是的,镶牙之后(无论是固定桥还是活动假牙)完全可以进行种植牙手术,种植牙是修复缺失牙的另一种方式,并且通常被认为是目前最接近天然牙的修复方案。
从镶牙(尤其是固定桥)到种植牙,确实存在一些需要考虑的因素和额外的步骤:

镶牙类型的影响
- 固定桥(烤瓷牙/全瓷牙):
- 需要拆除: 如果要将固定桥换成种植牙,必须先拆除原有的固定桥。
- 对邻牙的影响: 固定桥需要磨小两边的邻牙作为基牙,如果这些基牙本身是健康的,拆除固定桥后,它们就失去了支撑,通常也需要拔除(因为已经被磨小了,作为独立牙的寿命和功能会大打折扣),这意味着你原本缺失一颗牙,现在需要拔除两颗邻牙,再植入种植体来支撑新的牙冠(或者用种植体支撑三颗牙的桥,但成本更高)。
- 骨量评估: 缺牙时间越长,牙槽骨吸收越严重,固定桥的存在可能掩盖了部分骨吸收的情况,拆除固定桥后,医生需要评估缺牙区的骨量是否足够支持种植体。
- 活动假牙(局部义齿/全口义齿):
- 影响较小: 活动假牙本身不磨损邻牙(除非设计不当),拆除相对容易。
- 骨量问题: 长期戴活动假牙,尤其是压迫黏膜的设计,会加速牙槽骨的吸收,缺牙区的骨量可能不足,需要植骨。
- 空间和咬合: 活动假牙占据空间,可能影响种植体的植入位置和角度,需要重新评估咬合关系。
关键考虑因素和步骤
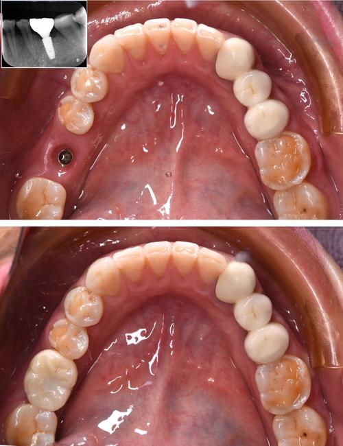
- 牙槽骨状况(最重要!):
- 骨量评估: 这是最关键的一步,医生需要通过口腔锥形束CT(CBCT) 精确测量缺牙区的骨高度、宽度和密度,镶牙后缺牙时间越长,骨吸收通常越严重。
- 骨增量(植骨): 如果骨量不足,通常需要先进行植骨手术(如引导骨再生术GBR、骨劈开术、上颌窦提升术等),等待几个月让骨头长好(骨结合)后,再进行种植体植入,这大大延长了整个治疗周期(可能需要6个月到1年甚至更久)。
- 邻牙和口腔健康状况:
- 邻牙检查: 如果是固定桥,拆除后基牙的状况至关重要,如果基牙本身有蛀牙、牙周病或已经松动,拔除是必然的。
- 口腔卫生: 整个口腔的卫生状况需要良好,没有活动性的牙周病,牙周病未控制好是种植牙失败的主要风险因素之一。
- 剩余牙齿的状况: 口腔中其他牙齿的健康状况也会影响种植方案的设计和长期效果。
- 咬合关系: 需要重新评估咬合,确保种植牙能够承受正常的咀嚼力,并且不会干扰其他牙齿。
- 费用和时间:
- 费用更高: 从镶牙到种植牙,尤其是需要植骨的情况下,总费用会显著高于单纯的镶牙或种植牙,费用包括拆除旧修复体、植骨(如果需要)、种植体、基台、牙冠等。
- 时间更长: 整个治疗周期会大大延长,尤其是需要植骨等待骨结合的阶段。
为什么选择在镶牙后种牙?
- 更优的功能和美观: 种植牙有独立的牙根(种植体),能提供接近天然牙的咀嚼力、稳定性和美观度,避免活动假牙的异物感和基牙磨损。
- 保护邻牙: 种植牙不需要磨损邻牙(不像固定桥),有助于保护健康的天然牙。
- 防止骨吸收: 种植体可以刺激牙槽骨,减缓甚至阻止骨吸收,维持面部轮廓。
- 提高生活质量: 固定、舒适、美观的种植牙能显著改善咀嚼、发音和自信心。
- 技术上可行: 镶牙后完全可以进行种植牙手术。
- 前提是评估: 必须由专业的种植牙医生进行全面评估,重点是牙槽骨状况(CBCT检查)、邻牙健康、口腔卫生和咬合关系。
- 可能需要额外步骤: 骨量不足是最大挑战,很可能需要植骨手术,这会增加费用和时间。
- 拆除旧修复体: 无论是固定桥还是活动假牙,都需要拆除才能进行种植。
- 权衡利弊: 需要权衡种植牙带来的长期优势(功能、美观、保护邻牙、防止骨吸收)与更高的费用、更长的治疗时间以及可能的手术复杂度(植骨)。
建议
- 咨询专业种植医生: 如果你在镶牙后考虑种牙,务必预约经验丰富的种植牙医生进行面诊和检查,带上你之前的镶牙病历和X光片。
- 详细沟通: 医生会根据你的具体情况(缺牙位置、时间、镶牙类型、口腔状况、CT结果等)解释是否可行、最佳方案是什么、需要哪些步骤、大概的费用和周期。
- 了解替代方案: 医生也会讨论其他可能的修复方案,比如在原有固定桥基础上做修改(如果可能)、或者继续使用活动假牙等。
镶牙后种牙是可行的,但通常比直接种牙更复杂,需要更充分的术前评估和可能更多的额外治疗(尤其是植骨),务必寻求专业医生的个性化建议。

