骨性地包天,医学上称为“骨性Ⅲ类错颌畸形”,是指由于上下颌骨发育不协调导致下颌骨相对于上颌骨过度前突或上颌骨发育不足,表现为“地包天”的面型,同时常伴随前牙反颌(下前牙咬在上前牙唇侧)、面中份凹陷、下颌角过突等特征,与牙性地包天(仅牙齿排列异常)不同,骨性地包天的根源在于骨骼结构异常,矫正难度更大,需结合正畸与正颌外科治疗,而矫正过程中的影像学图示(如X光片、3D模型图、效果图等)对方案设计和效果预判至关重要。
骨性地包天的诊断与矫正图示意义
骨性地包天的诊断需结合临床检查和影像学分析,矫正图示”是核心依据,常见的诊断图示包括:

- 头颅侧位片:通过测量骨骼标志点(如SNA角、SNB角、ANB角、下颌平面角等)判断颌骨发育情况,SNB角增大(正常约80°)提示下颌骨前突,SNA角减小(正常约82°)提示上颌骨发育不足,ANB角为负值(正常约2°-4°)是骨性Ⅲ类错颌的关键指标。
- 全景片:观察牙齿发育情况,如是否存在多生牙、埋伏牙、牙根吸收,以及牙槽骨的健康状况。
- 3D数字化模型:直观展示牙齿排列、咬合关系和牙弓形态,结合口内扫描数据,可模拟牙齿移动路径,预测矫正效果。
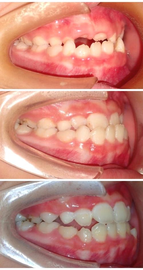
- 面部摄影与面部扫描图:包括正面、侧面、45°侧面像,记录患者矫正前的面型特征(如下唇后缩、颏部前突),与矫正后对比评估改善效果。
这些图示不仅是医生制定方案的“导航”,也是患者理解治疗难度、预期效果的重要参考。
骨性地包天正畸矫正的流程与图示应用
骨性地包天的矫正需分阶段进行,不同阶段依赖不同的图示指导:
初诊检查与方案设计阶段
此阶段以“诊断图”为核心,通过头颅侧位片、全景片、3D模型等综合分析骨骼畸形程度、牙齿代偿情况(如下前牙舌倾、上前牙唇倾以代偿反颌)及患者面型需求,若头颅侧位片显示SNB角85°(下颌前突)、ANB角-3°(骨性Ⅲ类),且3D模型显示前牙反覆颌深、反覆盖大,需判断是否通过单纯正畸改善,或需联合正颌手术。
矫治阶段:不同方法的图示应用
根据骨性畸形程度,矫正方法分为三类,对应不同的矫治器与图示监控:

| 矫正方法 | 适用情况 | 矫治器与图示应用 |
|---|---|---|
| 单纯正畸矫正 | 轻度骨性Ⅲ类(ANB角-1°~-3°),青少年(生长发育期) | 使用上颌前方牵引矫治器(通过头颅侧位片监控上颌骨前移效果)、下颌垂直牵引帽(抑制下颌生长);或隐形矫正(通过3D动态模拟图调整牙齿移动)。 |
| 正畸-正颌联合治疗 | 中重度骨性Ⅲ类(ANB角<-3°),成人或生长发育完成者 | 先通过正畸(如传统托槽、隐形矫正)排齐牙齿、调整咬合(全景片监控牙根平行),再通过正颌手术(如下颌骨后退术、上颌骨前徙术),术后通过3D模型验证咬合关系。 |
| 功能性矫治器 | 替牙期儿童(8-12岁),骨性畸形尚在进展期 | 如FRⅢ矫治器、 Twin-block矫治器,通过头颅侧位片观察下颌骨旋转、上颌骨生长方向的改变。 |
保持阶段:图示监控与效果维持
矫正结束后,需通过保持器(如 Hawley保持器、透明保持器)维持效果,定期拍摄全景片、头颅侧位片,监控牙齿稳定性和骨骼复发情况(如下颌骨是否有轻微前移趋势)。
矫正过程中的注意事项
- 年龄因素:青少年处于生长发育高峰期,可通过生长改良治疗(如前方牵引)引导颌骨正常发育,避免手术;成人骨骼已定型,通常需联合正颌手术,矫正周期更长(约2-3年)。
- 口腔卫生:矫治器(如托槽、隐形牙套)易存食物残渣,需使用正畸专用牙刷、牙线,避免龋齿和牙周炎,否则可能影响矫正效果。
- 饮食与习惯:避免咬硬物(如坚果、骨头),纠正吮指、咬唇等不良习惯,防止畸形复发。
- 心理调适:骨性地包天可能影响面型美观,患者需对矫正周期(尤其是手术患者)有合理预期,积极配合治疗。
效果维持与长期管理
骨性地包天矫正后复发风险较高,尤其是中重度患者,需做到:
- 终身佩戴保持器:前1-2年除进食外需全天佩戴,之后夜间长期佩戴。
- 定期复查:每6个月拍摄全景片、检查咬合关系,及时发现并处理复发迹象。
- 避免不良刺激:如长期单侧咀嚼、夜磨牙等,必要时佩戴颌垫保护。
相关问答FAQs
Q1:骨性地包天矫正一定要手术吗?
A:不一定,轻度骨性Ⅲ类(如下颌轻微前突、反覆颌浅)的青少年患者,可通过生长改良治疗(如前方牵引)或单纯正畸矫正改善;中重度患者(如下颌明显前突、面中份凹陷)或成人患者,通常需正畸-正颌联合治疗才能达到理想效果,具体需通过头颅侧位片、3D模型等检查,由医生综合判断。
Q2:矫正后效果会反弹吗?如何预防?
A:骨性地包天矫正后存在一定复发风险,尤其是骨骼畸形未完全纠正或患者未保持良好习惯,预防方法包括:①严格佩戴保持器(尤其是术后患者);②纠正不良口腔习惯(如咬唇、夜磨牙);③定期复查(每6个月),医生通过影像学检查监控骨骼和牙齿稳定性,及时调整方案。

