正畸横腭杆在口腔正畸治疗中是一种常用的辅助装置,根据其结构特点、临床应用场景及专业术语习惯,有多种不同的名称,最常被提及的包括“横腭杆装置”“腭杆”“横腭弓”以及英文全称“transpalatal bar”(简称TPB),这些名称在临床文献、医生沟通及患者教育中均有使用,核心均指代连接上颌两侧磨牙腭侧的固定性正畸辅助结构,其主要功能是通过机械力学原理稳定牙弓、控制牙齿移动,为复杂矫治提供支持。
横腭杆的结构与组成
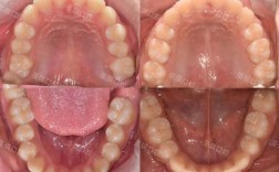
横腭杆的主体通常由直径0.9-1.2mm的不锈钢丝弯制而成,呈“U”形或弧形,两端通过焊接或直接插入预先粘固于上颌第一磨牙(有时包括第二磨牙)带环的舌侧管中,从而实现与两侧磨牙的刚性连接,其结构虽看似简单,但需根据患者的腭部形态、牙弓宽度及治疗目标进行个性化定制,以确保与口腔软组织贴合,避免压迫腭部黏膜,同时发挥有效的力学传导作用,以下是横腭杆主要结构组成的详细说明(见表1)。

表1 横腭杆结构组成及特点
| 部件 | 材料规格 | 功能 | 注意事项 |
|----------------|-----------------------------|--------------------------------------------------------------------------|-----------------------------------------------------------------------------|
| 主体连接杆 | 0.9-1.2mm不锈钢丝 | 连接两侧磨牙,传递并分散矫治力,维持牙弓宽度稳定性 | 长度需精确测量,过长压迫腭黏膜,过短则无法有效连接;弯制弧度需与腭部曲线贴合 |
| 磨牙固位部分 | 不锈钢带环(焊接舌侧管) | 与磨牙牙体固位,提供装置的支抗基础 | 舌侧管需位于牙冠中心,避免倾斜;带环粘固需密合,防止装置松动 |
| 辅助调整装置 | (部分设计含)螺旋弹簧或锁扣 | 用于动态调整牙弓宽度(如扩弓或缩弓),或增强对磨牙位置的控制力 | 需医生定期调整,避免力量过大导致牙齿或牙周损伤 |
横腭杆的临床作用与原理
横腭杆的核心价值在于其“稳定支抗”与“控制性移动”的双重作用,具体可通过生物力学原理实现:
- 增强支抗:在拔牙矫治(如上颌前突、牙列拥挤)中,通过连接两侧磨牙,形成“整体支抗”,防止磨牙在关闭间隙等过程中发生近中倾斜或移位,为前牙移动提供稳定支持。
- 纠正磨牙扭转:对于上颌磨牙(尤其是第二磨牙)的颊舌向扭转,横腭杆可施加持续、轻柔的扭转力,配合其他矫治器(如方丝弓)使牙齿旋转至正常位置。
- 维持牙弓宽度:在扩弓治疗后(如使用螺旋扩弓器),横腭杆可作为“保持装置”,防止牙弓宽度复发;对于牙弓过宽的患者,则可通过其刚性连接限制磨牙外移,维持牙弓形态。
- 辅助复杂病例矫治:在骨性畸形(如上颌发育不足)的掩饰性治疗中,横腭杆可与颌内牵引或颌间牵引配合,控制磨牙垂直向位置,为代偿性矫治提供条件。
横腭杆的适应症与使用注意事项
横腭杆并非适用于所有正畸患者,其使用需严格把控适应症,并在治疗中关注细节问题:
- 主要适应症:上颌磨牙支抗不足或需增强者;上颌磨牙颊舌向扭转;牙弓宽度异常(过宽需维持、过窄需辅助稳定);正畸治疗后磨牙位置的长期保持。
- 使用注意事项:
- 口腔卫生维护:横腭杆位于腭部,易积累食物残渣,患者需使用牙缝刷、冲牙器等工具清洁,避免牙龈炎、龋齿等并发症;
- 定期复诊调整:医生需每4-6周检查装置稳固性、牙齿移动情况及软组织反应,必要时调整力量或弯制形态;
- 不适症状处理:初戴时可能出现腭部黏膜压痛,可 ortho wax 保护;若出现装置松动、脱落或剧烈疼痛,需立即复诊处理。
相关问答FAQs
Q1:正畸横腭杆和“腭弓”有什么区别?
A:横腭杆(TPB)与“腭弓”均属于上颌正畸辅助装置,但结构和应用场景不同,横腭杆为“U”形刚性连接,主要连接两侧磨牙,强调稳定性,常用于支抗增强和磨牙控制;而腭弓多指“Nance弓”或“扩弓弓”,前者通过腭基托连接磨牙与腭前部,用于增强支抗并限制磨牙前移,后者(如W扩弓弓)呈“W”形,常用于主动扩弓,横腭杆侧重“连接稳定”,腭弓侧重“支抗扩展或限制”。

Q2:戴横腭杆会影响说话或吃饭吗?
A:初戴横腭杆的1-2周内,部分患者可能出现轻微发音含糊(如卷舌音、腭音)或进食稍慢,因口腔内新增装置需时间适应,此时可通过放慢说话速度、细嚼慢咽缓解,通常适应后不影响正常交流与饮食,但需注意避免食用过硬、黏性食物(如坚果、年糕),防止装置变形或脱落,若长期存在明显发音障碍或咀嚼疼痛,需及时就医调整装置形态。
