牙齿矫正不仅是改善笑容美观的方式,更是维护口腔健康的重要手段,通过排列整齐的牙齿能降低清洁难度,减少龋齿、牙周病风险,同时改善咬合功能,避免颞下颌关节紊乱等问题,在东莞虎门,随着居民对口腔健康意识的提升,牙齿矫正需求逐年增长,当地医疗资源也在不断优化,为不同年龄段的患者提供多样化的矫正方案。
东莞虎门的牙齿矫正服务已形成覆盖公立医院与私立机构的完善体系,其中既有具备公立医院背景的专业口腔科,也有专注于数字化矫正的连锁口腔诊所,能够满足基础矫正与复杂病例的不同需求,当地医生团队普遍具备扎实的正畸专业背景,部分医生拥有三甲医院进修经历或海外留学背景,在青少年早期干预、成人隐形矫正、骨性畸形矫正等领域积累了丰富经验,随着数字化技术的发展,虎门地区的口腔机构已普遍引入口内扫描仪、CBCT、3D打印设备等,可实现精准的方案设计与矫治过程监控,提升矫正效率与舒适度。

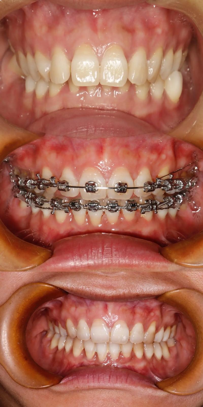
牙齿矫正方式的选择需根据患者的口腔状况、年龄、美观需求及经济预算综合决定,目前虎门主流的矫正方式包括传统金属托槽矫正、陶瓷半隐形矫正、自锁托槽矫正、隐形矫正及舌侧矫正等,各类方式的特点与适用人群如下表所示:
| 矫正方式 | 优点 | 缺点 | 参考价格(元) | 适用人群 |
|---|---|---|---|---|
| 传统金属托槽 | 价格经济、技术成熟、适用范围广 | 美观度差、舒适度较低、易刮嘴 | 8000-15000 | 青少年、预算有限者 |
| 陶瓷半隐形矫正 | 托槽与牙齿颜色接近、美观度提升 | 材质脆性较高、部分病例适用性受限 | 15000-25000 | 对美观有要求、青少年及成人 |
| 自锁托槽矫正 | 复诊间隔延长、矫正时间缩短、摩擦力小 | 价格较高、初期适应期可能有不适感 | 18000-28000 | 时间紧张、追求高效矫正者 |
| 隐形矫正 | 完全透明、可自行摘戴、舒适度高 | 价格昂贵、需患者高度配合、复杂病例受限 | 25000-50000 | 成人、对美观要求极高者 |
| 舌侧矫正 | 完全隐藏于牙齿内侧、美观度最佳 | 价格极高、适应期长、清洁难度大 | 50000-80000 | 对美观有极致要求、经济条件优越者 |
选择矫正机构时,需重点关注资质与医生经验,东莞虎门的正规口腔机构均具备《医疗机构执业许可证》,医生团队需持有执业医师资格证及正畸专业进修证明,建议患者优先选择成立时间较长、拥有独立正畸科室的机构,可通过查看医生过往案例、了解患者评价等方式评估其技术风格与治疗效果,数字化服务能力也是重要考量因素,如是否提供3D方案模拟、远程复诊等增值服务,可提升矫正体验的便捷性与透明度。
费用方面,东莞虎门牙齿矫正的价格因矫正方式、病例复杂度、机构等级差异较大,基础病例的金属托槽矫正约8000元起,隐形矫正则普遍在25000元以上,部分高端品牌如隐适美、时代天使的复杂病例可能超过4万元,值得注意的是,部分机构会提供分期付款服务,或与保险公司合作推出齿科保险,可减轻患者经济压力,成人矫正因涉及骨改建等问题,通常难度高于青少年,费用也可能相应上浮。
术后护理是保证矫正效果的关键环节,佩戴固定托槽的患者需避免食用过硬、黏性食物(如坚果、口香糖),防止托槽脱落;隐形矫正者需每日佩戴20小时以上,摘戴时注意清洁牙套与牙齿表面,无论何种方式,矫正期间均需加强口腔卫生,使用正畸专用牙刷、牙缝刷、冲牙器等工具,减少菌斑堆积,需严格遵循医嘱定期复诊,通常每4-6周调整一次力度,医生会通过检查牙齿移动情况优化方案,确保矫正进度与预期一致。

相关问答FAQs
Q1:牙齿矫正过程中会疼吗?如何缓解不适?
A:矫正初期(如安装托槽后1周、每次加力后2-3天)可能会出现轻微酸胀感,属于牙齿移动的正常生理反应,通常在可耐受范围内,可通过温盐水漱口、食用软质食物(如粥、面条)、避免咀嚼过硬食物缓解;若疼痛持续加重或出现溃疡,可使用正畸蜡覆盖托槽尖锐部位,并及时联系医生调整,随着时间推移,口腔会逐渐适应,不适感会明显减轻。
Q2:成年后矫正牙齿会有年龄限制吗?效果会比青少年差吗?
A:牙齿矫正没有严格的年龄限制,只要牙周健康(无严重牙龈萎缩、牙槽骨吸收),成年后均可矫正,但与青少年相比,成人矫正的难点在于:部分患者可能存在牙周病、牙齿磨耗、骨性畸形等问题,需先进行牙周治疗或联合正颌手术,在牙齿移动效率上,成人骨改建速度较慢,矫正时间可能比青少年延长3-6个月,但最终效果与青少年相当,只要方案设计合理、配合良好,同样能达到理想的排列与咬合功能。
