去年秋天,我结束了长达三年的“缺牙史”,终于用上了属于自己的种植牙,在这之前,活动假牙带来的困扰让我几乎忘了“正常吃饭”是什么滋味——苹果得切成小块,排骨只能吸骨髓,笑的时候总下意识捂住嘴角,生怕假牙“掉链子”,直到种完牙,咬下第一口苹果的清脆声,才让我明白一口好牙对生活的影响有多大,今天就把我的经历和踩过的坑、避开的雷,都分享给大家。
种牙前:从“将就”到“行动”的决心
缺牙的第三年,我终于下定决心种牙,起初总担心“种牙是手术,会不会很疼”“种植体能用多久”,拖着拖着,邻牙开始松动,牙槽骨也有些萎缩,才不得不正视问题,选医院时我跑了三家:公立医院专家号难约但价格透明,私立医院服务好但价格稍高,最后选了朋友推荐的中韩合资口腔——医生有公立医院背景,种植体品牌是进口的,价格在可接受范围内,还能分期付款,压力小不少。

术前检查比我想象的复杂:拍CT看牙槽骨厚度(我缺牙处骨量不够,得先植骨)、测血压血糖(有轻微高血压,得先控制)、咬合关系分析(避免种植后咬合创伤),医生拿着CT片耐心解释:“你的牙槽骨宽度还行,但高度差一点,先植骨等3个月,再种种植体,总周期大概5个月。”虽然要等更久,但总比强行种植后失败强,我咬咬牙答应了。
种牙中:三次就诊,从“紧张”到“安心”
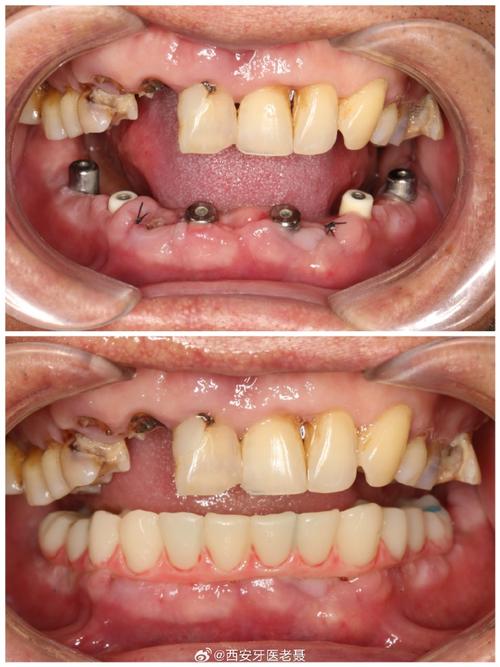
种牙不是一次就能完成的,我前后跑了五次医院(包括复查),真正操作主要是三次,每次都比想象中轻松。
第一次:拔残根+植骨
缺牙处有个发黑的残根,得先拔掉,打麻药时有点紧张,医生边操作边聊天:“就像打疫苗,针扎一下就过去了。”果然,麻药起效后,拔牙、清创、植骨(用的是人工骨粉,不用取自己的骨头),全程不到20分钟,除了有点胀,完全不疼,术后医生开了消炎药和止痛药,叮嘱我24小时不刷牙、不漱口,冰敷敷脸,别吃热的、硬的,我照做了,脸没怎么肿,就是第三天有点隐隐作痛,吃了止痛药就好转。
第二次:种植体植入
等了三个月,CT显示骨粉融合得不错,该“种牙根”了,这次比拔牙还简单,局部麻醉后,医生在牙槽骨上钻了个小洞,把种植体(选的瑞士ITI,医生说稳定性好)拧进去,然后缝了两针,全程大概半小时,我甚至能听到“滋滋”的钻骨声,但不疼,术后还是老规矩,吃流食(粥、酸奶、鸡蛋羹),一周后拆线,伤口长得很好,医生说“种植体和骨头在‘长在一起’,再等三个月”。

第三次:戴牙冠
又熬了三个月,终于到了“戴牙冠”的最后一步,医生先给种植体上基台,然后取模——用个软胶塞进嘴里,咬个印,比做牙模舒服多了,等了两周,牙冠做好了(全瓷的,颜色和旁边的真牙几乎一样),试戴时医生让我咬咬纸,调整咬合,确认没问题后用粘固剂粘上,当镜子里的“新牙”和旁边的牙齿一样整齐时,我差点哭出来——终于不用再戴活动假牙了!
种牙后:从“小心翼翼”到“重拾热爱”
戴牙冠后的前一周,我特别小心,吃面条都怕太黏,结果医生说:“别太紧张,种植体很结实,只要前三个月别啃硬骨头、咬核桃就行。”慢慢适应后,我试着咬了一小块苹果,“咔嚓”一声,眼泪差点掉下来——三年没吃过这么脆的水果了!
现在种牙半年了,每天用牙线、冲牙器清洁,定期复查(医生说前三个月每月一次,之后半年一次),完全没出现过松动、疼痛的问题,以前因为咬不动,总吃软的,体重长了5斤,现在能吃排骨、玉米、坚果,饮食均衡了,气色也好了,同事都说我笑起来更自信了,确实,再也不用担心假牙掉出来,这种感觉,只有缺过牙的人才能懂。
相关问答FAQs
Q:种牙真的很疼吗?我特别怕疼,能做吗?
A:其实没那么可怕!打麻药时会有点刺痛,像打疫苗一样,麻药起效后整个手术过程完全没感觉,术后麻药过去后,可能会有轻微胀痛或酸痛,一般比拔智齿疼得轻,医生会开止痛药,吃1-2天就好,我种牙时最怕疼,结果术后疼得都没吃止痛药,睡一觉就缓解了,而且现在很多医院有“无痛种植”技术,用更细的针和更温和的麻药,怕疼的话可以提前和医生沟通。

Q:种植体能用多久?是不是过几年就要换?
A:这个要看个人维护和种植体质量,目前临床数据显示,进口种植体(如瑞士ITI、瑞典Nobel)如果维护得好,用10-20年以上没问题,很多人甚至能用一辈子,关键是要注意口腔卫生,每天刷牙、用牙线、冲牙器,定期洗牙、复查(建议每年1次),避免咬过硬的东西(比如开酒瓶、啃螃蟹腿),我选的ITI种植体,医生说骨结合好,稳定性高,只要不发生种植体周围炎(就像真牙会得牙周炎),基本不用换,如果医生技术不好、植骨失败或咬合异常,可能会影响寿命,所以选正规医院和经验丰富的医生很重要!
