正畸治疗中,弹簧作为一种核心的机械力施加装置,通过其形变产生的持续力或间歇力,引导牙齿在牙槽骨内进行生理性移动,从而达到排列整齐、调整咬合、改善面型的目的,在众多弹簧类型中,“单侧受力”的弹簧因其独特的力学特性和精准控制能力,在复杂病例中发挥着不可替代的作用,本文将围绕正畸弹簧的单侧受力展开详细阐述,从其力学原理、临床应用、优势风险及操作要点等方面进行系统分析。
正畸弹簧单侧受力的力学原理与特性
正畸弹簧的单侧受力,指弹簧仅作用于牙齿的单一侧面(如唇侧、舌侧、近中或远中),通过不对称的力分布,使牙齿产生特定的移动模式,如倾斜移动、旋转移动或转矩控制,与双侧受力(如传统弓丝连续结扎产生的对称力)相比,单侧受力的核心在于“力的方向与作用点的高度集中”,从而实现对牙齿三维位置的精准调控。

力的传递与牙齿移动类型
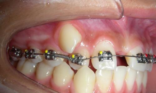
牙齿在受力后,其移动类型取决于力的大小、方向及作用点,单侧受力时,弹簧施加的力可分解为垂直于牙齿长轴的侧向力和沿牙齿长轴的轴向力,当在上颌尖牙的远中放置镍钛螺旋弹簧,向远中施加持续力时,力作用于尖牙的远中接触点,此时尖牙会产生远中倾斜移动(冠远中倾斜、根近中倾斜),同时伴随轻微的旋转;若在尖牙舌侧附加抗旋转装置,则可抑制旋转,实现“倾斜移动+转矩控制”的复合效果。
单侧受力的力学特点
- 力值衰减与可控性:单侧受力的弹簧(如镍钛螺旋弹簧、不锈钢丝弹簧)可通过调整弹簧的初始形变量(如压缩/拉伸距离)和直径,精确控制力值范围(通常为50-300g),镍钛弹簧因其超弹性特性,在形变范围内能维持相对恒定的力值,减少因力值衰减导致的移动失控;不锈钢弹簧则可通过弯制调整力值大小,适合需要阶段性力值调整的病例。
- 作用点与移动效率:单侧受力的作用点远离牙齿阻力中心(通常位于牙根中1/3处),因此更容易产生倾斜或旋转移动,纠正下颌第二磨牙近中倾斜时,在远中放置弹簧施加远中向力,作用点位于磨牙远中面,可高效纠正倾斜,若采用双侧对称力,则需更大的力值才能达到相同效果。
单侧受力与双侧受力的力学对比
为更直观理解单侧受力的特性,以下通过表格对比其与双侧受力的核心差异:
| 对比维度 | 单侧受力 | 双侧受力 |
|---|---|---|
| 力分布 | 作用于牙齿单一侧面,力分布不对称 | 作用于牙齿两侧(如唇舌侧或近远中),力分布对称 |
| 主要移动类型 | 倾斜移动、旋转移动、转矩控制 | 整体移动、垂直移动(如压低、伸长) |
| 力值要求 | 相同移动效果下,所需力值通常更小(作用点集中) | 需更大力值以克服两侧阻力,易导致支抗丧失 |
| 临床适应证 | 扭转纠正、间隙关闭的倾斜控制、中线偏移调整 | 牙齿整体移动、牙弓扩展、咬合打开 |
| 支抗要求 | 对支抗牙要求较低(单侧力易被支抗牙抵抗) | 需强支抗(如种植钉、支抗牙)以对抗对称力 |
正畸弹簧单侧受力的临床应用场景
单侧受力的弹簧因其精准控制能力,在正畸治疗的多个环节中具有独特优势,尤其适用于复杂病例的精细调整。
扭转牙的纠正
扭转牙是正畸常见问题,传统双侧力(如方丝弓转矩)纠正效率低,易复发,单侧受力可通过“点接触”施加扭力,例如对于上颌侧切牙舌侧扭转,可在牙齿唇侧近中弯制“T型曲”弹簧,通过弹簧的弹力使牙齿绕长轴旋转,同时配合舌侧扣增强抗旋转能力,通常3-6个月可完成纠正,且稳定性更高。

间隙关闭的倾斜控制
在拔牙病例中,关闭拔牙间隙时,若采用连续弓丝滑动法,前牙易发生冠近中倾斜(“钟摆效应”),影响咬合关系,此时可在尖牙远中放置单侧镍钛螺旋弹簧,向远中施加轻力(约100-150g),同时在前牙区加入“停止曲”或“摇椅曲”,抑制前牙倾斜,引导尖牙整体远中移动,确保间隙关闭后前牙转矩正常。
中线偏移的调整
单侧中线偏移(如下颌中线偏斜)多因一侧后牙早接触或前牙缺失导致,通过在偏移侧牙齿的远中或近中放置单侧弹簧,施加定向移动力,例如纠正下颌中线偏斜时,可在偏移侧(如左侧)下颌第一磨牙近中放置弹簧,向近中移动磨牙,同时配合对侧支抗牙(如种植钉)抵抗,逐步调整中线至正常位置。
转矩控制的辅助应用
转矩控制是正畸治疗中的难点,尤其对于前牙转矩不足(如“龇牙”)或后牙转矩异常(如上颌磨牙近中倾斜),单侧受力可通过“间接转矩”实现,例如在上颌尖牙唇侧弯制“转矩辅簧”,通过弹簧的弹力在尖牙牙根施加舌向转矩,同时配合弓丝的“根舌向转矩”,增强前牙的稳定性,避免治疗后复发。
单侧受力的优势与潜在风险
核心优势
- 精准控制:单侧受力可实现牙齿在倾斜、旋转、转矩等单一维度或多维度的精准移动,避免双侧力导致的“非计划性移动”(如前牙伸长、后牙压低)。
- 效率提升:作用点集中,力值传递效率高,缩短治疗时间(如扭转纠正时间可缩短30%-50%)。
- 支抗保护:单侧力对支抗牙的负担小于双侧对称力,尤其适用于支抗条件有限的病例(如成人患者、牙周病患者)。
潜在风险与应对
- 牙根吸收:单侧受力若力值过大(>300g)或作用点过于靠近牙冠,可能导致牙根尖部受力集中,引发牙根吸收,需通过定期根尖片监测,力值控制在“轻力范围”(100-200g)。
- 牙周组织损伤:长期单侧受力可能导致牙槽骨改建不均衡,如牙齿倾斜移动时,压力侧牙槽骨吸收,张力侧增生过度,需配合“间歇力”(如每月调整1次弹簧),避免持续过大压力。
- 支抗丧失:若支抗设计不足,单侧力易导致支抗牙移动(如后牙近中移动影响磨牙关系),需联合种植支抗(如微种植钉)或颌内支抗(如利用后牙群作为支抗)。
临床操作要点与注意事项
- 弹簧选择与设计:根据牙齿移动类型选择弹簧材料,镍钛弹簧适合持续轻力(如间隙关闭),不锈钢丝弹簧适合阶段性力值调整(如转矩控制),弹簧的长度应确保形变后不与周围组织接触(如避免压迫牙龈)。
- 力值控制:遵循“轻力原则”,初始力值控制在100-150g,通过测力计或临床经验(如弹簧形变量为原长1/3)判断,避免“暴力加力”。
- 支抗设计:单侧受力前需评估支抗条件,对支抗不足的病例(如深覆合患者),需先加强支抗(如植入种植钉、戴用矫治器)。
- 患者沟通与定期复诊:告知患者单侧受力的可能不适(如牙齿酸痛、咬合变化),要求每4-6周复诊一次,检查弹簧力值、牙齿移动情况及牙周健康,及时调整弹簧。
相关问答FAQs
Q1:单侧受力的弹簧是否会导致牙齿松动?如何避免?
A:单侧受力本身不会直接导致牙齿永久性松动,但若力值过大或作用时间过长,可能引起牙齿暂时性松动(因牙槽骨改建过程中的“破骨细胞”激活),避免方法包括:①严格遵循轻力原则(力值≤200g);②控制弹簧作用时间,每1-2个月调整一次;③定期拍摄根尖片和牙周片,监测牙根吸收和牙槽骨状况,若出现松动加剧,立即暂停加力并调整方案。

Q2:如何判断单侧受力的弹簧力值是否合适?
A:判断力值是否合适需结合临床指标和患者感受:①临床检查:牙齿无明显疼痛、无牙龈红肿,牙齿移动方向符合预期(如尖牙远中移动时,冠部无近中倾斜);②患者感受:加力后1-3天内有轻微酸胀感,1周内逐渐缓解,若持续疼痛或咬合困难,提示力值过大;③辅助工具:使用正畸测力计测量弹簧的实际力值,或通过影像学(如CBCT)观察牙根与牙槽骨的关系,确保压力侧牙槽骨无过度吸收。
