在长三角地区,苏州与无锡作为经济发达、医疗资源丰富的城市,种植牙技术已相当成熟,成为越来越多缺牙患者修复功能与美观的首选,种植牙被誉为“人类的第三副牙齿”,通过外科手术将人工牙根(种植体)植入牙槽骨,再安装牙冠,不仅能恢复咀嚼功能,还能避免邻牙受损,维持面部轮廓,以下从核心优势、选择要点、价格构成、流程周期及术后护理等方面,详细解析苏州无锡地区的种牙相关内容。
苏州无锡种牙的核心优势
两地口腔医疗行业依托良好的经济基础和医疗资源,具备以下显著优势:一是技术先进,数字化种植(如3D导板导航、即刻种植、微创种植)普及率高,能精准把控种植位置、角度和深度,提升手术安全性;二是医生资源丰富,既有公立三甲医院口腔科资深专家,也有连锁口腔机构的专职种植医生,多数医生具备硕士以上学历及海外进修经历;三是服务体验优化,私立机构多提供“一对一”咨询、预约制就诊、术后回访等,公立医院则凭借权威性吸引对技术要求极高的患者。

选择种牙医院的关键因素
在苏州无锡,种牙医院主要分为公立医院和私立口腔机构两类,选择时可从以下维度考量:
- 资质与认证:确认机构是否具备《医疗机构执业许可证》,医生是否有《医师执业证书》及种植牙专项培训认证(如ITI、ICOI等国际种植学会认证)。
- 设备与技术:是否配备CBCT(锥形束CT)、口内扫描仪、数字化种植导板等设备,直接影响手术精度和效果。
- 案例与口碑:可通过医院官网、第三方平台查看真实案例,或参考身边患者的反馈,重点关注复杂病例(如骨量不足、全口种植)的解决能力。
- 服务与售后:私立机构通常服务更细致,但需警惕过度营销;公立医院价格透明但预约周期长,可根据自身需求权衡。
种牙价格构成与参考范围
种牙费用主要由种植体、牙冠、手术费及检查费组成,具体受品牌、材料、医院等级等因素影响,以下为苏州无锡地区主流种植体的大致价格(单颗,单位:元):
| 种植体品牌 | 类型 | 参考价格(单颗) | 特点 |
|---|---|---|---|
| 韩国登腾/奥齿泰 | 经济型 | 5000-8000 | 性价比高,临床应用广泛 |
| 美国3i/德国ICX | 中端型 | 10000-15000 | 稳定性好,适合骨量一般患者 |
| 瑞士士卓曼/瑞典诺贝尔 | 高端型 | 20000-35000 | 技术领先,适合骨量不足或即刻种植 |
| 国产威高/百康特 | 国产品牌 | 4000-7000 | 价格亲民,质量逐步提升 |
牙冠部分,全瓷牙冠(如爱尔创、威兰德)价格约1500-5000元/颗,金属烤瓷牙冠约800-2000元/颗,CBCT检查约200-500元,麻醉费、术后药品费等约500-1000元,总体而言,苏州无锡单颗种植牙总费用范围约6000-40000元,全口种植(All-on-4等技术)费用约8万-20万元。
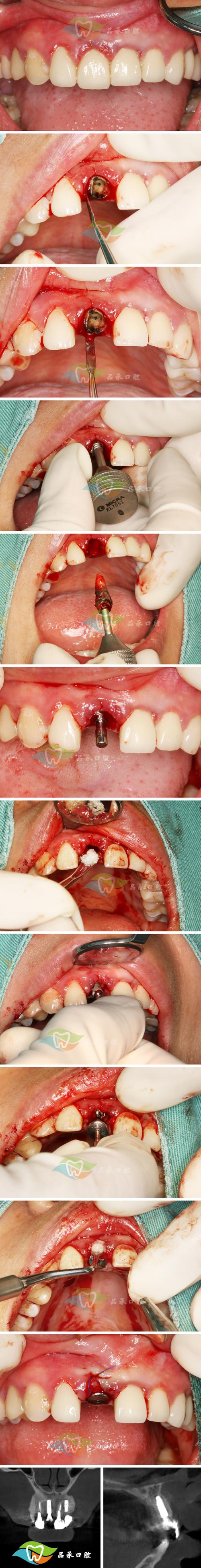
种牙流程与周期
- 术前检查:进行口腔检查、CBCT拍摄、血常规等,评估牙槽骨密度、厚度及全身健康状况,判断是否适合种植(如有糖尿病、骨质疏松需先控制病情)。
- 方案设计:根据检查结果,医生制定种植方案,确定种植体型号、手术方式(是否植骨、即刻种植等)。
- 手术植入:局部麻醉下,将种植体植入牙槽骨,手术时间约30分钟-1小时/颗,微创手术创伤小、恢复快。
- 骨愈合期:种植体与牙槽骨结合(骨结合),通常需3-6个月,骨量不足者需先植骨,愈合期延长至6-9个月。
- 基台安装与戴冠:骨结合完成后,安装基台并取模,制作牙冠,约1-2周后佩戴完成,恢复正常咀嚼功能。
整个周期从检查到戴冠,顺利情况下需4-8个月,具体视个人骨愈合情况而定。

术后护理与维护
种植牙成功与否,术后护理至关重要:
- 饮食:术后1周内食用温凉、软食,避免过硬、辛辣食物,避免用种植牙咀嚼硬物(如坚果、螃蟹壳)。
- 口腔卫生:每天早晚刷牙,使用牙线、冲牙器清洁邻面,种植牙周围需重点清洁,预防种植体周围炎。
- 定期复查:术后1周、1个月、3个月复查,之后每年至少1次,检查种植体稳定性及周围软组织健康。
相关问答FAQs
Q1:种牙会很疼吗?术后恢复需要多久?
A:种植牙手术在局部麻醉下进行,术中基本无疼痛感,术后24小时内可能有轻微肿胀、疼痛,遵医嘱服用消炎止痛药(如布洛芬)可缓解;术后3-5天肿胀逐渐消退,1周内恢复正常生活,完全恢复咀嚼功能需骨结合完成后(约3-6个月)。
Q2:骨量不足可以种牙吗?需要植骨吗?
A:牙槽骨骨量不足(如牙齿缺失后长期未修复、牙槽骨萎缩)可通过植骨、骨增量技术解决,如引导骨再生术(GBR)、上颌窦提升术等,植骨会增加手术时间和费用(植骨费用约3000-8000元/部位),但能有效保证种植体稳定性,适合多数骨量不足患者。

