙冠,其中种植体品牌(如瑞士Straumann、瑞典Nobel等)和是否需要植骨手术会影响最终价格。
维护方面,全瓷牙需避免咬硬物(如坚果、螃蟹壳),防止牙冠崩裂,同时注意口腔清洁,使用牙线或冲牙器清洁牙冠边缘,防止继发龋;种牙则需更严格的口腔卫生维护,种植体周围易堆积菌斑,若清洁不当可能导致种植体周围炎,进而影响骨结合,需定期复查(每年1-2次),使用软毛牙刷、牙线清洁种植体周围,戒烟限酒。

为更直观对比两者的核心差异,可参考下表:
| 对比维度 | 全瓷牙 | 种牙 |
|---|---|---|
| 修复原理 | 覆盖在天然牙体上,依赖天然牙根 | 植入种植体替代牙根,与骨结合 |
| 适用情况 | 牙齿缺损、变色、形态不佳 | 牙齿缺失(单颗/多颗/全口) |
| 磨牙情况 | 需磨除1.5-2mm天然牙体 | 不损伤邻牙,无需磨除天然牙 |
| 治疗周期 | 1-2周(取模、制作、粘接) | 3-6个月(含骨结合时间) |
| 价格范围 | 3000-10000元/颗 | 10000-30000元/颗(含植骨等) |
| 使用寿命 | 10-15年(维护得当) | 种植体终身,牙冠10-20年 |
| 创伤程度 | 微创(牙体预备) | 有创(外科手术) |
| 对邻牙影响 | 可能需磨除邻牙(若做联冠) | 无影响 |
| 适用骨条件 | 不依赖牙槽骨,需天然牙支持 | 需充足牙槽骨,不足需植骨 |
选择全瓷牙还是种牙,需结合牙齿实际情况、牙槽骨条件、经济预算、治疗周期及个人需求综合判断,若牙齿仅缺损但牙根健康,且追求快速修复,全瓷牙是合适选择;若牙齿缺失且希望获得接近天然牙的长期效果,种牙则是更优方案,尤其对年轻患者而言,种牙能避免牙槽骨萎缩,维持口腔健康更持久。
相关问答FAQs
Q1:全瓷牙和种牙能用多久?维护得当的话会坏吗?
A:全瓷牙的使用寿命一般在10-15年,若维护得当(避免咬硬物、定期洁牙、防止继发龋),部分患者可使用20年左右,但粘接剂老化或牙体继发龋可能导致牙冠松动或脱落,种牙的种植体若骨结合成功且维护良好,理论上可终身使用,牙冠部分(全瓷)使用寿命约10-20年,可能因材料磨损或基台松动需要更换,但种植体本身通常不会损坏,无论是全瓷牙还是种牙,定期口腔检查(每年1-2次)和良好口腔卫生(正确刷牙、使用牙线)都是延长使用寿命的关键。
Q2:缺了一颗牙,是做全瓷牙还是种牙更好?
A:若缺牙位置的邻牙健康且牙槽骨条件允许,优先推荐种牙,因为种牙不损伤邻牙,能独立恢复咀嚼功能,且种植体可刺激牙槽骨避免萎缩,是更符合生物力学的长期修复方案,若邻牙本身已有问题(如需要做冠修复),或牙槽骨严重萎缩无法种牙,可选择做全瓷牙桥(即两颗邻牙做基牙,中间放牙冠),但需磨除健康邻牙,且长期可能影响邻牙健康,具体需拍口腔CT检查牙槽骨情况,由医生综合评估后选择。

