在老龄化进程加速的当下,老年口腔健康问题日益凸显,缺牙导致的咀嚼功能下降、营养吸收障碍,不仅影响生活质量,更可能引发全身健康风险,传统种植牙动辄数万元的高昂费用,让许多低收入老人、独居群体望而却步,为此,珠江台作为深耕本土的媒体平台,主动扛起社会责任,发起“珠江台公益种牙”项目,聚焦困难群体口腔健康需求,通过“媒体+医疗+公益”的模式,让缺牙老人重获健康好牙,切实提升晚年生活幸福感。
项目初衷:以媒体之力破解“看牙贵”难题
珠江台公益种牙项目的诞生,源于对民生痛点的深度洞察,据《中国口腔健康指南》数据,我国65岁以上人群缺牙率高达70%以上,但修复率不足30%,其中经济原因是主要阻碍,许多老人因长期缺牙导致面部凹陷、发音含糊,甚至引发消化系统疾病,却因无力承担种植费用而一拖再拖,作为与广东观众相伴数十年的主流媒体,珠江台始终关注“一老一小”等特殊群体需求,2025年联合广东省口腔医学会、多家正规口腔医院发起公益种牙项目,旨在通过整合医疗资源、公益基金、媒体监督,构建“可负担、有质量、能持续”的口腔帮扶体系。

全流程公益保障,让种牙“安心又省心”
公益种牙项目并非简单的“免费种牙”,而是以“医疗质量为核心、公益属性为根本”的系统性帮扶,覆盖从筛查到术后维护的全流程,确保受益人获得科学、规范、长效的口腔健康服务,具体服务内容如下(详见下表):
| 服务环节 | 公益保障 | |
|---|---|---|
| 口腔健康筛查 | 含全景片拍摄、CT影像检查、牙周状况评估、全身健康指标监测 | 全程免费,由合作医院资深医师团队操作,精准评估种植条件 |
| 个性化方案设计 | 根据缺牙数量、骨质条件、经济状况,制定种植方案(如单颗、多颗、半口/全口种植) | 专家联合会诊,优先选择性价比高的微创种植技术,降低创伤与费用 |
| 种植体及耗材 | 采用国际认证品牌种植体(如韩国登腾、德国ICX等),提供5年质保 | 公益基金承担种植体、基台、手术费等核心费用,不收取任何差价 |
| 种植手术实施 | 由10年以上经验种植医师操作,采用数字化导板技术,精准定位种植位置 | 严格执行无菌操作,术后提供止痛、消炎等基础药物,确保手术安全 |
| 术后跟踪维护 | 术后1周、1个月、3个月、半年定期复查,提供口腔清洁指导、种植体稳定性评估 | 1年内复查免费,长期建立口腔健康档案,联动社区开展后续随访 |
实施流程:透明公开,让公益“阳光运行”
为确保项目公平、公正、公开,珠江台公益种牙建立了严格的筛选与执行机制,让每一分公益资金都用在刀刃上。
报名条件
- 年龄满60周岁,持有广东省户籍或居住证;
- 单颗及以上牙齿缺失,影响咀嚼功能,经医院检查确认符合种植条件;
- 属于低保户、特困人员、独居老人、残障人士等经济困难群体,或因重大疾病、意外事故导致生活困难者;
- 无严重心脑血管疾病、未控制的糖尿病等种植手术禁忌症。
报名方式
线上通过“珠江台”官方微信公众号“公益种牙”专栏填写报名表,上传身份证、低保证明(或社区开具的经济困难证明)、近期口腔检查报告;线下可前往所在社区居委会领取纸质报名表,提交材料后由工作人员统一录入系统。

审核流程
项目组联合民政部门、医疗机构组成审核小组,对报名材料进行三重核验:社区初审材料真实性,民政部门确认经济状况,医疗专家组评估口腔条件,符合条件的候选人进入“受益人库”,按报名顺序及缺牙严重程度排序,最终由合作医院安排免费种植,名单在珠江台官网及公众号公示3天,接受社会监督。
治疗与跟踪
公示无异议后,受益人将收到医院通知,约定手术时间,手术全程由项目组跟踪拍摄,记录治疗过程;术后,医院建立“一人一档”,定期回访,确保种植体长期稳定使用,截至目前,项目已联合广州、深圳、佛山等20余家二级以上口腔医院,累计帮助超1500名困难老人完成种植牙手术,总投入公益资金超800万元,覆盖全省10个地市。
社会价值:不止于种牙,更传递温暖与希望
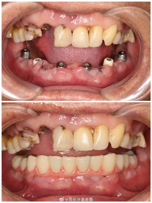
珠江台公益种牙的意义,远不止于解决“缺牙”这一生理问题,家住广州越秀区的李阿姨,今年72岁,因多颗缺牙常年只能喝粥,导致营养不良、体重骤降,通过公益种牙项目,医院为她制定了“微创即刻种植”方案,当天就植入4颗种植体,第二天就能吃软米饭,李阿姨激动地说:“现在能和家人一起吃顿热乎饭,感觉生活又有奔头了!”这样的故事,在项目中每天都在发生。
更重要的是,项目通过媒体报道、社区宣讲,普及了“口腔健康与全身健康”的理念,打破了“老掉牙是正常现象”的误区,项目探索的“媒体搭台、医疗唱戏、社会参与”公益模式,为解决民生难题提供了新思路——既需要政府主导,也需要社会力量协同,才能让更多人共享发展成果。
相关问答FAQs
问题1:公益种牙是否真的免费?有哪些费用可能需要自理?
解答:珠江台公益种牙项目的核心治疗费用(包括种植体、基台、手术费、麻醉费、术后复查费等)均由公益基金承担,符合条件的受益人无需支付,但可能需自理的费用包括:①术前特殊检查费(如超出常规项目的血液检查、骨密度检测等);②术后修复体(牙冠)费用——项目提供基础烤瓷牙冠,若选择全瓷牙、锆牙冠等高端材质,需自行承担差价(通常为500-2000元/颗);③因个人原因产生的额外治疗费(如术前需先治疗未控制的牙周炎、根尖周炎等),所有费用明细会在治疗前由医院书面告知,确保透明。
问题2:报名参与公益种牙需要满足哪些具体条件?如何确保公平公正?
解答:报名需满足四个核心条件:①年龄满60周岁;②经医院检查确认有牙缺失且影响咀嚼功能;③持有官方认可的经济困难证明(如低保证、特困证、社区开具的困难证明等);④无严重全身疾病(如未控制的高血压、心脏病、糖尿病等)或种植禁忌症,为确保公平公正,项目采取“三级审核+社会监督”机制:社区初审材料真实性,民政部门核验经济状况,医疗专家组评估口腔条件;最终受益名单在珠江台官网、公众号及社区公示3天,接受群众举报,一经发现弄虚作假,立即取消资格。
