游离缺失是牙齿缺失的一种特殊类型,指缺牙间隙的一端有天然牙作为支撑,而另一端没有天然牙,常见于口腔最后端的磨牙缺失(如下颌第三磨牙缺失后,第二磨牙成为游离端),这种缺失不仅会导致咀嚼功能下降,还可能引发邻牙倾斜、对颌牙伸长、牙周组织损伤等问题,因此需要及时修复,对于无法或不愿选择种植牙的患者,仍有多种非种植修复方式可供选择,但需结合口腔条件、生活习惯等因素综合考量。
不种牙的游离缺失修复方式及特点
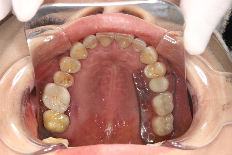
针对游离缺失的非种植修复方案主要包括活动义齿、固定桥和树脂粘接桥三类,其原理、优缺点及适应症各有不同,具体对比如下:

| 修复方式 | 原理 | 优点 | 缺点 | 适应症 |
|---|---|---|---|---|
| 活动义齿 | 利用剩余天然牙和牙槽嵴黏膜作为支持,通过卡环固位,基托恢复缺损组织形态 | 适用范围广(可修复多牙缺失)、磨牙量少、费用较低、可摘戴便于清洁 | 异物感强、可能影响发音、基托压迫黏膜易导致疼痛、长期使用可能加速牙槽骨吸收 | 牙槽骨条件差、多牙游离缺失、经济条件有限或全身状况不适合复杂修复者 |
| 固定桥 | 以缺牙区两侧的天然牙为基牙,磨除部分牙体后制作牙冠,中间连接桥体修复缺失牙 | 舒适度高、接近天然牙的咀嚼效率、无需摘戴、异物感小 | 需磨除健康基牙(可能损伤牙髓)、对基牙牙周及牙体要求高、费用较高 | 缺牙区两侧基牙牙周健康、牙体组织充足、游离缺失牙数少(1-2颗)、口腔卫生习惯良好者 |
| 树脂粘接桥(马里兰桥) | 利用翼状固位体粘接在邻牙舌侧或邻面,桥体悬垂修复缺损,无需或少量磨除牙体 | 微创(几乎不磨牙)、保留天然牙体、美观度较高 | 固位力较弱、易脱落、仅适用于前牙或小后牙缺失、咬合力大的区域不适用 | 前牙游离缺失、对美观要求高、不愿磨牙者或作为过渡性修复 |
不种牙修复的注意事项
- 严格把握适应症:活动义齿虽适用范围广,但牙槽骨严重吸收(如黏膜过薄、无弹性)者需谨慎设计基托,避免压痛;固定桥需通过X线片评估基牙牙根长度、牙周膜宽度及牙槽骨吸收情况,确保基牙能承受咀嚼力;树脂粘接桥仅适用于咬合力小的前牙区,后牙游离缺失不建议使用。
- 加强口腔维护:活动义齿需每天摘取清洁,夜间浸泡在义齿清洁液中,避免食物残渣残留引发口臭或牙周炎;固定桥需使用牙线牵引器、冲牙器等清洁桥体邻接面,防止菌斑堆积;树脂粘接桥需避免啃咬硬物,定期检查固位体是否松动。
- 适应与功能调整:初戴活动义齿可能出现恶心、咀嚼无力,需适应1-2周,期间以软食为主,避免过度使用;若出现基牙疼痛或黏膜压痛,需及时复诊调整卡环或基托;固定桥修复后可能出现咬合高点,需及时调改,避免基牙创伤。
- 定期复查监测:无论选择何种修复方式,均需每6个月复查一次,检查基牙牙周状况、义齿固位稳定性及牙槽骨吸收情况,活动义齿使用5-8年后,因材料老化或牙槽骨变化,可能需重做;固定桥需定期检查桥体边缘密合度,防止继发龋。
游离缺失不种牙时,活动义齿、固定桥和树脂粘接桥是主要修复方案,各有优劣,患者需在医生指导下,结合自身口腔条件、经济状况及生活习惯选择合适的方式,并注重日常维护和定期复查,以延长修复体使用寿命,维护口腔健康。
相关问答FAQs
问:游离缺失不种牙,哪种修复方式最耐用?
答:固定桥的耐用性相对较高,若基牙条件良好、口腔卫生维护到位,使用寿命可达10-15年甚至更长,但固定桥对基牙要求严格,若基牙出现牙周炎或龋坏,可能导致修复失败,活动义齿的使用寿命通常为5-8年,因材料老化和牙槽骨吸收需定期重做,但可通过调整基托延长使用时间,树脂粘接桥因固位力较弱,平均使用寿命约3-5年,适合短期过渡修复。
问:活动义齿戴久了会导致邻牙松动吗?
答:若活动义齿设计合理(卡环位置正确、基托压迫均匀)、且患者加强口腔清洁,一般不会直接导致邻牙松动,但若义齿长期压迫牙槽嵴,可能加速牙槽骨吸收,导致基牙支持力下降,间接增加基牙松动风险;若卡环过紧或基托异物感导致患者用牙咬合义齿,也可能损伤基牙,需定期复查调整义齿,避免基牙过度受力。

