牙齿正畸是一项通过矫治器调整牙齿排列、改善咬合关系及面部美观的医疗技术,其效果不仅体现在口腔功能的恢复,更直接反映在个人自信心的提升上,而牙齿正畸前后对比图片,作为直观展现治疗效果的重要载体,既能帮助患者清晰看到自身变化,也为其他有正畸需求的人提供了参考价值。
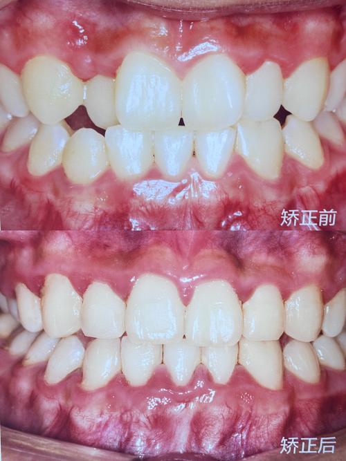
正畸前的牙齿问题通常较为多样,常见的包括牙齿拥挤、稀疏、龋齿、深覆合、深覆盖、开颌、反颌(俗称“地包天”)等,这些问题不仅影响咀嚼功能,还可能导致发音不清、牙周组织负担加重,甚至因长期咬合异常引发颞下颌关节紊乱,以牙齿拥挤为例,正畸前牙齿可能呈“重叠”状排列,刷牙时难以彻底清洁牙缝,容易堆积食物残渣,增加龋齿和牙周炎的风险;而稀疏则会导致牙齿间缝隙过大,影响美观,也可能造成咬合时力量分布不均,像“地包天”这样的反颌问题,会显著影响面部轮廓,导致侧面观下巴过度前凸,面部比例失衡。

经过系统正畸治疗后,牙齿排列、咬合关系及面部形态均会发生显著改善,从牙齿排列来看,原本拥挤的牙齿会逐渐调整至整齐的弧度,牙列中线与面部中线对齐;稀疏的牙齿则通过关闭间隙实现紧密排列,牙缝消失,咬合功能的改善同样关键:深覆合患者上牙不再过度覆盖下牙,深覆盖患者的“龅牙”内收后,上下牙咬合时接触面积增大,咀嚼效率提升;反颌患者的下颌后缩问题得到纠正,上下牙咬合关系恢复正常,面部侧面线条变得协调,口腔健康状况也会随之好转:整齐的牙齿便于清洁,牙菌斑和牙结石堆积减少,龋齿、牙周炎的发病风险降低。
为了让对比更直观,可通过表格清晰呈现正畸前后的核心变化:
| 对比维度 | 正畸前表现 | 正畸后效果 |
|---|---|---|
| 牙齿排列 | 拥挤/稀疏、不整齐、牙列中线偏移 | 牙齿整齐排列、牙列中线与面部中线对齐 |
| 咬合关系 | 深覆合、深覆盖、反颌、开颌 | 上下牙咬合紧密、接触面积正常、咀嚼有力 |
| 面部轮廓 | 凹陷/凸嘴、下巴前伸/后缩、面部比例失衡 | 面部线条流畅、侧面观鼻唇颏协调 |
| 口腔健康 | 易嵌塞食物、龋齿风险高、牙周炎倾向 | 清洁彻底、龋齿及牙周问题减少 |
| 心理状态 | 因牙齿问题自卑、不敢露齿笑 | 自信微笑、社交表现积极 |
正畸前后对比图片的拍摄也有讲究,需在专业医生指导下完成,通常包括正面、侧面及45度微笑照,拍摄时保持光线一致、表情自然(如不刻意露齿或抿嘴),以便更客观地对比变化,拆除矫治器后,医生还会建议患者定期拍摄复查照片,观察牙齿是否稳定,是否有复发趋势,这对维持正畸效果至关重要。
牙齿正畸前后对比图片不仅是患者正畸之路的“成果记录”,更是口腔正畸技术价值的直观体现,从功能到美观,从健康到心理,正畸带来的改变是多维度的,而对比图片则让这些变化“看得见、摸得着”,帮助更多人认识到:一口整齐的牙齿,不仅是美丽的加分项,更是健康生活的重要基石。

FAQs
-
正畸前后对比图片需要多久拍一次?
通常在正畸治疗前、治疗中(每3-6个月调整矫治器时)、拆除矫治器后、拆除后1年及3年等关键节点拍摄,治疗前的“基准照”用于评估初始状态,治疗中照片可动态调整方案,拆除后及复查照片则用于观察效果稳定性。 -
正畸效果能维持多久?如何避免复发?
正畸效果需通过长期保持维持,拆除矫治器后需按要求佩戴保持器(通常白天戴1年,夜间戴2-3年,甚至终身),同时保持口腔卫生、避免咬硬物、及时处理新萌牙齿问题,定期复查(每6个月1次)能帮助医生早期发现复发迹象,及时干预。

