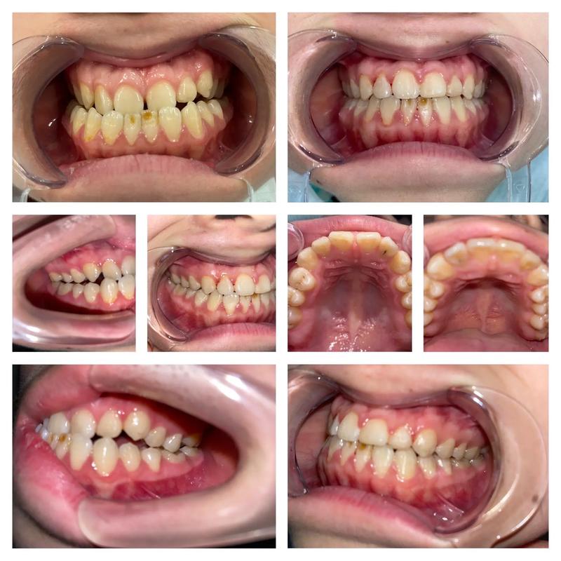
看到你在正畸过程中发现牙齿间隙变大,我能理解这种担忧!这确实是一个很常见的现象,尤其是在矫正的早期阶段,别担心,这通常是牙齿在按照计划移动过程中的正常表现,是矫正计划的一部分,目的是为了最终达到牙齿排列整齐、咬合稳定的目标。
以下是关于正畸过程中牙齿间隙变大的详细解释:

🦷 为什么会出现牙齿间隙变大?
-
排齐牙齿的需要(最常见原因):
- 拥挤的牙齿: 如果你的牙齿原本是拥挤的(像乱麻一样挤在一起),为了把它们排成一条整齐的直线,牙医需要创造空间,这个过程就像是把挤在狭小空间里的人重新排列,需要先腾出地方,让牙齿有足够的空间移动到正确的位置,在排齐初期,牙齿之间的间隙会暂时变大。
- 扭转牙齿的纠正: 扭转的牙齿在纠正位置时,也需要额外的空间,导致相邻牙齿之间出现暂时性缝隙。
-
为拔牙创造空间(如果需要拔牙):
- 拔牙病例: 对于一些严重的拥挤或需要内收前牙(改善嘴凸)的病例,正畸医生可能会建议拔除某些牙齿(通常是前磨牙),拔牙后,留下的间隙会被用来:
- 解除拥挤,排齐其他牙齿。
- 为前牙向后移动(内收)提供空间,改善面型。
- 在拔牙后的早期阶段,拔牙区的间隙会非常明显,随着治疗的进行,这个间隙会被逐渐关闭。
- 拔牙病例: 对于一些严重的拥挤或需要内收前牙(改善嘴凸)的病例,正畸医生可能会建议拔除某些牙齿(通常是前磨牙),拔牙后,留下的间隙会被用来:
-
牙齿移动过程中的生理间隙:
牙齿在牙槽骨中移动时,牙根周围的牙槽骨会发生改建(吸收和重建),在牙齿移动的路径上,牙槽骨需要被吸收,为牙齿让路,这个过程本身就会在牙齿之间产生一些生理性的微小间隙。
(图片来源网络,侵删) -
牙齿位置调整:
有时,为了建立更好的咬合关系(如调整覆合、覆盖),牙齿需要进行精细的位置调整,这也可能导致某些牙齿之间暂时出现或增大间隙。
🤔 这正常吗?需要担心吗?
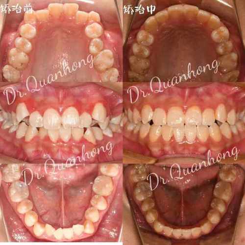
- 在排齐阶段和拔牙后的早期,间隙变大是预期且必要的。 这是牙齿按照医生计划移动的标志,没有这些暂时的间隙,牙齿就无法移动到最终理想的位置。
- 关键在于: 这些间隙最终应该被关闭,随着治疗的进行(尤其是进入“关闭拔牙间隙”或“精细调整”阶段),医生会使用各种正畸装置(如橡皮筋、特殊弓丝、滑动法等)有计划地、逐渐地将这些间隙关闭,使牙齿最终紧密接触,排列整齐。
🦷 间隙变大期间需要注意什么?
-
加强口腔卫生:
- 这是最重要的! 间隙变大后,更容易塞食物残渣,如果清洁不到位,食物嵌塞会刺激牙龈,导致发炎、出血,甚至引发龋齿(蛀牙)或牙周炎,影响矫正效果和牙齿健康。
- 必须坚持:
- 每天刷牙至少两次,每次不少于两分钟。 使用软毛牙刷和含氟牙膏,采用巴氏刷牙法,仔细清洁牙齿的每一个面,特别是托槽周围和牙龈边缘。
- 每天使用牙线或牙缝刷。 这是清除邻面(牙缝)食物嵌塞和牙菌斑的关键,牙线穿入牙缝时动作要轻柔,避免损伤牙龈。
- 使用冲牙器(水牙线)。 冲牙器可以非常有效地冲洗牙缝和牙龈沟,清除食物残渣和软垢,是牙刷和牙线的有力补充。
- 定期使用含氟漱口水。 有助于预防龋齿。
-
避免咬硬物:
(图片来源网络,侵删)间隙变大期间,牙齿的移动和稳定还在进行中,咬合力分布可能暂时不均,避免啃骨头、坚果壳、螃蟹壳、咬笔、咬冰块等硬物,防止托槽脱落、弓丝变形或牙齿意外损伤。
-
遵医嘱使用橡皮筋(牵引):
- 医生可能会给你佩戴橡皮筋(牵引),目的是帮助关闭间隙、调整咬合关系。必须严格按照医生的指示佩戴(包括佩戴时间、方向、更换频率),否则会影响间隙关闭的速度和效果,甚至导致牙齿移动到错误位置。
-
定期复诊:
按时复诊让医生检查牙齿移动情况、间隙变化、口腔卫生状况,并及时调整矫治器,这是确保矫正按计划进行、及时发现并解决问题(如间隙异常未关闭)的关键。
⚠️ 什么情况下需要警惕并联系医生?
虽然间隙变大通常是正常的,但出现以下情况应及时联系你的正畸医生:
- 间隙异常大或持续存在: 在治疗中后期,当医生计划关闭间隙时,如果发现某个或某些间隙没有按预期缩小,反而持续存在甚至变大。
- 牙齿松动度过大: 如果感觉牙齿异常松动,甚至影响进食。
- 严重疼痛或不适: 间隙变大伴随剧烈、持续的疼痛,或牙龈严重红肿、流脓。
- 口腔卫生极差导致并发症: 尽管努力清洁,但牙龈炎、牙周炎症状(如牙龈出血、肿胀、牙周袋加深)持续加重。
- 咬合问题: 间隙变大导致咬合干扰、食物嵌塞非常严重或频繁。
正畸过程中牙齿间隙变大,尤其是在排齐阶段和拔牙后,是非常常见且往往是必要的生理过程,它是牙齿移动到正确位置所经历的“必经之路”。关键在于理解这是暂时的,并且医生有计划地会在后续治疗中关闭这些间隙。
最重要的应对措施是:
- 保持耐心和信心: 相信医生的专业判断和矫正计划。
- 加强口腔卫生: 这是防止并发症、确保矫正成功的基础。
- 严格遵医嘱: 佩戴橡皮筋、避免硬物、按时复诊。
- 关注异常信号: 如有疑虑或发现异常情况,及时与你的正畸医生沟通。
矫正过程需要时间和耐心,牙齿间隙变大只是这个过程中的一个阶段,只要坚持良好的口腔卫生习惯并配合医生的治疗计划,最终你就能收获一口整齐健康的牙齿和自信的笑容!💪🏻
