口外正畸牵引是正畸治疗中一种重要的辅助手段,通过佩戴口外装置(如头帽、颏兜、J钩等)利用外部力量对颌骨、牙齿或牙槽骨施加牵引力,以纠正骨性畸形、调整牙齿位置或辅助复杂病例治疗,其效果并非绝对“好”或“不好”,而是取决于适应症选择、患者配合度、医生技术及治疗方案设计等多重因素,需结合具体病例客观评估。
口外正畸牵引的核心作用与适用场景
口外牵引的核心优势在于“外部干预的精准性”,能突破单纯口内矫治的局限,针对特定问题发挥作用,其主要适用场景包括:

骨性颌面畸形矫正
对于生长发育期的青少年,骨性畸形(如上颌前突导致的“凸嘴”、下颌后缩导致的“小下巴”)可通过口外牵引调控颌骨生长方向,使用头帽-颈带装置牵引上颌骨向后,抑制上颌过度发育;用颏兜牵引下颌骨向前,促进下颌生长,从而改善面型对称性和协调性,此类干预在青春发育高峰期(女性8-10岁,男性10-12岁)效果最佳,可避免成年后正颌手术。
牙性畸形中的支抗强化
在牙性深覆盖、深覆合病例中,口内矫治器移动前牙时,常需后牙作为“支抗”避免其前移,口外牵引(如头帽-第一磨牙带环装置)可增强后牙支抗,防止磨牙前移,为前牙内收提供足够空间,缩短治疗周期。
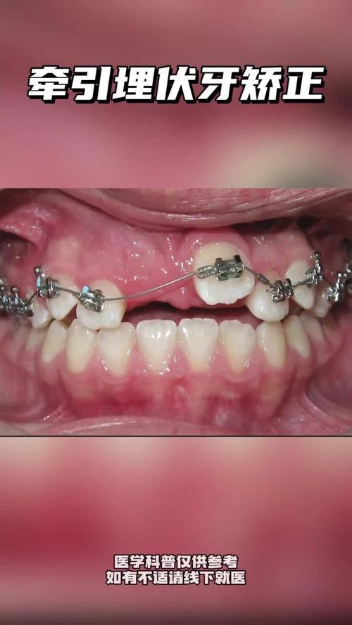
复杂病例的辅助治疗
对埋伏牙、阻生牙(如上颌尖牙、上颌前牙),口外牵引可通过J钩或固定矫治器连接牵引钩,将牙齿引导至牙弓正常位置;对开颌、反颌等病例,通过牵引调整颌骨垂直向或水平向关系,改善咬合功能。
影响口外牵引效果的关键因素
口外牵引的效果并非单一因素决定,需综合考量以下方面:

患者配合度:效果的核心前提
口外装置需患者自行佩戴,每日佩戴时间(通常10-14小时)和规范性直接影响疗效,骨性牵引需持续施加力量才能引导颌骨改建,若患者因美观、不适等原因随意缩短佩戴时间,可能导致牵引失败或畸形加重,临床数据显示,配合度高的患者有效率可超80%,而配合度差者不足40%。
医生技术与方案设计
牵引力的方向、大小、作用点需精确设计:方向错误可能加重畸形(如下颌后缩者误用向后牵引力);力量过大易导致牙根吸收、颞下颌关节损伤;力量过小则无法达到生物改建阈值,上颌牵引一般每侧施加300-500g牵引力,下颌牵引150-300g,需根据患者年龄、畸形程度动态调整。
生长发育阶段:效果的决定性变量
青少年处于颌骨生长发育活跃期,骨改建能力强,牵引效果显著;成年人颌骨停止发育,口外牵引只能通过牙齿代偿移动改善面型,效果有限,常需结合正颌手术,12岁下颌后缩患者通过颏兜牵引可促进下颌生长,而25岁患者可能需通过正颌手术矫正。
个体差异与基础条件
颌骨密度、软组织张力、口腔卫生状况等也会影响效果,颌骨密度高者需更长时间牵引;软组织紧张(如厚嘴唇、颊脂垫丰满)可能限制牙齿移动;口腔卫生差者易导致牙龈炎、牙周炎,甚至影响矫治器固位。

口外牵引的优势与局限性
优势:
- 非手术干预骨性畸形:避免早期正颌手术创伤,适合生长发育期患者;
- 精准控制牙齿移动:增强支抗,避免后牙前移,提高矫治效率;
- 性价比高:费用相对正颌手术低,适合经济条件有限者。
局限性:
- 依赖患者配合:舒适度差(如头帽影响外观、颏兜压迫颏部),部分患者难以坚持;
- 治疗周期长:通常需6-18个月,需定期复诊调整装置;
- 潜在风险:如牵引力不当导致牙根吸收、关节疼痛、皮肤压痕等,发生率约5%-10%。
不同适应症下的预期效果(简表总结)
| 适应症类型 | 预期效果 | 影响因素 | 注意事项 |
|---|---|---|---|
| 骨性上颌前突 | 抑制上颌骨向前生长,改善侧貌突度 | 牵引力大小、方向;患者生长发育阶段;配合度 | 需在生长发育高峰期前开始,避免过度牵引导致下颌后缩 |
| 牙性深覆盖 | 促进上颌磨牙远中移动,减少前牙覆盖 | 牵引时间(每天≥12小时);口内装置固位情况 | 需配合口内矫治器,避免支抗丧失 |
| 埋伏牙牵引 | 引导埋伏牙至正常位置,恢复咀嚼功能 | 牵引力方向(精确至牙长轴);埋伏牙位置;牙根发育情况 | 术前需CBCT定位,避免损伤邻牙牙根 |
| 下颌后缩 | 促进下颌骨向前生长,改善 chin 后缩 | 牵引力方向(垂直或向前);患者年龄;颞下颌关节适应性 | 避免夜间单侧牵引,导致关节受力不均 |
治疗过程中的注意事项
- 严格佩戴规范:按医嘱每日佩戴足够时间,记录佩戴日志,复诊时供医生调整方案;
- 口腔卫生维护:佩戴装置后加强刷牙、使用牙线,避免食物嵌塞和牙龈炎;
- 定期复诊监测:每4-6周复诊一次,检查牵引效果、装置固位情况及软组织反应;
- 及时反馈问题:出现疼痛、装置松动、关节弹响等需立即复诊,避免并发症;
- 保持器维持:治疗后需保持器长期维持(至少2年),避免复发,尤其是骨性畸形。
相关问答FAQs
Q1:口外正畸牵引需要每天戴多久?
A:佩戴时间因畸形类型和严重程度而异,骨性畸形(如下颌后缩、上颌前突)需每天佩戴12-14小时,通常包括夜间睡眠时和部分白天时间;牙性畸形(如深覆盖)可每天佩戴10-12小时,若佩戴时间不足,牵引力累积效应不够,会导致治疗周期延长或效果不佳,医生会根据复诊时牙齿移动和颌骨变化动态调整时间,需严格遵医嘱执行。
Q2:成年人做口外正畸牵引还有效果吗?
A:成年人颌骨已停止发育,口外牵引无法改变颌骨大小和形态,但可通过牙齿代偿性移动改善面型和咬合关系,轻度上颌前突的成年人,通过口外牵引抑制上颌牙弓前段前突,结合内收前牙,可一定程度改善突度;对于埋伏牙,口外牵引仍能有效引导其萌出,但效果不如青少年显著,且可能需结合正畸-正颌联合治疗,最终效果需医生通过X线片、模型等评估后确定。
