口腔健康是全身健康的重要组成部分,当牙齿因龋坏、外伤或根管治疗等原因出现严重缺损或缺失时,核冠修复和种植牙是两种常见的修复方式,两者各有适应症和特点,需根据口腔实际情况、患者需求及医生综合评估选择。
核冠修复:保留天然牙根的“重建术”
核冠修复全称为“桩核冠修复”,是针对牙体大面积缺损(如残根、残冠)或根管治疗后牙齿强度不足的修复方式,其核心原理是通过在残留牙根内植入“桩核”作为内部支撑,再在外部制作牙冠,恢复牙齿的形态、功能及美观。

适用范围
核冠修复主要用于以下情况:
- 牙体严重缺损:如龋坏导致牙冠大面积缺失,仅剩牙根且牙根长度足够、牙周健康;
- 根管治疗后牙齿:根管治疗后的牙齿失去神经营养,质地变脆,易折裂,需通过桩核加固;
- 牙齿修复体失败:如全冠修复后继发龋坏、牙冠折断,但牙根条件可保留;
- 前牙美学修复:对于前牙残根,可通过纤维桩核+全瓷冠兼顾功能与美观。
修复流程
- 口腔检查与预处理:评估牙根长度、牙周状况及咬合关系,对牙周炎患者需先进行牙周治疗;
- 根管治疗(若未完成):确保牙根无感染,为桩核提供稳固基础;
- 桩核制作与粘接:
- 桩核选择:常用纤维桩(生物相容性好、弹性模量接近牙体,适合前牙及前磨牙)或金属桩(强度高,适合后牙,但美观性较差);
- 制备根管:在根管内预备桩道,深度为根长的2/3-3/4,直径不超过根径的1/3;
- 取模与试戴:取桩核模型,制作个性化桩核,试戴后粘接;
- 牙冠制作与戴牙:在桩核上制备牙冠,取模后制作全冠(全瓷冠、烤瓷冠或金属冠),试戴调整后粘接。
优点与局限性
优点:
- 保留天然牙根,避免拔牙创伤,维护牙槽骨基础稳定性;
- 修复周期短(通常2-3次就诊,1-2周完成),费用相对较低;
- 对邻牙无损伤,无需磨除健康牙体。
局限性:
- 依赖剩余牙体组织及牙根强度,若牙根过短、折裂或牙周状况差,修复失败风险高;
- 桩核可能发生松动、脱落或根折,使用寿命一般为5-15年,需定期复查;
- 金属桩可能透现灰暗色,影响前牙美观。
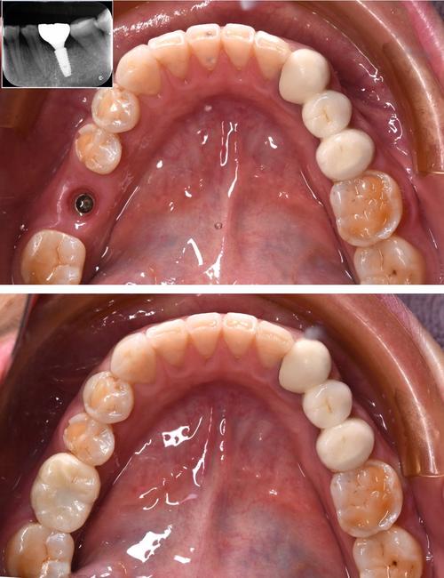
种植牙:替代缺失牙的“仿生修复”
种植牙是通过外科手术将纯钛种植体植入牙槽骨内,模拟天然牙根,再在种植体上安装基台和牙冠,实现“仿生”修复的方式,被誉为“人类的第三副牙齿”,是目前修复牙缺失的理想方式之一。

适用范围
种植牙适用于各类牙缺失情况:
- 单颗牙缺失:避免邻牙磨损,独立恢复咀嚼功能;
- 多颗牙缺失:通过种植桥或种植体支持的全义齿修复,避免传统活动义齿的基牙负担;
- 全口牙缺失:通过植入4-6颗种植体(All-on-4技术)支撑固定义齿,恢复良好咀嚼;
- 无牙颌患者:牙槽骨条件允许时,种植牙可显著改善传统活动义齿的固位和稳定性。
修复流程
- 术前评估:通过CBCT、口扫等检查牙槽骨的厚度、高度及密度,评估全身健康状况(如糖尿病、骨质疏松需控制后再手术);
- 种植体植入:局部麻醉下,切开牙龈,暴露牙槽骨,逐级备洞后植入种植体,缝合伤口;
- 骨结合期:种植体与牙槽骨通过骨整合融合,通常需3-6个月(即刻种植或骨条件好者可缩短);
- 基台安装与牙冠制作:骨结合完成后,安装基台,取模制作牙冠(全瓷冠、烤瓷冠),试戴调整后粘接或螺丝固定。
优点与局限性
优点:
- 功能与美观接近天然牙,咀嚼效率高,无异物感;
- 独立植入,不损伤邻牙,保护口腔健康;
- 刺激牙槽骨,防止骨吸收,维持面部轮廓;
- 使用寿命长,维护得当可使用20年以上甚至终身。
局限性:
- 费用较高(单颗种植牙费用通常1-3万元),治疗周期长(3-8个月);
- 需外科手术,存在一定创伤(微创手术可减轻);
- 对牙槽骨条件要求高,骨量不足需植骨,增加治疗时间和费用;
- 术后需严格维护,若发生种植体周围炎,可能导致种植失败。
核冠修复与种牙的对比分析
| 对比维度 | 核冠修复 | 种植牙 |
|---|---|---|
| 修复原理 | 保留天然牙根,桩核+牙冠重建 | 植入种植体替代牙根,基台+牙冠修复 |
| 适用情况 | 牙体缺损、根管治疗后牙根可保留 | 单颗/多颗/全口牙缺失,牙槽骨条件允许 |
| 创伤程度 | 微创或中等(磨除剩余牙体) | 手术创伤(需植入种植体) |
| 修复时间 | 1-2周(2-3次就诊) | 3-8个月(含骨结合期) |
| 费用 | 较低(单颗约3000-8000元) | 较高(单颗约1-3万元) |
| 使用寿命 | 5-15年(可能需更换) | 10-20年以上(维护好可终身) |
| 对邻牙影响 | 无损伤 | 不损伤邻牙 |
| 对牙槽骨影响 | 无刺激,可能随牙根吸收而萎缩 | 刺激牙槽骨,防止骨吸收 |
相关问答FAQs
问题1:牙齿只剩残根,到底该选核冠修复还是直接拔牙种牙?
解答:需综合评估残根的牙周状况、牙根长度及位置,若残根稳固、牙周健康、牙根长度足够(≥10mm),且牙槽骨无明显吸收,优先选择核冠修复,可保留天然牙根,避免手术创伤;若残根松动、牙根过短、牙周炎难以控制,或牙槽骨已严重吸收,拔牙后行种植牙更合适,避免因残根问题导致修复失败或继发感染,最终需通过CBCT、牙周探诊等检查,由医生判断。

问题2:核冠修复后的牙齿和种植牙,日常维护有什么区别?
解答:
- 核冠修复:需避免咬硬物(如坚果、螃蟹壳),防止桩核折断或牙冠崩裂;使用巴氏刷牙法清洁牙冠边缘,防止继发龋;定期复查(每6个月-1年),检查桩核是否松动、牙冠有无磨损。
- 种植牙:维护与天然牙类似,需每天刷牙、使用牙线/冲牙器清洁种植体周围,避免种植体周围炎;戒烟限酒(吸烟会增加种植体失败风险);定期复查(每年1次),检查种植体稳定性、咬合情况及牙冠状态,两者均需保持良好口腔卫生,延长修复体使用寿命。
