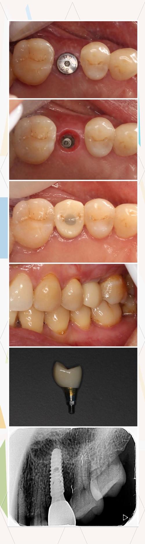
种牙二期手术通常是为了安装愈合基台,暴露种植体顶部,为后续的牙冠修复做准备,虽然手术本身创伤相对较小,但术后出现一定程度的疼痛是常见的生理反应,多数情况下属于正常恢复过程,但也需警惕异常疼痛信号,及时区分并处理。
二期手术后正常疼痛的原因与表现
二期手术需要在牙龈上做一个微小切口,将种植体从牙龈下暴露出来,这个过程会对牙龈组织造成轻微创伤,引发局部炎症反应,从而产生疼痛,正常疼痛通常具有以下特点:疼痛程度较轻,多为轻微胀痛或钝痛,不影响日常生活;持续时间短,一般术后3-5天内逐渐缓解;伴随轻微肿胀,可能少量渗血,但无脓性分泌物;通过休息、冰敷或服用非处方止痛药后可明显改善。

疼痛的产生主要与手术创伤导致的局部组织释放炎性介质(如前列腺素、白三烯)有关,这些物质刺激神经末梢,引发疼痛信号,术后牙龈处于修复期,组织增生、愈合也可能带来短暂的不适感,如果术后初期咀嚼时碰到手术区域,也可能因压迫导致短暂疼痛,但停止触碰后可迅速缓解。
异常疼痛的可能原因与处理
若疼痛程度较重(如持续性剧痛、夜间加重)、持续时间超过1周,或伴随以下症状,则可能属于异常情况,需及时就医:红肿热痛明显,局部有脓性分泌物;牙龈边缘出血不止,或伴有异味;疼痛放射至耳颞部、头部,或伴张口受限;种植体周围牙龈萎缩、松动。
异常疼痛的常见原因包括:感染,多因术中无菌操作不严格、术后口腔卫生维护不当导致细菌侵入创口,引发局部软组织感染,表现为红肿热痛加剧,可能有脓液;种植体周围炎,若一期手术后已有潜在炎症,或二期手术创伤过大,可能刺激种植体周围骨组织吸收,导致炎症反应,疼痛伴牙龈出血;咬合创伤,若愈合基台安装后与对颌牙接触过紧,咀嚼时种植体受力过大,引发牙周韧带创伤性疼痛,表现为咬合时明显疼痛、不敢用力;神经损伤,罕见情况下,手术操作可能损伤下牙槽神经或颏神经,导致持续性麻木、疼痛,甚至感觉异常。
正常与异常疼痛的对比
| 对比维度 | 正常疼痛 | 异常疼痛 |
|---|---|---|
| 疼痛程度 | 轻微胀痛、钝痛,可忍受 | 持续性剧痛,影响睡眠、进食 |
| 持续时间 | 3-5天逐渐缓解 | 超过1周无缓解或加重 |
| 伴随症状 | 轻微肿胀、少量渗血,无脓液 | 红肿热痛明显,脓性分泌物,出血不止 |
| 缓解方式 | 休息、冰敷、止痛药可改善 | 休息、药物无效,需专业干预 |
| 与咬合关系 | 咀嚼时轻微疼痛,停止后缓解 | 咬合时剧痛,不敢用患侧咀嚼 |
术后疼痛的缓解与护理
即使是正常疼痛,科学的护理也能加速恢复:术后24小时内,可用冰袋(包裹毛巾)间歇性冷敷术区,每次15分钟,间隔1小时,有助于收缩血管,减轻肿胀和疼痛;术后24小时后,若肿胀未加重,可改为温热敷,促进局部血液循环;饮食注意,选择温凉、软质食物(如粥、酸奶、果泥),避免过热、过硬、辛辣刺激性食物,减少对创口的刺激;口腔卫生,术后24小时内避免刷牙漱口,之后可用漱口水(如氯己定漱口液)轻轻含漱,避免直接刷手术区域,防止出血;药物使用,若疼痛明显,可在医生指导下服用非甾体抗炎药(如布洛芬),避免长期使用阿司匹林(可能增加出血风险)。

种牙二期手术后疼痛多数是正常恢复过程的体现,但需密切观察疼痛的性质、持续时间及伴随症状,若疼痛轻微且逐渐缓解,无需过度担心,通过科学护理可促进愈合;若出现异常疼痛信号,应及时复诊,明确原因(如感染、咬合创伤等),针对性处理,避免影响种植体远期成功率,术后定期复查、保持良好口腔卫生、遵医嘱修复,是保障种牙效果的关键。
相关问答FAQs
Q1:种牙二期手术后疼得厉害,能自己吃止痛药吗?
A:若疼痛程度较轻(如VAS评分3分以下,可忍受),可通过休息、冷敷缓解;若疼痛明显影响生活,可在医生指导下短期服用非甾体抗炎药(如布洛芬200mg,每6-8小时1次,不超过3天),但需注意,止痛药仅缓解症状,若疼痛持续或加重,需及时就医排查感染等问题,避免自行长期用药掩盖病情。
Q2:二期手术后一周,牙龈还是疼,偶尔有刺痛感,正常吗?
A:术后一周疼痛应逐渐缓解,若仍存在刺痛或持续性疼痛,可能属于异常情况,常见原因包括:愈合基台与对颌牙咬合过高,导致创伤性疼痛;或局部存在轻微感染,未完全控制,建议及时复诊,医生会通过检查咬合关系、拍摄X光片等明确原因,必要时调整基台或进行抗感染治疗,避免延误病情。

