牙槽骨突出是口腔正畸中常见的骨骼性或牙齿性畸形问题,主要表现为上颌或下颌牙槽骨向前异常突起,常伴随牙齿前突、嘴唇外翻、侧面轮廓不美观等症状,许多患者希望通过正畸治疗改善这一状况,但牙槽骨突出正畸是否有用,需结合具体病因、突出程度、牙齿代偿能力等多方面因素综合判断,本文将从牙槽骨突出的成因、正畸治疗的原理、不同情况下的适用性及局限性等角度展开详细分析。
牙槽骨突出的成因与类型
牙槽骨突出并非单一疾病,而是多种因素共同作用的结果,主要可分为两类:牙齿性代偿和骨骼性畸形。

牙齿性代偿性突出
这类患者的牙槽骨基础形态正常,但因牙齿排列异常(如牙列拥挤、个别牙前倾、长期不良习惯如口呼吸、咬唇等),导致牙齿代偿性向前移动,进而使牙槽骨表面呈现“突出”外观,其核心问题在于牙齿位置异常,而非骨骼本身发育过度。
骨骼性畸形突出
此类患者的牙槽骨及颌骨本身发育异常,表现为上颌前突(“龅牙”)、下颌前突(“地包天”)、双颌前突等,牙槽骨的突出是骨骼结构问题的外在表现,骨骼性突出又可分为单纯性骨性畸形和牙性-骨性混合畸形,后者同时存在牙齿排列问题和骨骼发育异常。
正畸治疗牙槽骨突出的原理与作用机制
正畸治疗通过施加持续、轻柔的生物力,引导牙齿在牙槽骨内移动,并利用牙槽骨的“改建能力”(即受压侧骨吸收、牵引侧骨沉积)实现牙齿位置调整,对于牙槽骨突出,正畸的作用机制因类型而异:
牙齿性代偿性突出的正畸原理
此类患者的牙槽骨骨量充足,骨骼形态基本正常,正畸治疗可通过“内收牙齿”改善突度,具体包括:

- 排齐牙列:解除拥挤,为牙齿向后移动提供空间;
- 牙齿整体移动:通过托槽、弓丝等装置施加“根舌向、冠唇向”的力,将前倾的牙齿直立并向舌侧移动;
- 关闭拔牙间隙:若存在牙列严重拥挤,可能通过拔除前磨牙,利用拔牙间隙内收前牙,显著改善牙槽骨突度。
骨骼性畸形的正矫原理与局限性
对于骨骼性突出,正畸治疗的作用相对复杂:
- 轻度骨性畸形:通过牙齿代偿性移动(如将后牙前移、前牙后压),在视觉上改善突度,但无法改变骨骼基础形态;
- 中重度骨性畸形:单纯正畸难以解决骨骼问题,需联合正颌手术(如上颌骨后退术、下颌骨前徙术等),通过手术调整颌骨位置后,再通过正畸精细调整牙齿咬合关系。
不同类型牙槽骨突出的正畸适用性与效果判断
正畸治疗牙槽骨突出的效果,取决于突出类型、严重程度、患者年龄及治疗意愿,以下通过表格对比常见类型的正畸适用性及预期效果:
| 突出类型 | 主要表现 | 正畸适用性 | 预期效果 | 是否需联合治疗 |
|---|---|---|---|---|
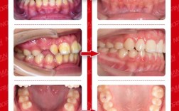
| 牙齿性代偿性突出 | 牙列拥挤、个别牙前倾,牙槽骨突度与牙齿位置相关,侧面观鼻-唇-颏协调性尚可 | 高度适用 | 牙齿内收后突度显著改善,面型协调性提升,效果稳定 | 无(单纯正畸即可) |
| 轻度骨性前突 | 上/下颌牙槽骨轻度前突,牙齿代偿明显,无明显骨骼不对称 | 适用(需谨慎评估) | 通过牙齿代偿改善突度,但改善程度有限,术后需长期保持 | 部分患者需配合微种植钉增强支抗 |
| 中重度骨性前突 | 牙槽骨及颌骨明显前突,牙齿代偿能力不足,侧面观“突面”显著,伴咬合紊乱 | 单纯正畸效果有限 | 仅能轻微调整牙齿位置,无法改变骨骼突度,需联合正颌手术 | 必须联合正颌手术+术后正畸 |
| 牙槽骨局部增生 | 因牙周病、长期创伤性咬合等导致牙槽骨局部增生(如“骨刺”),伴牙龈红肿、出血 | 需先控制牙周病,再评估正畸可行性 | 正畸可调整牙齿位置,减少对增生部位的刺激,但骨性增生无法通过正畸消除 | 部分患者需配合牙周手术+骨修整 |
正畸治疗的关键步骤与注意事项
全面检查与诊断
正畸治疗前需进行详细检查,包括:
- 临床检查:牙齿排列、咬合关系、牙周健康状况、面部对称性;
- 影像学检查:曲面断层片(观察牙根、牙槽骨高度)、头影测量片(分析骨骼突度、牙齿代偿情况)、CBCT(三维评估牙槽骨厚度与形态);
- 模型分析:制作石膏模型,模拟牙齿移动方案。
个性化方案设计
根据诊断结果制定方案:

- 牙齿性突出:以排齐、内收为主,可能采用拔牙(如拔除第一前磨牙)或非拔牙方案(通过扩弓、磨改牙齿后推);
- 轻度骨性突出:通过微种植钉(支抗钉)增强支抗,实现前牙高效内收;
- 中重度骨性突出:转诊正颌外科,先行正畸术前准备(如排齐牙齿、调整咬合),再行手术,术后正畸精细调整。
治疗过程中的注意事项
- 牙周健康维护:牙槽骨突出患者常伴牙周问题,需定期洁治、控制炎症,避免正畸过程中牙槽骨进一步吸收;
- 支抗控制:前牙内收时需避免后牙前移,可通过微种植钉、横腭杆等增强支抗;
- 力值轻柔:避免过大正畸力导致牙根吸收或牙槽骨损伤;
- 保持器佩戴:正畸结束后需佩戴保持器(如 Hawley 保持器、透明保持器),防止牙齿复发,稳定牙槽骨改建效果。
正畸治疗的局限性
尽管正畸对牙槽骨突出有显著改善作用,但存在明确局限性:
- 无法改变骨骼基础形态:对于中重度骨性突出,单纯正畸无法调整颌骨位置,必须联合手术;
- 对牙槽骨骨量要求高:若牙槽骨严重吸收(如牙周病晚期),正畸移动牙齿可能导致骨裂或牙齿松动;
- 效果依赖患者配合:如未按时佩戴橡皮筋、保持器,或存在不良习惯(如继续口呼吸),易导致复发;
- 时间成本较高:牙齿移动速度约为1mm/月,复杂病例可能需2-3年,需患者长期坚持。
相关问答FAQs
问题1:成年人牙槽骨突出正畸还有用吗?会不会反弹?
成年人正畸同样有效,但需注意:成年人的牙槽骨改建速度较青少年慢,治疗时间可能延长;若存在骨性突出,需评估是否联合手术,反弹风险主要与治疗后保持不当、不良习惯未纠正有关,因此正畸结束后需终身佩戴保持器(尤其是前3年需全天佩戴,之后夜间佩戴),并定期复查,可有效降低复发概率。
问题2:正畸治疗会导致牙槽骨吸收吗?如何避免?
正畸过程中,牙齿移动会伴随牙槽骨的生理性改建(受压侧吸收、牵引侧沉积),属于正常现象,但如果正畸力过大、患者牙周基础差(如未经治疗的牙周炎),或治疗过程中口腔卫生不佳,可能导致病理性牙槽骨吸收,为避免这一问题,治疗前需彻底治疗牙周病,治疗中保持良好口腔卫生(使用巴氏刷牙法、牙线、冲牙器),医生会通过定期复查(如拍X光片监测牙槽骨高度)调整力值,确保安全。
