牙齿正畸已成为现代人改善口腔健康与面部美观的常见选择,但临床数据显示,约15%-20%的正畸患者会因各种原因中途放弃,这一现象不仅让前期投入的时间、金钱付诸东流,更可能给牙齿健康埋下隐患,为何有人会放弃正畸?放弃后又面临哪些问题?如何科学应对中途的困难?这些问题值得深入探讨。
中途放弃正畸的常见原因分析
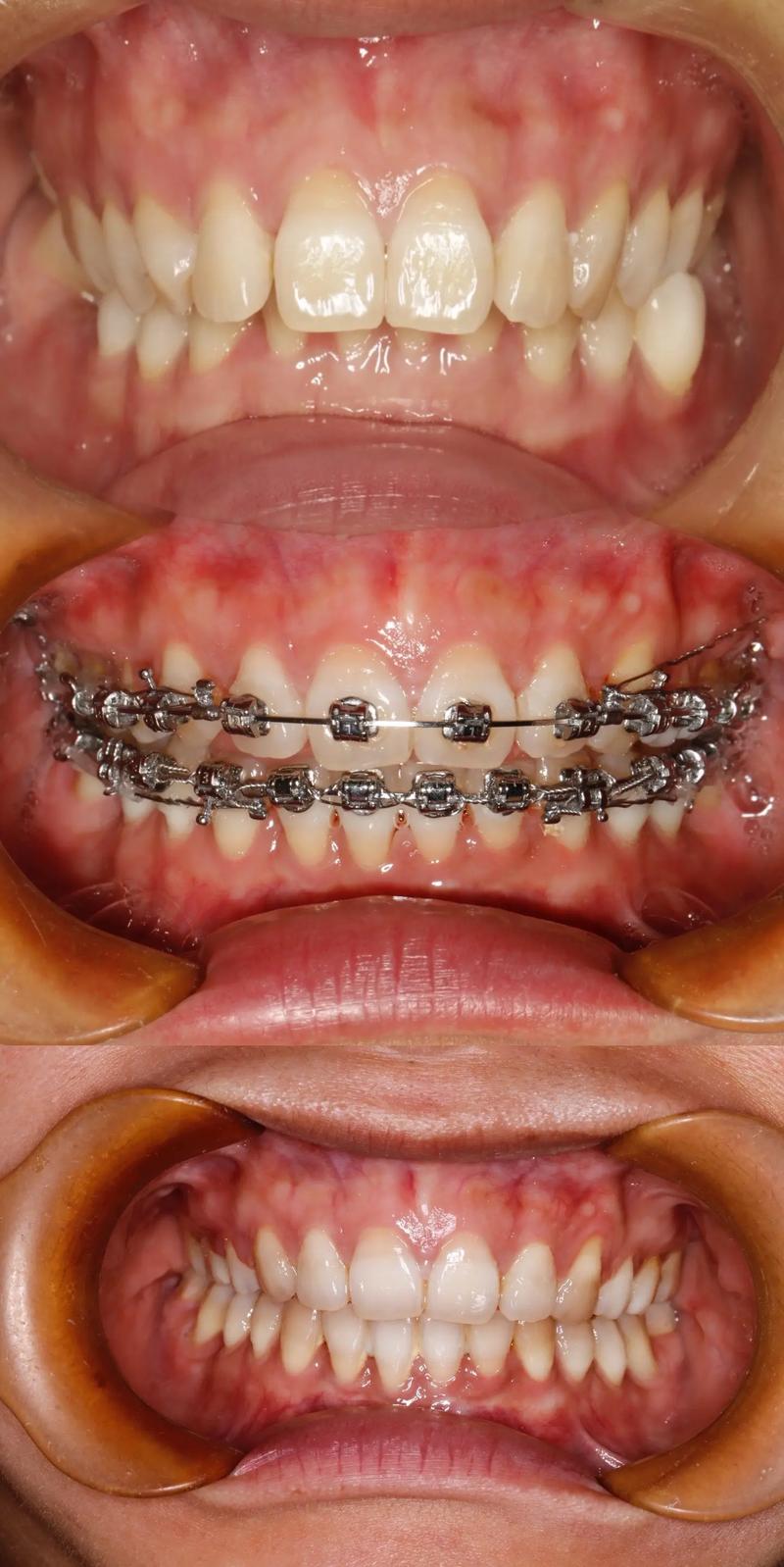
正畸是一个需要长期坚持的“牙齿改造工程”,中途放弃往往并非单一因素导致,而是多种问题交织的结果,通过临床观察与患者调研,可将主要原因归纳为以下几类,具体表现及占比如下表:

| 主要原因 | 具体表现 | 占比 |
|---|---|---|
| 疼痛与不适感 | 初期戴牙套后1-2周牙齿酸胀无力、咀嚼困难,托槽摩擦口腔黏膜引发溃疡,部分患者持续3个月以上仍存在明显不适 | 30% |
| 时间成本压力 | 复诊间隔1-1.5个月,每次耗时1-2小时,学生需请假调课,上班族频繁影响工作绩效,异地患者额外承担交通成本 | 25% |
| 经济负担加重 | 传统金属托槽费用1.5万-3万元,隐形矫正3万-5万元,拔牙、骨钉植入等附加治疗需额外支出5000-1万元,经济状况突变时难以承担 | 20% |
| 效果未达预期 | 矫正6个月后变化不明显,与社交媒体“速成案例”对比产生落差,或医生解释的“最终效果”与个人理想存在差距 | 15% |
| 其他突发因素 | 出现“牙套脸”(咀嚼肌萎缩)、孕期激素变化导致牙龈增生、牙根吸收等并发症,或因工作、学业长期无法配合复诊 | 10% |
具体展开来看:
疼痛与不适感是患者放弃的首要原因,正畸初期,牙齿在托槽施加的轻力下移动,牙槽骨改建会引发正常生理性反应,但部分患者因疼痛阈值低,或口腔溃疡反复发作(尤其金属托槽边缘摩擦黏膜),导致进食、说话困难,逐渐产生抵触情绪,有患者描述:“戴牙套后连苹果都咬不动,溃疡疼得连觉都睡不好,每天盼着摘牙套,实在坚持不下去了。”
时间成本对职场人士和学生党尤为致命,某一线城市白领李女士分享:“我每周三下午必须请假去复诊,领导脸色越来越难看,后来实在顶不住压力,只能放弃矫正。”异地患者的问题更突出,小张在武汉读大学,老家在河南,每次复诊需坐5小时高铁,“来回折腾一天,请假扣工资,最后实在撑不住了”。
经济压力常成为“压垮骆驼的最后一根稻草”,正畸费用并非一次性支出,部分患者矫正至一半时遭遇失业、降薪,或家庭突发变故,无力承担后续费用,28岁的王先生矫正两年后,因父亲生病急需用钱,只能放弃:“已经花了2万多,剩下的1万5实在凑不齐,摘了牙套后牙齿比原来还乱,现在特别后悔。”
效果未达预期则多源于信息不对称,部分医生未充分说明“正畸是缓慢过程”,患者误以为“3个月就能换牙”,对比网络上的“完美案例”产生焦虑,23岁的大学生小林矫正8个月后,发现门牙仍轻微外凸,与医生沟通后得知“还需1年才能稳定”,但她觉得“进度太慢”,直接放弃了治疗。

中途放弃正畸的严重后果
放弃正畸绝非“止损”,反而可能让牙齿陷入更糟糕的状态,甚至引发长期健康问题。
牙齿反弹,前功尽弃
正畸的本质是通过外力让牙齿在牙槽骨中移动,放弃后牙齿周围尚未形成稳定的牙周组织,极易回到原始位置,尤其对于拔牙矫正的患者(如因牙列拥挤拔除前磨牙),前牙内收、后牙前移的效果可能完全消失,甚至比原来更乱,临床数据显示,未戴保持器的反弹率高达80%,中途放弃者因牙齿已移动一定距离,反弹风险更高,且反弹后的牙齿可能更不整齐。
牙齿健康受损,埋下隐患
矫正中途若口腔清洁不到位(戴牙套后食物残渣更易嵌塞),可能引发龋齿、牙龈炎,甚至牙周炎;部分患者因疼痛减少刷牙频率,进一步加剧问题,若已出现牙根吸收(牙根尖端变短),这种损伤不可逆,可能导致牙齿松动、寿命缩短。
咬合功能退步,影响全身健康
原本通过矫正改善的咬合关系(如深覆合、反颌)可能恶化,导致咀嚼效率下降,食物研磨不充分,增加肠胃负担;长期咬合异常还可能引发颞下颌关节紊乱(关节弹响、疼痛张口受限),甚至影响颈椎姿态。

心理与经济双重打击
患者已投入的时间(平均1.5-2年)、金钱(平均2万元)付诸东流,同时面临牙齿反弹的焦虑,部分人因此产生“自我否定”,甚至对医疗失去信任,更可惜的是,二次矫正的难度和成本远高于首次——若中途放弃时牙齿已发生不可逆变化(如牙根吸收、牙龈萎缩),二次矫正需先解决这些问题,治疗时间延长0.5-1年,费用增加30%-50%。
如何科学应对正畸中途的困难?
中途放弃并非唯一选择,通过科学应对,多数困难可有效克服。
术前充分沟通,降低预期差
选择正规机构和有资质的医生,进行全面检查(含X光片、模型分析),明确矫正方案(是否拔牙、骨钉、时间周期),了解可能的风险(如疼痛、反弹),并签署知情同意书,医生应详细解释“正畸是缓慢过程”,避免患者因短期效果不明显而焦虑。
管理疼痛与不适,提升舒适度
初期可通过正畸蜡包裹托槽摩擦处,缓解黏膜溃疡;使用软毛牙刷、冲牙器加强清洁,避免食物残留;进食时细嚼慢咽,避免过硬食物(如坚果、排骨),减轻牙齿负担,若疼痛持续超过1个月,及时与医生沟通调整力值。
合理规划时间,减少生活影响
选择复诊时间灵活的诊所(如周末、晚上就诊),或使用“远程复诊”(隐形矫正适用);提前1周预约复诊,将复诊纳入固定日程,减少临时调整,对于异地患者,可考虑“集中复诊”(如每2个月复诊1次,每次调整2-3个月的力值),但需在医生评估后进行。
分摊经济压力,做好预算规划
优先选择分期付款(部分诊所支持12-24期免息),或购买齿科保险(覆盖部分正畸费用);预留10%-20%的预算应对突发情况(如附加治疗);若经济困难,可与医生协商调整方案(如简化治疗、延长周期)。
建立支持系统,增强坚持动力
加入正畸患者社群,与同阶段患者交流经验,缓解焦虑;记录牙齿变化(每月拍对比照),看到细微进步可增强信心;家人、朋友的鼓励也至关重要——有患者表示:“每次想放弃时,妈妈都会提醒我‘摘了牙套就能自信笑了’,我就咬牙坚持下来了。”
相关问答FAQs
问题1:中途放弃后牙齿一定会反弹吗?如何降低反弹风险?
解答:不一定,但反弹风险极高,是否反弹取决于矫正时间(矫正越久,牙齿移动幅度越大,反弹风险越高)、原始错颌类型(如牙列拥挤比牙缝反弹风险大)、以及是否佩戴保持器,即使放弃,也应立即咨询医生,定制保持器(如透明压膜保持器、Hawley保持器),并全天佩戴(前3个月),之后逐步过渡到夜间佩戴,至少持续2年,可降低50%-70%的反弹风险。
问题2:中途放弃后还能再矫正吗?需要注意什么?
解答:可以,但需重新评估口腔状况,建议先到正规医院做全面检查,拍摄X光片(曲面断层片、根尖片),评估牙根长度、牙周健康、牙槽骨密度;若存在牙根吸收、牙龈萎缩等问题,需先治疗牙周病,待口腔健康状况稳定后再启动二次矫正,二次矫正的方案可能更复杂(如结合骨钉、手术),时间比首次延长0.5-1年,费用增加30%-50%,因此建议“中途放弃者”先与医生沟通调整方案,而非直接放弃。
