种植牙作为修复缺失牙的有效方式,凭借良好的咀嚼功能和美观度,成为越来越多缺牙患者的首选,部分人在种牙后会出现牙龈肿胀的情况,这让不少患者感到焦虑,牙龈肿可能是术后正常反应,也可能是异常信号,需结合具体情况判断和处理。
种牙后1-3天内,牙龈轻微肿胀、疼痛属于正常现象,这是因为手术过程中需切开牙龈、植入种植体,会对局部组织造成创伤,身体启动炎症修复机制,导致毛细血管扩张、通透性增加,出现肿胀,通常伴随轻微疼痛,24-48小时达到高峰,随后逐渐减轻,一般3-5天会自行缓解,此时可通过冰敷(术后24小时内,每次15分钟,间隔1小时)收缩血管,遵医嘱服用消炎止痛药(如布洛芬)缓解症状,注意避免手术区咀嚼硬物,保持口腔清洁,刷牙时避开手术区域。

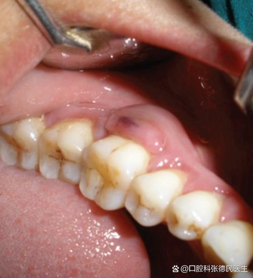
若肿胀持续超过1周、逐渐加重或伴随其他症状,则可能是异常情况,常见原因及处理建议如下:
| 原因分类 | 主要症状 | 处理建议 |
|---|---|---|
| 术后感染 | 肿胀明显、疼痛加剧、牙龈红肿热痛、可能伴脓液或发热 | 需及时就医,医生会清创引流,根据细菌培养结果使用抗生素(如阿莫西林),严重时需拆除部分缝合线 |
| 种植体周围炎 | 牙龈反复肿痛、出血、牙周袋形成(深度≥4mm)、种植体松动、口臭 | 需专业种植体周刮治,清除菌斑和牙结石,配合局部冲洗(如过氧化氢),严重时需手术翻瓣清创,控制炎症 |
| 牙冠刺激 | 局部牙龈肿胀、压迫感,牙冠边缘与牙龈不贴合(过长/过锐) | 医生需调整或重做牙冠,打磨尖锐边缘,恢复牙龈与牙冠的生理形态,消除刺激因素 |
| 异物残留 | 局部持续肿胀、疼痛,牙龈下可能有残留的骨碎片或缝合线 | 医生通过X光定位,手术取出异物,彻底清理创口,预防感染扩散 |
面对种牙后牙龈肿,患者首先需判断是否为正常反应,若肿胀轻微、逐渐减轻,可先观察并加强护理;若出现肿胀加剧、疼痛难忍、流脓、发热或种植体松动,必须立即就医,切勿自行挤压或随意用药,以免加重感染或延误治疗。
为降低牙龈肿的发生风险,术前需进行全面口腔检查,控制牙周炎、糖尿病等基础疾病;术中严格无菌操作,精细缝合,减少组织创伤;术后保持口腔卫生,使用软毛牙刷轻刷手术区,配合漱口水(如氯己定)清洁,避免手术区咀嚼;遵医嘱定期复查,通常术后1周、1个月、3个月需复查,以便医生及时发现并处理问题。
FAQs
Q1:种牙后牙龈肿几天算正常?
A1:种牙后1-3天出现轻微肿胀、疼痛属正常现象,通常3-5天会逐渐缓解,若肿胀持续超过1周,或伴随疼痛加剧、流脓、发热等,则需及时就医,可能是感染或其他异常情况。

Q2:牙龈肿了能自己吃消炎药吗?
A2:不建议自行服用消炎药,虽然消炎药(如抗生素)可缓解感染,但需明确肿胀原因,若为术后正常反应,无需抗生素;若为感染,需医生根据细菌类型选择合适药物,滥用抗生素可能导致耐药或掩盖病情,建议先咨询医生,遵医嘱用药。

