种植牙,医学上称为“种植义齿”,是一种通过外科手术将人工牙根(种植体)植入牙槽骨内,待其与骨组织结合后,再在上方安装牙冠,从而恢复牙齿形态、功能及美观的修复方式,与传统假牙相比,种植牙因其“独立支持、不损伤邻牙、咀嚼功能接近天然牙”等优势,已成为缺牙修复的主流选择,要全面了解“种牙是什么样的”,需从其结构、流程、材料、体验及注意事项等多维度展开。
种植牙的结构:模拟天然牙的“三部分”设计
种植牙并非单一结构,而是由“种植体+基台+牙冠”三部分组成的仿生系统,三者协同作用,模拟天然牙的牙根、牙颈和牙冠。

- 种植体:相当于“人工牙根”,通常由生物相容性良好的纯钛或钛合金制成,通过外科手术植入牙槽骨内,其表面多采用喷砂酸蚀或SLA处理技术,形成多孔结构,以促进骨细胞附着,实现与骨组织的紧密结合(即“骨结合”),种植体的形态设计多样,根据缺牙位置和骨质条件,可选择柱状、锥状或叶状等类型。
- 基台:连接种植体和牙冠的“桥梁”,材质多为纯钛、氧化锆或全瓷,负责传递咀嚼力并支撑牙冠,基台的高度、角度和直径需根据口腔情况个性化定制,以确保牙冠的咬合关系和美观度。
- 牙冠:暴露在口腔内的“牙齿部分”,材质以全瓷、烤瓷或金属烤瓷为主,全瓷牙冠因色泽、通透度接近天然牙,且不含金属,生物相容性好,成为目前的主流选择;金属烤瓷牙冠内层为金属基底,外层为瓷层,强度较高,但可能存在金属边缘暴露或牙龈着色风险。
种植牙的完整流程:从“评估”到“戴牙”需4-6个月
种植牙是一个系统的治疗过程,需严格遵循医疗规范,通常分为术前准备、外科手术、修复戴牙及术后维护四个阶段,全程耗时约3-6个月(具体时间取决于个人骨质条件和修复方案)。
术前准备:全面评估是成功的关键
- 口腔检查:通过口腔曲面断层片(全景片)、CBCT(锥形束CT)等影像学检查,评估缺牙区牙槽骨的厚度、高度、密度,以及邻牙、神经管、上颌窦等重要结构的位置,确保种植手术的安全性。
- 全身健康评估:排除严重系统性疾病(如未控制的糖尿病、心脏病、骨质疏松等),长期服用抗凝药物者需调整用药,吸烟者需戒烟或减少吸烟量(吸烟会影响骨结合成功率)。
- 方案设计:医生根据检查结果,制定个性化种植方案,包括种植体品牌、型号、植入位置、是否需要植骨(骨量不足时)等,并与患者沟通费用、预期效果及风险。
外科手术:精准植入种植体
- 消毒与麻醉:术区常规消毒,局部麻醉(利多卡因等),确保手术过程中无痛感。
- 切开与翻瓣:在缺牙区牙龈做切口,分离牙龈,暴露牙槽骨。
- 备洞与植入:使用专用种植钻逐级备洞(直径和深度与种植体匹配),将种植体旋入牙槽骨内,缝合牙龈切口,手术时间单颗牙约30分钟-1小时,复杂情况(如即刻种植、植骨手术)可能延长至2-3小时。
- 术后处理:咬棉球压迫止血,术后24小时内避免刷牙漱口,遵医嘱服用抗生素和止痛药,7-10天拆线。
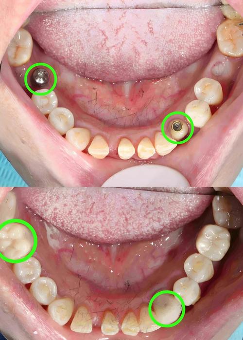
骨结合与二期手术:等待“人工牙根”稳固
种植体植入后,需等待3-6个月(骨质条件差者需更久)进行“骨结合”——即种植体与周围骨组织形成牢固的骨性整合,骨结合成功后,进行二期手术:切开牙龈,安装愈合基台,引导牙龈形成自然的袖口形态,为戴牙冠做准备,二期手术约1周后即可取模。
修复戴牙:恢复牙齿功能与美观
- 取模与制作牙冠:使用数字化印模或传统硅橡胶印模,获取口腔数据,由技工所根据牙齿颜色、形态制作个性化牙冠,通常需1-2周。
- 戴牙与调整:试戴牙冠,检查咬合关系、密合度及美观度,确认无误后用粘接剂固定(或螺丝固位),完成最终修复。
种植牙的材料选择:生物相容性与耐用性并重
种植牙的长期效果与材料密切相关,目前主流材料包括:
- 种植体材质:纯钛(如四级钛)是首选,其生物相容性极佳,能与骨组织形成稳定结合,且耐腐蚀性强;钛合金(如Ti-6Al-4V)强度更高,但部分患者可能对金属离子敏感,需谨慎选择。
- 基台材质:纯钛基台与种植体同质,兼容性好,适合多数情况;氧化锆全瓷基台美观度高,适用于牙龈较薄或对金属敏感者;全瓷基台通透性佳,前牙修复更美观。
- 牙冠材质:全瓷冠(如氧化锆、玻璃陶瓷)色泽自然,无金属边缘,生物相容性好,不易引发牙龈黑线;烤瓷冠(金属+瓷)强度高,但金属基底可能透出灰黄色,影响美观,目前逐渐被全瓷冠替代。
种植牙的体验:从“手术”到“适应”的真实感受
许多人对种植牙存在恐惧心理,其实其远比想象中舒适:

- 手术疼痛感:在局部麻醉下,手术过程基本无痛,仅有轻微的压迫感;术后2-3天可能出现肿胀、疼痛(类似拔牙后反应),遵医嘱服用止痛药即可缓解,1周内逐渐消退。
- 术后恢复:术后24小时内避免进食过热、过硬食物,不使用患侧咀嚼;1周内避免剧烈运动和吸烟;骨结合期间(3-6个月)避免种植体受力,定期复查。
- 使用感受:种植牙的咀嚼效率可达天然牙的90%以上,说话、进食无明显异物感,且不损伤邻牙(与传统固定桥相比);部分患者初期可能有轻微“异物感”或“咬合高点”,经医生调磨后会逐渐适应。
种植牙的优缺点:适合长期修复的选择
优点:
- 功能强大:咀嚼力接近天然牙,可正常啃咬硬物(如苹果、坚果)。
- 保护邻牙:无需磨损健康邻牙(活动假牙需卡环固定,固定桥需磨小邻牙)。
- 美观自然:牙冠形态、颜色与真牙无异,牙龈边缘贴合紧密,无“假牙感”。
- 使用寿命长:维护得当者,种植体可使用20年以上,部分甚至终身使用。
缺点:
- 费用较高:单颗种植牙费用(含种植体、牙冠、手术费)通常在8000-30000元,不同品牌、医院差异较大。
- 治疗周期长:需经历手术、骨结合、修复等多个阶段,全程耗时数月。
- 有适应证限制:牙槽骨严重萎缩、未控制的全身性疾病者不适合种植,需先治疗或植骨。
种植牙的维护:像爱护真牙一样“长期保养”
种植牙虽“耐用”,但仍需科学维护以延长使用寿命:
- 日常清洁:每天刷牙2次,使用牙线、冲牙器清洁种植牙邻面,避免食物嵌塞;推荐使用软毛牙刷和含氟牙膏,避免用力过猛损伤牙龈。
- 定期复查:戴牙后每3-6个月复查1次,检查种植体周围是否有炎症、牙冠是否磨损,每年拍摄1次X光片观察骨结合情况。
- 避免不良习惯:不要用种植牙咬硬物(如开酒瓶、咬核桃),减少吸烟(吸烟者种植体周围炎风险增加3倍)。
相关问答FAQs
Q1:种牙会很疼吗?
A:种植牙手术在局部麻醉下进行,术中几乎无痛感,仅有轻微的压迫感,术后2-3天可能出现肿胀和轻微疼痛,类似拔牙后的正常反应,遵医嘱服用止痛药(如布洛芬)即可缓解,疼痛程度多数人可耐受,无需过度担心。
Q2:种牙能用多久?会影响健康吗?
A:种植牙的使用寿命受多种因素影响:若患者口腔卫生良好、无全身性疾病、定期复查,种植体可使用20年以上,甚至终身,其材料(纯钛)生物相容性极佳,不会对口腔组织产生刺激,但若维护不当(如吸烟、清洁不到位),可能出现种植体周围炎(类似牙周病),导致骨吸收,影响种植牙寿命,术后科学维护是延长使用寿命的关键。

