种完牙10天通常处于术后恢复的关键中期阶段,此时种植体与牙槽骨开始初步的骨结合,牙龈伤口也基本愈合,但仍处于相对脆弱的状态,需要细致的护理和密切的自我观察,这一阶段的护理质量直接影响种植体的稳定性和最终修复效果,因此了解相关注意事项、应对方法及恢复规律至关重要。
种牙10天的恢复状态与核心护理重点
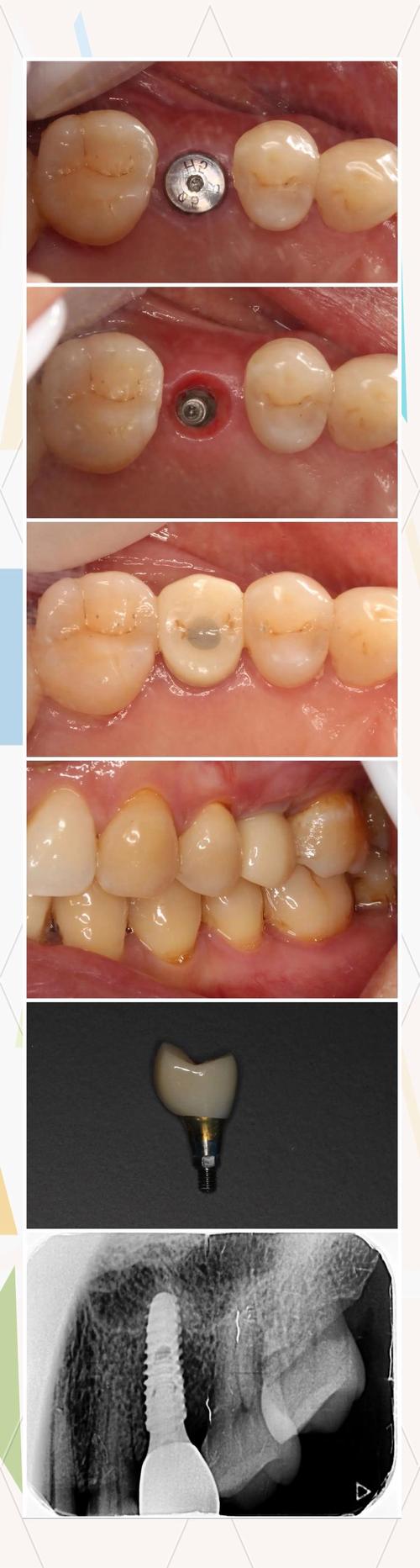
种植手术后的10天,牙槽骨内的种植体表面开始形成薄薄的骨组织,与种植体建立初步的“微锚定”,而牙龈组织则完成了从血肿机化到上皮细胞再生的过程,表面伤口通常已愈合,但深层组织的修复仍在持续,患者可能仍存在轻微的异物感、肿胀或麻木感(若涉及神经),多数不适感应在术后1-2周内逐渐缓解。

这一阶段的核心护理目标是:避免种植体受力过大、预防感染、促进牙龈形态自然愈合,任何不当的护理行为,如过早用种植牙咀嚼、用力漱口或忽视口腔清洁,都可能导致种植体松动、牙龈炎或感染,进而影响骨结合进程。
日常护理的详细指导
口腔清洁:既要彻底又要轻柔
术后10天,牙龈伤口虽已愈合,但种植体周围的牙龈仍较敏感,清洁时需兼顾“有效菌斑控制”与“避免机械刺激”。
- 刷牙方法:使用软毛牙刷(刷毛硬度以“手指轻压刷毛能弯曲45°”为宜),采用“巴氏刷牙法”,即刷毛与牙齿呈45°角,对牙龈做小幅度水平震颤,每次刷2-3颗牙,再“拂刷”牙齿表面,避免直接刷种植体周围牙龈,可绕开种植区域,重点清洁邻近牙齿和种植牙的对颌面。
- 漱口与辅助工具:术后3天内可遵医嘱用含氯己定的漱口水(如0.12%复方氯己定含漱液),每日2次,每次30秒,但连续使用不超过1周,以免口腔菌群失调,10天后可改用温水或生理盐水漱口,饭后立即漱口,避免食物残渣滞留,牙线可正常使用,但需选择“无蜡膨胀牙线”,轻轻滑入牙缝,避免用力拉扯牙龈,种植牙邻面的牙线使用时需格外轻柔,避免触碰种植体颈部。
- 禁忌行为:禁止使用电动牙刷直接清洁种植区域,避免水流冲击伤口;避免用牙签、牙缝刷等尖锐工具剔种植牙缝隙,防止损伤牙龈乳头。
饮食管理:从“流质”过渡到“软食”,规避风险
术后10天饮食仍需遵循“温、软、凉、无刺激”原则,逐步过渡到正常饮食,但需严格避免对种植体造成压力的食物。
- 推荐食物:粥(小米粥、蔬菜粥)、烂面条、蒸蛋羹、鱼肉泥(去刺)、豆腐、酸奶(常温)、香蕉泥等,食物温度控制在40℃以下(接近体温),避免过热导致血管扩张,引发出血或肿胀。
- 禁忌食物:坚硬食物(如坚果、骨头、硬糖)、黏性食物(如年糕、糯米团)、粗纤维食物(如芹菜、竹笋)、过酸或过辣食物(如醋、柠檬、辣椒),这些食物可能导致种植体受力过大、粘脱导致牙龈损伤,或刺激伤口引发炎症。
- 咀嚼方式:尽量用非种植牙侧咀嚼,避免种植牙直接承受咬合力,若为单颗种植,建议将食物切成小块,用对侧牙齿碾碎后再吞咽;若为多颗种植或全口种植,需严格遵医嘱使用临时义齿(如有),避免咀嚼动作。
生活习惯:减少刺激,促进愈合
- 运动与休息:避免剧烈运动(如跑步、跳跃、举重),运动时血压升高可能增加伤口出血风险;保证每日7-8小时睡眠,避免熬夜(熬夜可能降低免疫力,影响组织修复)。
- 口腔行为:禁止用舌头、手触摸或摇晃种植牙,避免异物感导致牙龈损伤;戒烟戒酒,尼古丁会收缩血管,减少骨组织血液供应,酒精则可能刺激伤口引发炎症;若佩戴临时牙冠,避免咬硬物或用临时牙冠开瓶盖,防止牙冠松动或脱落。
- 环境与药物:避免去高温环境(如桑拿、温泉),以免出汗过多导致伤口感染;若医生开具了抗生素或止痛药,需按时按量服用,即使症状缓解也不可擅自停药(尤其是抗生素,需完成全疗程预防感染)。
常见症状的识别与应对
术后10天部分症状可能持续或出现新变化,需学会区分“正常恢复”与“异常情况”,及时就医。

| 症状类型 | 正常表现(无需过度担心) | 异常表现(需及时复诊) |
|---|---|---|
| 肿胀与疼痛 | 轻微肿胀(局限于牙龈或面部),按压时有轻微钝痛,无扩散 | 肿胀加剧或范围扩大(如波及眼周、颈部),疼痛剧烈或持续性跳痛,服用止痛药无效 |
| 出血 | 刷牙或漱口时少量血丝(24-48小时内),血色鲜红 | 活动性出血(血液呈线状流出或血块持续脱落),血色暗红或伴异味 |
| 牙龈颜色 | 牙龈呈淡红色或轻微粉白色,与邻近牙龈颜色差异不大 | 牙龈发白(缺血)、发紫(淤血)或发红(充血),伴糜烂或溃疡 |
| 种植体感觉 | 轻微异物感或麻木感(涉及神经时),无松动 | 种植体明显晃动,或出现“下沉”“浮起”感,咬合时异响 |
| 口腔异味 | 轻微异味(伤口愈合期正常) | 持续性恶臭,伴脓性分泌物(牙龈溢脓) |
应对原则:正常症状可通过休息、冰敷(术后48小时内可间断冰敷面部,每次15分钟,间隔1小时)或温敷(术后72小时后,用温毛巾热敷面部促进血液循环)缓解;异常症状需立即联系手术医生,必要时进行口腔检查、X光片或血常规排查感染、种植体松动等问题。
复诊的重要性与准备
术后10天左右通常需要首次复诊(具体时间以医生交代为准),复诊目的包括:检查牙龈愈合情况、拆除缝线(若为可吸收缝线则无需拆除)、评估种植体稳定性、调整临时修复体(如有)、指导后续护理流程。
复诊准备:提前整理术后症状(如肿胀、疼痛变化规律,有无出血或异常感觉),携带手术病历和用药记录,复诊前1小时避免进食(若需拍摄X光片,需去除金属饰品),复诊时需如实告知医生感受,若有疑问(如饮食禁忌、清洁方式)可及时咨询,确保获得个性化指导。
种牙10天护理核心要点
种牙10天的恢复是“打基础”的关键阶段,护理需把握“轻柔清洁、软食避压、观察异常、按时复诊”四大原则,这一阶段的耐心细致能为后续的骨结合和最终修复创造良好条件,避免因小失大导致种植失败,种植牙的“成功”不仅是手术完成,更是长期健康使用的开始,10天的谨慎付出,将为未来数十年的“第三副牙齿”保驾护航。

相关问答FAQs
Q1:种牙10天发现牙龈有点红,偶尔会轻微出血,正常吗?需要处理吗?
A:种牙10天牙龈轻微发红且偶尔少量出血(如刷牙时沾一点血丝),若无肿胀、疼痛或异味,通常属于正常现象,可能是牙龈组织仍在适应种植体,或刷牙时轻微刺激所致,建议调整刷牙方式,避免用力过猛,改用软毛牙刷,饭后用温水漱口,若出血持续超过3天,或出血量增多(如血丝呈线状),需及时复诊,排查牙龈炎或伤口愈合不良等问题。
Q2:种牙10天能用牙线清理种植牙和邻牙的缝隙吗?会不会把种植牙弄松动?
A:术后10天若牙龈伤口已完全愈合(无红肿、疼痛、出血),可在医生指导下使用牙线清理种植牙邻面缝隙,但需注意方法:选择“无蜡膨胀牙线”,轻轻将牙线滑入牙缝,避免用力拉扯牙龈,尤其不要用力压向种植体颈部,若牙龈仍较敏感,可暂缓使用牙线,改用温水漱口或冲牙器(选择低压模式),待牙龈进一步恢复后再使用,种植体在术后1-2个月内与牙槽骨结合尚不稳定,任何粗暴的清洁动作都可能影响其稳定性,务必轻柔操作。
