在宁波,随着人们对口腔健康的重视程度提升,拔牙与种牙已成为常见的口腔治疗项目,牙齿问题不仅影响咀嚼功能和美观,还可能引发邻牙松动、牙周疾病等连锁反应,因此及时进行拔牙或种牙修复至关重要,本文将详细解析宁波地区拔牙与种牙的相关内容,包括适应症、流程、费用、注意事项及本地特色,帮助读者全面了解这两项治疗。
宁波拔牙:从“问题牙”到“健康牙”的第一步
拔牙是口腔治疗中常见的操作,主要针对无法保留的患牙,其核心目的是消除病灶、防止感染扩散,为后续修复或口腔健康创造条件,在宁波,拔牙技术已较为成熟,无论是简单牙体拔除还是复杂阻生智齿处理,均有规范的诊疗流程和丰富的临床经验支持。

拔牙的常见适应症
并非所有牙齿都需要拔除,医生会根据牙齿具体情况综合判断,宁波口腔科医生指出,以下情况通常建议拔牙:
- 严重龋坏:牙齿大面积龋坏,已损伤牙髓且无法通过根管治疗保存,如残根、残冠。
- 牙周病晚期:牙槽骨严重吸收,牙齿明显松动,保留后无法正常咀嚼,甚至影响邻牙健康。
- 阻生智齿:部分萌出或完全埋伏的智齿,可能引发冠周炎、邻牙龋坏或囊肿,尤其是反复发作者。
- 正畸需要:为排齐牙齿、调整咬合关系,需拔除部分牙齿(如双尖牙、多生牙)。
- 牙齿外伤:牙齿折断至牙龈下,或根尖断裂无法修复时。
拔牙的完整流程
在宁波正规口腔机构,拔牙通常遵循标准化流程,以确保安全与效果:
- 术前检查:医生会通过口腔视诊、拍X光片(如全景片、根尖片)评估牙齿位置、牙根形态、邻牙关系及周围骨组织情况,判断拔牙难度,对于高血压、心脏病等患者,还需测量血压、心电图,必要时进行凝血功能检查。
- 沟通与签字:医生详细说明拔牙风险(如出血、感染、邻牙损伤等),患者签署知情同意书。
- 麻醉:局部麻醉为主,常用利多卡因等药物,注射后5-10分钟起效,拔牙过程通常无痛,复杂阻生齿可能采用笑气镇静或全身麻醉。
- 拔牙操作:医生使用牙钳、牙挺等器械,根据牙齿类型选择挺松、旋转或分根等方式拔除,微创拔牙技术(如超声骨刀)在宁波部分机构已普及,可减少创伤、缩短术后肿胀时间。
- 术后处理:拔牙窝压迫止血(咬棉球30-40分钟),医生交代注意事项,开具止痛药、漱口水等药物。
拔牙费用与影响因素
宁波拔牙费用因牙齿类型、医院等级、技术难度差异较大,大致范围如下(仅供参考):
| 牙齿类型 | 费用范围(元) | 说明 |
|----------------|----------------|--------------------------|
| 乳牙/简单残根 | 100-300 | 局部麻醉,操作简单 |
| 恒牙单根牙 | 200-500 | 如前牙、松动牙 |
| 复杂牙(如弯曲根)| 500-1000 | 需分根或增隙,操作难度高 |
| 阻生智齿 | 800-2000 | 根据位置(近中、水平阻生等)、是否需要分牙、去骨 |
公立医院价格相对透明,私立机构可能因服务、设备(如CBCT影像)略有上浮,部分医保可报销拔牙费用(需符合医保目录)。

拔牙术后注意事项
宁波医生强调,术后护理直接影响恢复速度:
- 饮食:2小时内禁食,24小时内避免热水、辛辣食物,建议温凉流质或半流质(如粥、酸奶)。
- 口腔卫生:24小时内不刷牙不漱口,之后可轻柔刷牙,拔牙窝周围用漱口水(如氯己定)清洁,避免触碰血凝块。
- 避免剧烈运动:24小时内不跑步、游泳,防止血凝块脱落引发“干槽症”(表现为剧烈疼痛、口臭)。
- 复诊:若术后3天仍出血不止、疼痛加剧,需及时回院检查。
宁波种牙:重建咀嚼功能的“牙齿再生术”
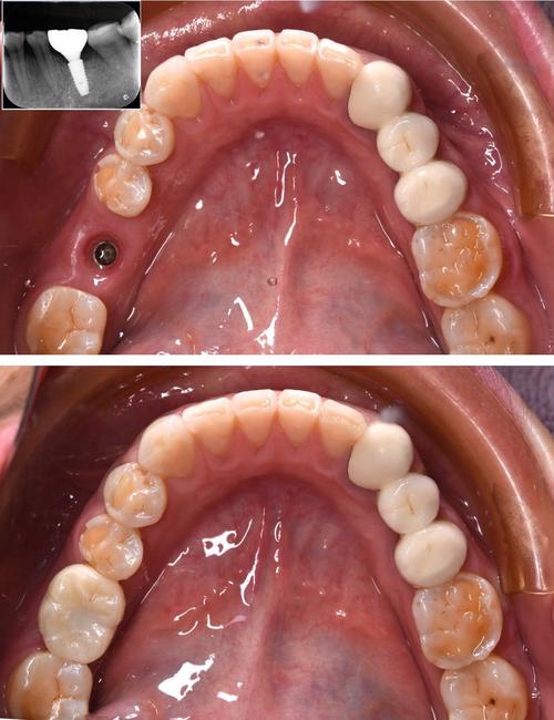
种牙(种植义齿修复)被誉为“人类的第三副牙齿”,是通过外科手术将纯钛种植体植入牙槽骨,待其与骨组织结合后,安装基台和牙冠,实现功能与美观的恢复,在宁波,随着种植技术的成熟和材料的发展,种牙已成为牙齿缺失的首选修复方式之一。
种牙的适应症与禁忌症
适应症:单颗、多颗牙齿缺失,全口/半口牙列缺失;邻牙健康,不适合做固定桥修复;牙槽骨条件良好(可通过植骨改善);无严重全身性疾病(如未控制的高血压、糖尿病、骨质疏松症)。
禁忌症:绝对禁忌症较少,但需谨慎评估:严重骨量不足且不愿植骨者、有放射性治疗史者、吸烟量过大(影响骨结合)者、严重夜磨牙患者。
种牙的详细流程与周期
宁波种牙流程严谨,通常需3-6个月,具体时间取决于个人骨条件:

- 术前检查:除口腔检查外,必须拍CBCT(锥形束CT),评估骨密度、骨量、神经血管位置,排除种植禁忌。
- 方案设计:医生根据检查结果制定方案,选择种植体品牌、牙冠材料(全瓷、烤瓷),确定是否需要植骨、上颌窦提升等附加手术。
- 植入种植体:局部麻醉下,切开牙龈,暴露牙槽骨,逐级备洞后植入种植体,缝合伤口,手术时间约30分钟-1小时/颗。
- 骨结合期:3-6个月,种植体与牙槽骨融合(骨结合),期间避免种植体受力。
- 安装基台与牙冠:骨结合后,二次切开牙龈,连接基台,取模制作牙冠,试戴调整后粘固,完成修复。
种牙费用构成与本地价格
宁波种牙费用差异较大,主要受种植体品牌、牙冠材料、医院级别影响,大致范围如下:
| 项目 | 费用范围(元/颗) | 说明 |
|----------------|-------------------|----------------------------------------------------------------------|
| 种植体 | 3000-12000 | 国产(如百康特、威高)3000-6000;韩国(登腾、奥齿泰)5000-8000;德国(ICX、Bego)8000-10000;瑞士(Straumann、Nobel)10000-12000 |
| 牙冠 | 1000-5000 | 全瓷冠(如爱尔创、威兰德)1000-3000;烤瓷冠(含金属基底)800-2000 |
| 附加手术 | 2000-5000 | 植骨(3000-5000)、上颌窦提升(2000-4000) |
| 总费用(单颗) | 8000-20000 | 基础种植(国产种植体+全瓷冠)约8000-12000;高端种植(瑞士种植体+全瓷冠)约15000-20000 |
宁波部分公立医院开展种牙医保试点,仅限植骨、手术费等部分项目报销,种植体和牙冠多为自费,私立机构常推出优惠活动(如免费拍CT、种牙套餐),建议对比选择正规机构。
种牙术后维护与使用寿命
种牙并非“一劳永逸”,需精心维护才能延长使用寿命:
- 口腔卫生:每天刷牙、使用牙线、冲牙器,定期洗牙(每6个月1次),避免种植体周围炎(类似牙周病,可导致种植失败)。
- 饮食注意:避免咬硬物(如坚果、螃蟹壳),减少种植体负荷。
- 定期复查:术后1、3、6个月复查,之后每年1次,检查种植体稳定性、咬合关系。
- 寿命:维护良好的情况下,种植体可用10-30年甚至更久,牙冠可能因磨损需更换。
宁波拔牙与种牙的本地特色与注意事项
宁波作为沿海经济发达城市,口腔医疗资源丰富,既有公立三甲医院口腔科,也有众多连锁私立口腔机构,选择时需注意:
- 机构资质:选择具备《医疗机构执业许可证》的正规机构,医生需有种植牙/拔牙专项资质,可查询卫健委官网验证。
- 技术设备:优先配备CBCT、口腔显微镜、微创设备的机构,可提高治疗精度,减少创伤。
- 医生经验:拔牙(尤其复杂智齿)和种牙对医生技术要求高,建议选择临床经验丰富的医生,可查看案例、患者评价。
- 价格透明:治疗前要求明确费用明细(是否包含检查费、麻醉费、药费、复诊费),避免隐形消费。
拔牙与种牙对比表
| 对比项 | 拔牙 | 种牙 |
|---|---|---|
| 治疗目的 | 消除病灶,去除无法保留的牙齿 | 修复缺失牙齿,恢复咀嚼与美观 |
| 适应症 | 龋坏、牙周病、阻生智齿等 | 单颗/多颗/全口牙缺失,骨条件允许 |
| 治疗周期 | 单次完成(30分钟-2小时) | 3-6个月(含骨结合期) |
| 费用范围 | 100-2000元/颗 | 8000-20000元/颗(单颗) |
| 恢复时间 | 3-7天(肿胀、疼痛逐渐消退) | 3-6个月(骨结合)+ 牙冠制作1-2周 |
| 维护要求 | 术后短期护理(避免感染、血凝块脱落) | 长期维护(口腔卫生、定期复查) |
| 风险 | 出血、感染、邻牙损伤、干槽症 | 种植体周围炎、种植体松动、神经损伤 |
相关问答FAQs
Q1:拔牙后多久可以种牙?
A:拔牙后种牙时间需根据拔牙创愈合情况决定,一般情况下,简单拔牙(如单根牙)后2-3个月,牙槽骨初步愈合即可种牙;复杂拔牙(如阻生智齿、拔牙时需去骨)需等待3-6个月,确保牙槽骨稳定,若拔牙后骨量不足,可能需先植骨,待4-6个月骨结合后再种牙,建议拍CBCT评估骨条件,由医生判断最佳时机。
Q2:种牙会很痛吗?术后多久能恢复正常饮食?
A:种牙手术在局部麻醉下进行,术中通常无痛感,术后可能有轻微肿胀、疼痛,类似于拔牙后反应,可通过冰敷和止痛药缓解,一般术后24小时内进温凉流质,3-5天可进软食(如粥、面条),1-2周后逐渐恢复正常饮食,但避免咬硬物,具体恢复时间因个人体质和手术复杂度而异,遵医嘱复查即可。
