门牙一前一后是常见的牙齿排列问题,医学上多表现为深覆盖、深覆合或个别牙齿错位,不仅影响美观,还可能引发咬合异常、牙周健康等问题,正畸治疗是解决此类问题的有效手段,而正畸图片则贯穿治疗始终,既是诊断依据,也是记录进展、评估效果的重要工具,以下从门牙一前一后的常见类型、正畸图片的作用、不同阶段的图片对比及典型病例解析等方面展开详细说明。
门牙一前一后的常见类型及图片表现
门牙一前一后的错颌类型多样,不同类型的牙齿排列特征在正畸图片中呈现明显差异,需通过临床检查和影像学检查综合判断。

深覆盖(龅牙)伴个别牙后缩
深覆盖是指上前牙切端至下前牙唇面的水平距离超过3mm,常伴随上颌中切牙唇向倾斜或下颌中切牙舌向倾斜,在口内正畸图片中,可见上颌门牙明显突出于下颌门牙之前,下颌侧切牙可能因代偿性舌倾而“藏”在上颌门牙后方,形成“一前一后”的视觉错位,全景片可显示上颌牙根唇向倾斜,下颌牙根舌向倾斜,头颅侧位片则提示上颌前突或下颌后缩的骨骼因素。
深覆合导致的上前牙前突、下前牙后缩
深覆合是指上前牙切盖过下前牙切端的垂直距离过大,上前牙可能因咬合压力过度唇倾,下前牙则因无足够空间而舌向倾斜或拥挤,在口内照中,可见上颌门牙“悬”在下颌门牙前方,下颌门牙被上颌门牙完全覆盖,侧面观时下颌后缩、下唇凹陷,形成“天包地”的部分表现,X光片可能显示下颌前牙区牙槽骨吸收,牙周健康受影响。
反合(地包天)中的前牙反覆盖
反合是指下前牙切端位于上前牙切端的前方,常见于下颌前突或上颌发育不足,在正畸图片中,下颌门牙明显位于上颌门牙之前,形成“一前一后”的反向关系,部分患者伴随上颌门牙唇向倾斜(代偿性前突)或下颌门牙唇倾,头颅侧位片可显示下颌骨位置靠前,上颌发育不足,严重时需配合正颌手术矫正。
正畸图片的作用与意义
正畸图片是正畸诊断、方案设计和效果评估的核心依据,不同类型的图片从不同角度记录牙齿、颌骨及面型的变化。

正畸图片类型及作用
| 图片类型 | 作用 | |
|---|---|---|
| 口内照 | 记录牙齿排列、牙龈形态、咬合关系等口腔内软硬组织情况 | 正面观显示门牙“一前一后”的错位程度,侧面观显示唇突度、颏部形态 |
| 全景片(曲面断层片) | 观察全口牙齿、牙根形态、牙槽骨情况及颌骨发育状况 | 上颌牙根是否吸收、下颌前牙区牙槽骨厚度、是否存在多生牙或埋伏牙 |
| 头颅侧位片 | 分析骨骼型(上颌前突/下颌后缩/下颌前突)、牙齿代偿情况及软组织侧貌 | SNA角(上颌位置)、SNB角(下颌位置)、上下前牙轴倾度等测量数据 |
| 牙齿模型 | 直观展示牙齿拥挤度、咬合接触关系,用于方案设计和保持器制作 | 在模型上模拟牙齿移动路径,评估排齐和内收的可行性 |
| 口腔CBCT | 三维显示牙根位置、骨量及重要解剖结构(如下牙槽神经管),用于复杂病例 | 埋伏牙位置、牙根间骨量是否充足,指导种植钉植入或外科手术辅助正畸 |
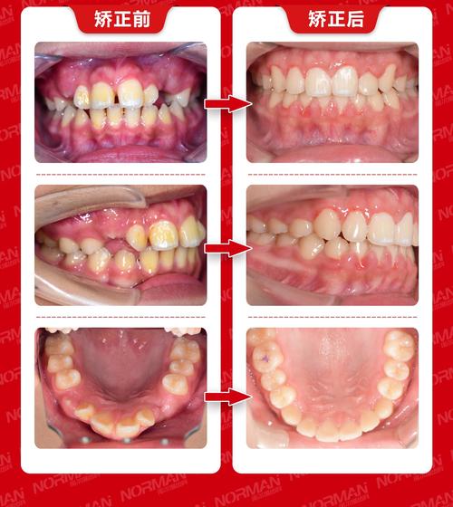
不同矫正阶段的图片对比
正畸治疗是一个动态过程,通过不同阶段的图片对比,可直观反映牙齿移动和面型改善效果。
治疗前:记录初始问题
治疗前需拍摄全套正畸图片,包括口内照(正面、侧面、咬合面)、全景片、头颅侧位片等,建立完整的“初始档案”,深覆盖患者的口内正面照可见上颌门牙明显突出,侧面照显示“凸面型”;头颅侧位片测量显示SNA角过大(上颌前突),覆盖达8mm,这些图片是制定矫正方案的“基石”,需精确记录每一处异常。
治疗中:监控进展与调整
治疗过程中(通常每1-2个月复诊一次),医生会拍摄口内照对比牙齿移动情况,使用固定矫治器治疗时,初期(1-3个月)图片可见牙齿开始排齐,门牙倾斜度改善;中期(6-12个月)图片显示上前牙内收、下前牙唇向移动,覆盖逐渐减小;末期(拆除矫治器前)图片需确认咬合关系稳定,无深覆盖、深覆合等问题。
治疗后:评估效果与维持
拆除矫治器后,拍摄治疗后图片与治疗前对比,评估矫正效果,理想状态下,口内正面照显示牙齿排列整齐,侧面照“凸面型”改善,面型协调;头颅侧位片显示覆盖、覆合正常,SNA/SNB角趋于正常,需拍摄保持器佩戴后的图片,确保牙齿无复发趋势。

典型病例图片解析
病例1:青少年深覆盖伴下颌中切牙舌倾
- 治疗前:口内正面照见上颌中切牙明显唇突,下颌中切牙舌向倾斜并位于上颌中切牙后方,覆盖6mm;全景片显示下颌中切牙牙根舌侧骨板较薄;头颅侧位片示SNA角82°(正常值80°±2°),上颌轻度前突,下颌中切牙轴倾度65°(正常值95°±5°)。
- 治疗中:采用固定矫治器,配合种植钉支抗内收上前牙,6个月后口内照见上前牙内收3mm,下颌中切牙唇向移动2mm,覆盖减小至3mm。
- 治疗后:口内侧面照显示唇部突度改善,面型自然;头颅侧位片示SNA角80°,下颌中切牙轴倾度90°,覆盖、覆合正常,磨牙关系中性。
病例2:成人反合(地包天)伴上颌发育不足
- 治疗前:口内咬合面照见下前牙完全位于上前牙前方,反覆盖4mm;CBCT显示上颌前牙区牙槽骨厚度不足,下颌前牙区牙根无明显吸收;头颅侧位片示SNB角88°(正常值80°±2°),下颌前突,ANB角-2°(骨性Ⅲ类)。
- 治疗中:采用隐形矫治器配合上颌前方牵引,12个月后口内照见反覆盖解除,上前牙唇向移动,下颌前牙舌向移动。
- 治疗后:正面照显示面部对称性改善,侧面观颏部后缩减轻;全景片示牙根无吸收,咬合稳定。
正畸过程中的注意事项
正畸治疗期间,定期拍摄图片复诊至关重要,患者需注意:
- 口腔卫生维护:托槽周围易存留食物残渣,需使用正畸牙刷、牙线清洁,避免牙龈炎、龋齿,否则在口内照中可见牙龈红肿、牙釉质脱矿(白斑)。
- 饮食与复诊:避免啃硬物(坚果、骨头)以防托槽脱落,影响治疗进度;按时复诊,医生通过对比图片调整矫治力,确保牙齿按计划移动。
- 保持器佩戴:拆除矫治器后,需全天佩戴保持器1-2年,之后夜间长期佩戴,通过定期拍摄保持器佩戴后的图片,监控牙齿稳定性,防止复发。
相关问答FAQs
Q1:门牙一前一后正畸后能完全恢复整齐吗?效果能维持多久?
A1:多数情况下,通过规范的正畸治疗,门牙一前一后的问题可显著改善,达到牙齿排列整齐、咬合功能正常、面型协调的效果,具体效果取决于错颌类型(骨性或牙性)、患者年龄(青少年骨改建能力强,效果更佳)、治疗依从性(如保持器佩戴情况)及医生技术,治疗后佩戴保持器是维持效果的关键,若能按要求佩戴,效果可长期稳定;若不戴保持器,牙齿可能因生长、咀嚼习惯等因素复发。
Q2:正畸过程中门牙松动正常吗?如何处理?
A2:正畸过程中牙齿出现轻微松动是正常现象,牙齿在矫治力的作用下会发生生理性移动,牙根周围的牙槽骨会吸收并重建,因此松动度会增加,通常在治疗结束后逐渐恢复稳定,若松动度过大(如牙齿明显晃动、疼痛),需及时复诊,排除矫治力过大、牙周炎等问题,治疗中需注意避免咬硬物,减少外力对松动牙齿的刺激,同时保持口腔卫生,预防牙周炎症加重松动。
