国外种牙的价格是否昂贵,需结合不同国家、地区、材料选择及服务综合判断,整体来看,欧美等发达国家种牙成本显著高于国内,而东南亚、东欧等医疗旅游热门地则可能更具性价比,但具体费用受多重因素影响,需详细分析。
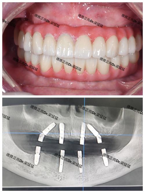
种牙的核心成本包括种植体、牙冠、手术费及术后维护,其中种植体品牌和医生资质是主要差异点,以欧美地区为例,美国、德国、瑞士等国的种牙费用普遍较高,单颗种植体(含手术和牙冠)价格通常在1.5万-3万元人民币,这与其医疗体系、人力成本及材料标准直接相关:欧美医生需经过长期专业培训,手术费用占比高;欧美一线品牌种植体(如瑞典诺贝尔、瑞士士卓曼)因技术成熟、临床数据丰富,价格比国产品牌贵30%-50%,欧美诊所普遍采用数字化导板技术、即刻种植等先进方案,进一步推高总价,但术后质保体系完善,长期使用风险较低。

日韩地区种牙价格介于欧美和国内之间,单颗费用约8000-1.5万元人民币,韩国种植体(如奥齿泰、登腾)因性价比高、适应亚洲牙槽骨条件,在当地普及率广,且韩国诊所注重服务细节,如提供多语言服务、术后定期回访,对医疗旅游者较友好,日本则因医疗规范严格,种植体和牙冠多采用进口高端材料,价格略高于韩国,但整体仍低于欧美。
东南亚(如泰国、马来西亚)和东欧(如匈牙利、波兰)是医疗旅游热门地,种牙价格优势显著,单颗费用约3000-8000元人民币,甚至低于国内一线城市,泰国曼谷的知名诊所采用欧美品牌种植体(如士卓曼),但人力和运营成本较低,价格仅为欧美的1/3-1/2,需注意隐性成本:跨国交通、住宿、翻译及可能的复查费用需额外预算,且部分诊所可能通过“低价引流”后期加收植骨、骨粉等费用,需提前确认报价明细。
除地区差异外,材料选择直接影响价格:全瓷牙冠比烤瓷牙贵2000-5000元,钛合金种植体则比陶瓷种植体便宜30%左右;若患者牙槽骨条件差,需植骨或上颌窦提升,费用将增加5000-1.5万元,不同诊所的定价策略也影响最终支出:私立高端诊所环境和服务更优,价格比公立医院高20%-40%。
综合来看,国外种牙并非“绝对贵”,而是“选择性多”:欧美适合追求顶级技术和长期保障的人群,预算充足;东南亚、东欧则适合预算有限、能接受医疗旅游的人群,但需谨慎选择正规机构,避免因低价牺牲质量,建议在决策前,通过国际医疗平台查询诊所资质、医生案例,并确认报价是否包含所有必要项目,同时评估术后维护的便利性,确保性价比与安全性兼顾。

相关问答FAQs
Q1:国外种牙比国内便宜多少?具体差在哪里?
A:东南亚、东欧等地种牙价格可能比国内低30%-50%,欧美则高50%-100%,差价主要来自人力成本(欧美医生时薪是国内2-3倍)、材料溢价(欧美一线品牌种植体价格更高)及诊所运营费用,国内价格相对透明,且医保虽不报销种植体费用,但部分项目(如检查、植骨)可按比例报销,整体性价比逐渐提升。
Q2:国外种牙如何避免“低价陷阱”?
A:需确认三点:一是诊所资质,选择有国际认证(如JCI)或当地政府许可的机构;二是报价明细,要求书面说明是否包含种植体、牙冠、手术、麻醉、复查及术后质保;三是医生经验,要求提供其种植案例数量(建议500例以上)及对应语言的术前沟通服务,避免选择远低于市场均价的诊所,警惕“低价+后期加费”套路。

