正畸治疗中,牵引钩是辅助牙齿移动的重要装置,通常焊接在弓丝上,用于挂载橡皮圈、螺旋弹簧等矫治力装置,而橡皮圈则负责传递持续的轻力,引导牙齿向目标位置移动,若患者未按要求佩戴牵引钩上的橡皮圈,看似是“小事”,实则可能对治疗效果、口腔健康乃至治疗周期产生多方面影响。
正畸牵引钩与橡皮圈的作用机制
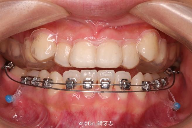
正畸牵引钩多位于后牙区(如第一磨牙带环上)或前牙区的弓丝上,其设计目的是为牵引力提供“固定点”,橡皮圈(通常分为不同颜色和尺寸,如1/4英寸、3/16英寸,对应不同力值)通过挂钩一端连接牵引钩,另一端连接另一颗牙齿的牵引钩或牙面附件(如托槽、舌侧扣),形成“力-反作用力”系统,关闭拔牙后的间隙、纠正牙齿扭转、调整咬合关系(如Ⅱ类或Ⅲ类牵引)等,橡皮圈的特性是“持续轻力”,理想状态下需24小时佩戴,每3-4小时更换一次(避免唾液导致弹力衰减),以保证牙齿移动的稳定性。

未带橡皮圈的潜在影响
对牙齿移动的干扰:力值中断与方向偏移
牙齿移动依赖持续、稳定的力值,若未佩戴橡皮圈,牵引钩处的作用力瞬间消失,已产生移动的牙齿可能因周围肌肉、牙周组织的反弹力而出现“回移”,关闭拔牙间隙时,若白天未戴橡皮圈,夜间牙齿可能回退0.1-0.2mm,导致实际移动效率降低50%以上;对于需要精细调整的牙齿(如扭转牙、倾斜牙),力值中断还可能引发移动方向偏移,后期需额外增加牵引时间或调整方案,甚至可能通过“二次矫正”纠正偏差。
对治疗效果的削弱:目标达成延迟或失败
正畸治疗的目标是功能与美观的统一,而橡皮圈牵引是实现这一目标的关键步骤,以“Ⅱ类牵引”(纠正上牙前突)为例,若患者未按时佩戴,上颌前牙的舌向移动和下颌后牙的远中移动会停滞,上下颌咬合关系无法建立,可能导致面型改善效果不佳;对于“开颌”“深覆颌”等复杂病例,未佩戴橡皮圈还可能加重咬合异常,甚至出现“开颌复发”(原本已改善的开颌再次出现),临床数据显示,未规律佩戴橡皮圈的患者,治疗周期可能延长3-6个月,严重时需重新制定方案。
对口腔健康的威胁:清洁难度增加与并发症风险
未佩戴橡皮圈时,牵引钩周围易堆积食物残渣,尤其是牙龈缘与牵引钩的间隙,成为细菌滋生的“温床”,若患者清洁不到位,可能引发牙龈炎(牙龈红肿、出血)、牙周炎(牙槽骨吸收、牙齿松动),甚至导致“牙龈增生”(牙龈组织过度生长),覆盖部分牙齿,影响后续粘接托槽或调整弓丝,橡皮圈断裂或误吞(未及时更换导致老化断裂)可能卡在咽喉部,引发呛咳或不适,虽少见但需警惕。
对医患信任的影响:治疗信心下降与沟通成本增加
正畸治疗需医患密切配合,若患者频繁未佩戴橡皮圈,医生需通过复诊评估影响、调整方案,不仅增加复诊次数(从常规4-6周一次缩短至2-3周一次),还可能因治疗效果不达预期导致患者对医生产生质疑,甚至放弃治疗,部分患者因“觉得麻烦”“忘记佩戴”等原因隐瞒未戴橡皮圈的情况,进一步影响医生对治疗进程的判断,形成恶性循环。

未带橡皮圈的常见原因与解决措施
常见原因分析
- 认知不足:患者不清楚橡皮圈的重要性,认为“可戴可不戴”;
- 操作困难:老年人、手部灵活度差者难以将橡皮圈挂到牵引钩上;
- 遗忘或疏忽:学习、工作繁忙忘记佩戴,或外出吃饭时临时取下后忘记戴回;
- 橡皮圈问题:橡皮圈断裂、丢失(如宠物误食、儿童玩耍时拿走);
- 不适感:佩戴后出现疼痛、说话不清、影响进食,自行摘除。
解决与预防措施(可通过表格清晰呈现)
| 措施类型 | |
|---|---|
| 医生宣教 | 初诊时详细说明橡皮圈的作用、佩戴时间(如“每天22小时,吃饭时取下,饭后立即戴回”)、更换频率(每3-4小时或感觉力值减弱时); 示范正确佩戴方法(用拇指和食指捏住橡皮圈中部,拉伸至牵引钩,避免拉扯过猛导致断裂); 提供书面“佩戴指南”(图文标注注意事项,如“避免用热水浸泡橡皮圈”)。 |
| 患者配合 | 设置手机闹钟提醒(如每2小时提醒一次“检查橡皮圈”); 备用橡皮圈(随身携带小包装,避免丢失后无法及时更换); 使用辅助工具(如“正畸牵引钩辅助器”,帮助手指灵活度差者挂橡皮圈)。 |
| 日常管理 | 清洁:每次饭后用正畸牙刷+水线清洁牵引钩周围,避免食物残渣堆积; 饮食:避免过硬(坚果、牛肉干)、过黏(口香糖、软糖)食物,防止橡皮圈断裂或牵引钩脱落; 复诊:每次复诊时主动告知医生“是否按时佩戴”,医生可通过牙齿移动情况判断依从性。 |
若已未带橡皮圈,如何补救?
若发现未佩戴橡皮圈,需根据“未佩戴时间”和“复诊时间”判断:
- 未佩戴<24小时:立即补戴橡皮圈,多数情况下对治疗效果影响较小;
- 未佩戴>24小时:尽快联系医生,说明情况(如“出差3天未戴”),医生可能通过“加强牵引”(如增加橡皮圈数量或更换高力值橡皮圈)弥补,或调整下次复诊时间;
- 复诊前发现牙齿移位/疼痛:需立即复诊,医生可能通过调整弓丝、增加支抗钉等方式纠正偏差,避免问题加重。
相关问答FAQs
Q1:正畸牵引钩的橡皮圈需要每天更换吗?可以重复使用吗?
A1:是的,橡皮圈需要每天更换(至少1-2次),因为橡皮圈在口腔内受唾液、食物影响会“老化”(弹力衰减),佩戴超过12小时后,力值可能下降30%-50%,无法有效移动牙齿,重复使用(如“白天戴,晚上取下第二天继续”)会导致力值不稳定,甚至引起牙齿“来回移动”,影响矫正效率,建议每次更换新橡皮圈,并从医生处获取正规产品(避免网购劣质橡皮圈,力值不达标)。
Q2:橡皮圈不小心吞咽了怎么办?会有危险吗?
A2:无需过度恐慌,正畸橡皮圈通常由医用级高分子材料制成,无毒、无刺激性,即使吞咽也会通过胃肠道随粪便排出(一般1-3天内),但需注意:若吞咽后出现呛咳、呼吸困难、腹痛等异常症状,可能是橡皮卡在消化道,需立即就医;若橡皮圈误入气管(罕见),可能引发窒息,需立即拨打急救电话,为避免此类情况,建议更换橡皮圈时在镜子前操作,或让家人协助,避免说话、大笑时橡皮圈脱落。

