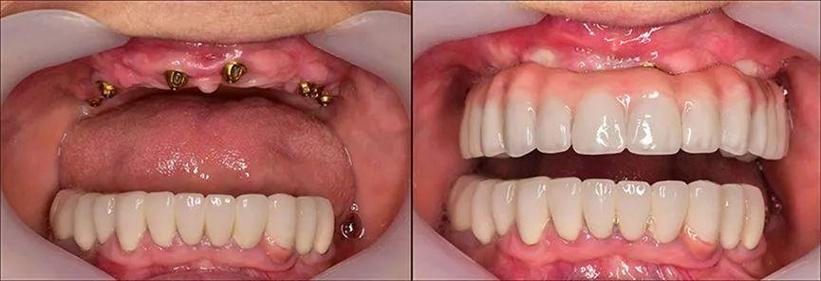
种植牙作为目前修复缺失牙齿的理想方式,凭借其接近天然牙的功能与美观,已成为越来越多缺牙患者的首选,而在全球种植体市场中,欧美品牌与韩国品牌凭借各自的技术特点和优势占据着重要地位,两者在设计理念、材料工艺、适应症范围及价格定位上存在显著差异,了解这些差异有助于患者根据自身情况做出更合适的选择。
从技术发展历史来看,欧美种植牙技术起步较早,20世纪中叶便开始了系统性的研究与临床应用,以瑞士的Nobel Biocare(诺贝尔)、瑞典的Straumann(士卓曼)、德国的Ankylos(安格斯)等为代表的品牌,历经数十年临床验证,形成了成熟的技术体系,这些品牌在种植体材料上多采用四级或五级纯钛,表面处理技术先进,如Straumann的SLA活性表面处理(大颗粒喷砂及酸蚀),能显著促进骨细胞附着与骨结合,将种植体的初期稳定性与长期成功率提升至较高水平——临床数据显示,其10年成功率可达95%以上,欧美种植体在适应症上覆盖范围更广,不仅适用于牙槽骨条件良好的患者,针对骨量不足的情况,也有配套的骨增量技术(如引导骨再生术GBR)及个性化基台解决方案,能够满足复杂口腔修复需求,但需要注意的是,欧美种植体因研发成本高、生产工艺复杂,价格普遍较高,单颗种植费用通常在1.5万-3万元人民币不等,且对医生的技术水平和医院设备要求较高,手术周期相对较长(通常需3-6个月完成骨结合与修复)。

相比之下,韩国种植牙技术虽然起步较晚,但发展迅速,以Osstem(奥齿泰)、Dentium(登腾)、Megagen(美格真)等品牌为代表,凭借高性价比和针对亚洲人群的适应性设计,在亚洲市场占据主导地位,韩国种植体在材料上同样采用医用纯钛,但更注重优化种植体的外形设计与表面处理工艺,Osstem的TSIII SA型号采用锥形设计,有助于种植体在植入时获得更好的初期稳定性;Dentium的SuperLine系列则通过S.L.A.表面处理技术,缩短骨结合时间,部分患者可实现3-4周的快速修复,韩国种植体价格亲民,单颗费用通常在8000-1.5万元人民币,且产品线丰富,从基础款到高端款覆盖不同需求,适合预算有限或追求高效修复的患者,韩国种植体的长期临床数据积累相对欧美稍短,部分品牌的高端型号虽在复杂病例中表现良好,但在严重骨缺损病例中的应用经验可能不如欧美品牌成熟。
为了更直观地对比欧美与韩国种植体的核心差异,可通过以下表格呈现:
| 对比维度 | 欧美种植体(如Straumann、Nobel) | 韩国种植体(如Osstem、Dentium) |
|---|---|---|
| 技术历史 | 起步早(20世纪50年代),临床数据丰富(30年以上) | 起步较晚(20世纪90年代),但发展迅速,数据积累约15-20年 |
| 材料与表面处理 | 多用四级/五级纯钛,表面处理技术成熟(如SLA、SLActive) | 医用纯钛,注重锥形设计及优化表面处理(如S.L.A、UV处理) |
| 适应症范围 | 广泛,尤其适合复杂病例(严重骨缺损、即刻种植等) | 侧重常规及轻度骨缺损病例,部分高端型号支持复杂修复 |
| 价格区间 | 单颗1.5万-3万元人民币 | 单颗8000-1.5万元人民币 |
| 手术周期 | 骨结合时间3-6个月,部分需骨增量延长周期 | 骨结合时间3-4周(部分快速修复),周期较短 |
| 成功率 | 10年成功率95%以上 | 5-10年成功率90%-95%,长期数据仍在积累中 |
| 性价比 | 价格高,但长期稳定性与复杂病例适应性强 | 价格适中,修复效率高,适合常规缺牙及预算有限患者 |
在选择种植体时,患者需结合自身口腔条件、经济预算及修复需求综合考量,若牙槽骨条件较差、需进行复杂骨增量手术,或对种植体长期稳定性有极高要求,欧美品牌可能是更稳妥的选择;若牙槽骨条件良好、预算有限或希望缩短修复周期,韩国品牌的高性价比与快速修复优势则更具吸引力,无论选择哪种品牌,医生的技术水平、医院的消毒设备及术后维护同样至关重要——规范的手术操作、定期的口腔检查与良好的口腔卫生习惯,是种植体长期使用的关键保障。
相关问答FAQs
Q1:种牙选欧美还是韩国,主要看哪些因素?
A:选择欧美还是韩国种植体,需重点考虑三点:一是口腔条件,若牙槽骨严重萎缩、需植骨或即刻负重,欧美品牌的复杂病例处理经验更丰富;二是经济预算,欧美种植体价格较高,韩国品牌性价比更优;三是修复周期,韩国种植体部分支持快速修复(3-4周),而欧美种植体通常需3-6个月骨结合,建议先进行口腔CT检查,由医生评估骨量、骨质后,结合个人需求综合选择。

Q2:种植体能用一辈子吗?影响使用寿命的因素有哪些?
A:种植体的使用寿命并非固定,与多种因素相关:在良好维护下,欧美种植体10年以上成功率超95%,韩国种植体5-10年成功率约90%-95%,部分患者使用20年以上仍无异常,影响寿命的核心因素包括:①口腔卫生,若术后清洁不当引发种植体周围炎(类似牙周炎),可能导致骨吸收而失败;②医生技术,种植体植入位置、角度不当会增加后期修复难度;③材料质量,优质钛材与表面处理技术能提升骨结合稳定性;④咬合习惯,频繁啃硬物可能损伤种植体牙冠或基台,术后需坚持使用牙线、冲牙器清洁,定期复查(建议每年1次),并避免用种植牙咀嚼过硬食物。

