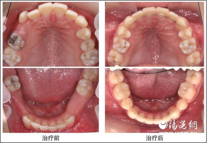
多个牙齿缺失是中老年人群及部分年轻患者常见的口腔问题,不仅影响咀嚼功能,还可能导致邻牙倾斜、对颌牙伸长、面部塌陷及发音障碍,甚至引发消化系统疾病,种植牙作为目前修复牙齿缺失的理想方式,凭借其接近天然牙的功能与美观,逐渐成为患者首选,本文将从多个牙齿缺失的影响、种植牙的原理与优势、种植流程、注意事项等方面进行详细阐述,帮助读者全面了解种植牙修复。
多个牙齿缺失的危害不容忽视,当牙齿缺失数量增多,剩余牙齿的咀嚼负荷会显著增加,长期超负荷运转易导致邻牙松动、脱落;缺牙区牙槽骨因失去咀嚼刺激而逐渐萎缩,牙槽骨高度和宽度降低,不仅影响后期修复,还会导致面部肌肉松弛、口角下垂,呈现衰老面容;牙齿缺失还会影响发音准确性,降低社交自信,传统修复方式如活动义齿需借助邻牙或黏膜固位,易导致基牙损伤,且异物感强;固定桥需磨除健康邻牙,存在损伤风险,种植牙则通过独立植入牙槽骨的种植体支持,无需损伤邻牙,有效规避了传统修复的弊端。

种植牙的核心原理是通过外科手术将纯钛或钛合金制成的种植体(人工牙根)植入缺牙区牙槽骨内,待3-6个月种植体与骨组织形成牢固的“骨结合”后,再在种植体上连接基台和牙冠,最终恢复牙齿的形态与功能,纯钛材料具有良好的生物相容性,植入人体后无排异反应,且能与骨组织紧密结合,为牙冠提供稳定支撑,种植牙的牙冠可根据患者邻牙的颜色、形态定制,达到以假乱真的美观效果,同时其咀嚼效率可恢复至天然牙的90%以上,有效改善患者的生活质量。
相较于传统修复方式,种植牙的优势显著,为更直观对比,以下表格列出不同修复方式的差异:
| 修复方式 | 固位方式 | 对邻牙影响 | 咀嚼效率 | 使用寿命 | 舒适度 |
|---|---|---|---|---|---|
| 种植牙 | 骨结合固位,独立支撑 | 无影响 | 90%-100% | 20年以上 | 高,无异物感 |
| 固定桥 | 粘接固位,依赖邻牙 | 需磨除邻牙 | 80%-90% | 10-15年 | 较高 |
| 活动义齿 | 卡环/吸附固位,依赖黏膜 | 无影响 | 50%-70% | 5-10年 | 低,异物感强 |
从表格可见,种植牙在保护邻牙、咀嚼效率、使用寿命及舒适度方面均具有明显优势,尤其适合多个牙齿缺失的患者。
多个牙齿缺失的种植牙流程需严格遵循医疗规范,通常分为术前检查、种植手术、修复戴牙及术后维护四个阶段,术前检查是关键步骤,医生需通过口腔曲面断层片、CBCT等影像学检查评估牙槽骨的厚度、高度及密度,同时检查患者全身健康状况(如血糖、血压、凝血功能等),排除手术禁忌症,对于骨量不足的患者,可能需先行植骨、上颌窦提升等骨增量技术,为种植体提供足够的骨支持,种植手术一般在局部麻醉下进行,医生逐级备洞后将种植体植入预定位置,缝合牙龈,术后需服用抗生素预防感染,避免剧烈运动,7-10天拆线,骨结合期通常为3-6个月,期间需定期复查,确认骨结合形成后进入修复阶段,修复阶段包括安装基台、取模制作牙冠,试戴调整后完成戴牙,戴牙后需定期复查(术后1周、1个月、半年,之后每年1次),确保种植体及牙冠功能正常。

并非所有多个牙齿缺失的患者都适合种植牙,需满足一定条件,一般要求患者年龄18岁以上、牙槽骨发育完成,缺牙区骨量充足(或可通过骨增量改善),无严重全身性疾病(如未控制的糖尿病、心脏病、骨质疏松等),口腔卫生良好,有修复意愿,吸烟者需术前戒烟,吸烟会降低骨结合成功率,增加种植体周围炎风险;长期服用双膦酸盐类药物(治疗骨质疏松)的患者需谨慎,可能发生颌骨坏死,需医生评估。
术后维护是种植牙长期成功的关键,患者需保持良好的口腔卫生,使用软毛牙刷、含氟牙膏刷牙,配合牙线、冲牙器清洁种植体周围,避免菌斑堆积导致种植体周围炎,饮食上避免咬硬物(如坚果、骨头)、咀嚼槟榔等,减少种植体及牙冠的损伤,定期进行口腔洁治(每年1-2次),清除种植体表面的牙结石和菌斑,若出现种植体松动、牙龈红肿、疼痛或咬合不适,需及时复诊,避免并发症加重。
种植牙虽为成熟技术,但仍存在一定并发症风险,种植体周围炎是最常见的并发症,表现为牙龈出血、溢脓、种植体松动,主要由口腔卫生不佳或咬合力过大导致,需通过专业洁治和药物治疗控制,严重时需手术翻瓣清创,种植体松动多因骨结合失败、种植体周围感染或咬合力异常引起,需查明原因后调整或更换种植体,神经损伤可能导致下唇、舌头麻木,多与种植体植入位置过深有关,多数可在3-6个月内恢复,选择正规医疗机构和经验丰富的医生可显著降低并发症风险。
多个牙齿缺失患者通过种植牙修复可有效恢复口腔功能与美观,但需严格把握适应症,规范治疗流程,加强术后维护,随着种植技术的不断发展,数字化种植(如3D打印导板、即刻种植、即刻负重)的应用进一步提高了种植牙的精准度和成功率,为患者带来更舒适、高效的修复体验。

相关问答FAQs
问题1:多个牙齿缺失做种植牙需要几次就诊?
解答:通常需要3-5次就诊,第一次为术前检查与设计,包括口腔检查、影像学拍摄及方案制定;第二次为种植体植入手术;第三次为术后3-6个月复诊,确认骨结合情况;第四次为基台安装与取模;第五次为牙冠戴入与咬合调整,若需骨增量(如植骨、上颌窦提升),可能增加1-2次就诊,具体次数需根据患者口腔条件及治疗方案确定。
问题2:种植牙能用一辈子吗?
解答:种植牙的长期成功率较高(10年成功率>90%),但并非“终身免维护”,其使用寿命与患者口腔卫生、生活习惯、医生技术及定期复查密切相关,保持良好口腔卫生、避免咬硬物、定期复查清洁,种植牙可使用20年以上,甚至伴随终身,若发生种植体周围炎、基台折断等并发症,及时治疗可延长种植牙使用寿命。
