🏥 医院概况与优势
- 顶尖资质: 隶属于山东大学,是三级甲等口腔专科医院,代表着山东省口腔医疗的最高水平。
- 学术实力雄厚: 作为教学医院,承担着重要的教学和科研任务,医生团队知识更新快,技术紧跟国际前沿。
- 专家团队强大: 拥有一批在种植领域经验丰富、技术精湛的专家教授,包括国家级、省级知名专家,能处理各种复杂病例(如骨量不足、全口/半口种植、即刻种植、即刻负重等)。
- 设备先进: 配备国际一流的口腔种植设备,如:
- 高分辨率CBCT(锥形束CT):用于精准评估骨量、神经血管位置。
- 数字化口内扫描仪:替代传统取模,更舒适精准。
- 种植手术导航系统:提高手术精度和安全性。
- 微创种植系统:创伤小、恢复快。
- 严格的无菌手术室环境。
- 技术成熟规范: 采用国际主流的种植系统(如Nobel Biocare, Straumann, ITI, Osstem, Dentium等),手术流程规范,技术成熟可靠。
- 注重个性化: 根据患者的口腔条件、骨质情况、咬合关系、美学需求和经济预算,制定个性化的种植方案。
🦷 种植牙流程(山大口腔通常流程)
- 初诊咨询与检查:
- 预约挂号(建议提前预约,知名专家号源紧张)。
- 医生详细询问病史、全身健康状况(如糖尿病、心脏病、骨质疏松、吸烟史等)。
- 进行全面的口腔检查:视诊、探诊、叩诊、松动度检查等。
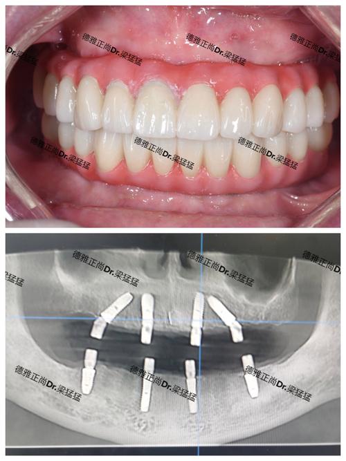
- 关键检查: 拍摄口腔全景片(曲面断层片)和CBCT,精确评估牙槽骨的高度、宽度、密度,以及邻牙、重要解剖结构(如下牙槽神经管、上颌窦)的位置关系,可能还需要取研究模型。
- 治疗方案设计与沟通:
- 医生根据检查结果,结合您的需求和期望,制定详细的种植方案。
- 包括:是否需要植骨(骨增量)?选择哪种种植系统?手术方式(微创/常规)?是否需要即刻种植/即刻负重?修复方案(牙冠材质)?预计费用?手术风险?
- 充分沟通: 医生会与您详细解释方案、预期效果、可能的风险、术后注意事项等,您有任何疑问都可以提出。务必理解并同意方案后再进行下一步。
- 术前准备:
- 全身健康评估:必要时进行血液检查(凝血功能、血糖等)或请相关科室会诊。
- 口腔清洁治疗:如有牙周炎、龋齿等问题,需先进行治疗控制。
- 签署知情同意书。
- 安排手术时间。
- 种植手术:
- 麻醉: 局部麻醉(通常为无痛注射)。
- 手术过程:
- 切开牙龈,暴露牙槽骨。
- 使用专业钻针逐级备洞(制备种植窝洞)。
- 将种植体(人工牙根)植入预定位置。
- 根据情况决定是否同期进行植骨(GBR)或上颌窦提升术。
- 缝合牙龈。
- 微创技术: 医院普遍采用微创技术,切口小,创伤小,术后反应轻,恢复快。
- 数字化导板: 对于复杂病例或要求高精度的病例,可能利用术前CBCT数据制作数字化手术导板,引导种植体植入,提高精度和安全性。
- 时间: 单颗种植手术通常在30分钟到1小时左右。
- 愈合期(骨结合):
- 种植体植入后需要与牙槽骨发生骨结合(Osseointegration),这是种植成功的关键,这个过程通常需要3-6个月(具体时间取决于骨质、全身状况等)。
- 期间需保持口腔卫生,遵医嘱复诊,避免种植体区域承受过大力量。
- 可能需要佩戴临时义齿过渡。
- 二期手术(如需要):
如果种植体植入后完全埋入牙龈内,愈合期结束后需要进行二期手术,在种植体上安装愈合基台,暴露种植体连接部位,为取模做准备,这个手术很小,创伤也很小。
- 牙冠制作与安装:
- 愈合基台安装后,牙龈形态稳定(通常需要1-2周)。
- 使用数字化口内扫描仪或传统取模方式获取印模。
- 技工室根据印模和医生要求制作牙冠(基台+牙冠)。
- 试戴牙冠,检查形态、颜色、咬合关系是否合适。
- 确认无误后,永久粘固或螺丝固位在种植体上。
- 术后复查与维护:
- 种植完成后,需要定期复查(通常术后1周、1个月、3个月、半年、1年,之后每年一次),检查种植体周围状况、咬合、牙龈健康等。
- 良好的口腔卫生维护至关重要! 需要像对待真牙一样认真刷牙(使用软毛牙刷、牙间隙刷、冲牙器等),并定期进行专业的牙周洁治(洗牙),种植牙的长期成功离不开精心的维护。
💰 关于费用
- 差异较大: 种植牙费用受多种因素影响,没有固定统一价格。
- 主要影响因素:
- 种植体品牌: 进口高端品牌(如瑞士Straumann, 瑞典Nobel) > 进口中端品牌(如韩国Osstem, Dentium) > 国产品牌,不同品牌技术、材料、临床数据支持不同。
- 牙冠材料: 全瓷冠(如氧化锆) > 烤瓷冠(金属内冠),全瓷冠美观、生物相容性更好,价格也更高。
- 是否需要植骨/上颌窦提升: 如果骨量不足,需要额外进行骨增量手术,费用显著增加。
- 手术复杂程度: 简单单颗种植 < 复杂病例(如全口种植、即刻负重)。
- 医生级别: 专家门诊费用通常高于普通门诊。
- 医院定价: 三甲医院定价相对规范透明。
- 大致参考范围(单颗牙):
- 基础款(中端种植体+普通烤瓷冠):可能在 8000 - 15000元 左右。
- 中高端款(中高端种植体+全瓷冠):可能在 15000 - 30000元 左右。
- 高端款(高端种植体+高端全瓷冠):可能超过 30000元。
- 注意: 以上仅为非常粗略的参考范围,务必以医院面诊后给出的具体方案和报价为准。 包含手术费、种植体费、基台费、牙冠费等,植骨等额外费用需另计。
- 支付方式: 通常支持多种支付方式(现金、刷卡、移动支付等),部分医院或合作机构可能提供分期付款选项,可提前咨询。
📌 重要提示与建议
- 提前预约: 尤其是选择知名专家,务必提前通过官方渠道(官网、微信公众号、电话)预约挂号。
- 准备资料: 带好身份证、医保卡(如有)、既往病历资料(特别是口腔检查报告、片子),如有长期服药史或全身疾病史,告知医生。
- 充分沟通: 初诊时详细说明您的需求、顾虑、预算,对方案有疑问要大胆提出,确保完全理解。
- 选择医生: 了解医生专长(擅长种植系统、处理病例类型),根据自身情况选择,可以查看医院官网或公众号介绍。
- 关注术后护理: 种植成功手术只占一半,术后维护是长期成功的关键,务必遵医嘱,做好口腔卫生,定期复查。
- 医保政策: 目前大部分地区的医保政策不报销种植体本身费用,但可能报销部分检查费、治疗费(如拔牙、植骨、基础治疗等)以及牙冠费用(部分地区有特定报销比例或限额),具体需咨询医院医保办或当地医保部门。
- 警惕低价陷阱: 过分低价可能意味着使用劣质种植体、简化流程或后期有大量额外收费,选择正规医院和透明收费很重要。
- 官方网站/公众号: 最准确的信息来源是山东大学口腔医院的官方网站和官方微信公众号,可以查询最新的专家信息、预约方式、收费政策等。
山东大学口腔医院是进行种植牙手术的顶级可靠选择,尤其在处理复杂病例方面优势明显,其强大的专家团队、先进的设备、规范的技术流程和严谨的学术态度,为种植牙的成功率和长期效果提供了坚实保障。

建议: 尽早预约初诊,进行详细检查和方案沟通,了解清楚具体流程、费用和注意事项,与医生建立信任,共同制定最适合您的种植方案,种植牙是一项值得的投资,选择一家像山大口腔这样专业可靠的医院,能最大程度保障您的口腔健康和生活质量。💪🏻

