以下是一个门牙多生牙正畸病例集的框架和典型病例示例,涵盖了不同情况:
门牙多生牙正畸病例集框架
病例基本信息
- 患者姓名/编号: (匿名化处理,如 Case 01, Case 02)
- 性别:
- 年龄: (就诊时年龄,记录关键治疗阶段年龄)
- 主诉: (如:门牙缝隙大、门牙不齐、门牙突出、家长发现门牙之间多了一颗小牙等)
- 既往史: (如:是否曾拔牙、外伤史、全身疾病等)
- 家族史: (如有无类似情况)
临床检查
- 口内检查:
- 牙列情况:牙列阶段(混合牙列/恒牙列),牙齿数目(确认多生牙存在),牙齿排列(拥挤度、Spee曲线、中线位置),咬合关系(I类/II类/III类),覆合覆盖,龋坏,牙周状况。
- 多生牙情况:萌出/埋伏,位置(唇侧/腭侧),形态(锥形/结节形/正常形态),松动度,牙龈状况。
- 邻牙影响:中切牙/侧切牙的扭转、移位、间隙、牙根吸收(叩诊、松动度)。
- 模型分析:
- 牙齿大小、形态(多生牙及邻牙)。
- 牙弓形态、大小、对称性。
- 拥挤度分析(Bolton指数,前后牙量)。
- Spee曲线深度。
- 中线偏差。
- 间隙分析。
- 影像学检查:
- 全景片: 初步了解全口牙根情况、多生牙位置、数量、方向,判断是否与邻牙牙根重叠或导致吸收。
- 根尖片: 对特定区域(如多生牙与邻牙关系)进行更精细观察,评估牙根吸收程度和范围。
- CBCT(锥形束CT): 关键检查! 精确定位多生牙的3D位置(唇侧/腭侧/牙槽骨内深度)、萌出方向、与邻牙牙根的精确关系(距离、是否有压迫吸收)、是否形成含牙囊肿、牙根发育情况(尤其对年轻患者),制定手术方案和正畸计划的金标准。
- 面部分析:
- 正面观:面型对称性,中线,唇部丰满度,微笑线。
- 侧面观:凸度,鼻唇角,颏部形态。
- 微笑分析:露龈量,微笑曲线。
诊断
- 主要诊断:
- 安氏I类错合,上颌前突,上颌中切牙间多生牙(埋伏/萌出),上颌牙列轻度拥挤,深覆盖,深覆合。
- 安氏II类1分类错合,上颌中切牙间多生牙(萌出),导致上颌左侧侧切牙腭向扭转,上颌牙列中度拥挤,深覆盖。
- 次要诊断/伴随问题:
- 多生牙导致上颌右侧中切牙牙根吸收(CBCT证实)。
- 多生牙周围形成含牙囊肿(CBCT证实)。
- 下颌轻度拥挤。
- 骨性I类,软组织轻度凸面型。
治疗计划(个体化制定)
- 多生牙处理:
- 拔除: 绝大多数情况的首选方案。 时机选择:
- 萌出多生牙: 尽早拔除,解除对邻牙的压迫和阻碍。
- 埋伏多生牙:
- 若无症状(无囊肿、无牙根吸收、不影响邻牙萌出/排列),可密切观察,待恒牙萌出后或正畸开始前再拔除。
- 若有症状(导致牙根吸收、形成囊肿、阻碍邻牙萌出/排列),或正畸需要(如需要利用间隙),则需尽早拔除,常需外科手术辅助(翻瓣去骨)。
- 保留(罕见): 极少数情况下,如多生牙形态良好、位置正常、无不良影响,且患者有特殊需求(如作为修复体基牙),可考虑保留并纳入牙列,但这需要非常严格的适应症评估和长期监控。
- 拔除: 绝大多数情况的首选方案。 时机选择:
- 正畸治疗计划:
- 目标:
- 排齐牙齿,建立良好咬合关系。
- 关闭拔牙间隙(若决定关闭)或合理利用间隙(若决定保留间隙)。
- 纠正中线。
- 改善面型和微笑美观。
- 解除多生牙造成的所有不良影响。
- 拔牙模式: 通常不因为多生牙本身而额外拔除健康恒牙,间隙处理取决于:
- 拔除多生牙后,邻牙是否已自行移动占据部分间隙?剩余间隙量?
- 患者原有拥挤度?
- 面型需求(是否需要内收前牙)?
- 常见方案:
- 关闭间隙: 若存在拥挤或需要改善前突,利用拔除多生牙的间隙进行内收,常需强支抗(如种植支抗钉)。
- 保持间隙: 若拔除多生牙后邻牙位置尚可,且无明显拥挤,可考虑保持间隙,待成年后进行修复(如贴面、冠)关闭间隙,或观察邻牙是否自行调整。
- 利用间隙: 若多生牙导致邻牙严重扭转或缺失,间隙可用于调整或修复。
- 矫治器选择:
- 传统托槽(金属/陶瓷)
- 自锁托槽
- 隐形矫治器(如Invisalign, Spark) - 适用于相对简单的病例,埋伏多生牙拔除后通常可配合使用。
- 功能性矫治器(若处于生长发育期,伴有骨性问题)。
- 关键步骤:
- 拔除多生牙(外科配合)。
- 待局部炎症消退、伤口愈合后(通常2-4周)开始正畸治疗。
- 排齐整平牙列。
- 关闭间隙或调整间隙(根据计划)。
- 咬合精细调整。
- 保持器佩戴(至关重要!多生牙区域间隙可能不稳定)。
- 目标:
治疗过程记录(关键节点)
- 拔除多生牙术前术后影像(全景片、根尖片、CBCT)。
- 正畸开始前模型、照片。
- 治疗中关键阶段模型、照片(如排齐后、关闭间隙中、结束前)。
- 保持器戴入前模型、照片。
治疗结果
- 临床检查:
- 牙齿排列整齐,咬合关系稳定(I类尖窝关系)。
- 中线居中。
- 覆合覆盖正常。
- 牙周健康。
- 多生牙拔牙区愈合良好,无异常。
- 模型分析:
- 牙弓形态对称。
- Bolton指数协调。
- 间隙处理满意(关闭/保持/利用)。
- 影像学检查:
- 全景片:牙根平行,无吸收,无异常骨破坏。
- 根尖片(必要时):特定区域牙根无异常。
- CBCT(必要时):确认多生牙拔除彻底,无残留,邻牙牙根无进一步吸收。
- 面部分析:
- 面型协调,对称性改善。
- 微笑美观,露龈量正常,微笑曲线自然。
- 患者满意度: 主观评价美观和功能改善。
保持与随访
- 保持器类型(如Hawley保持器,透明压膜保持器)。
- 保持器佩戴要求(全天/夜间,至少1-2年,长期)。
- 定期复查计划(拆除矫治器后1个月、3个月、6个月、1年,之后每年一次)。
- 强调长期保持的重要性,尤其关注多生牙拔牙区的间隙稳定性。
典型病例示例(简化版)
单纯埋伏正中牙导致上颌前突和拥挤
- 患者: 女,12岁,恒牙列早期。
- 主诉: 门牙突出,感觉门牙之间“有东西”。
- 检查: 安氏I类,上颌中度前突,深覆盖,深覆合,上颌中切牙间轻度拥挤,CBCT:上颌中切牙间埋伏一倒置锥形多生牙,压迫上颌双侧中切牙牙根根尖1/3。
- 诊断: 安氏I类错合,上颌前突,深覆盖,深覆合,上颌牙列轻度拥挤,上颌中切牙间埋伏倒置多生牙致牙根吸收。
- 治疗计划:
- 外科拔除埋伏多生牙(口腔外科合作,翻瓣去骨)。
- 术后愈合4周开始正畸。
- 拔牙模式: 拔除上颌第一前磨牙(为解决前突和拥挤,利用拔牙间隙内收)。
- 矫治器:自锁托槽。
- 支抗:种植支抗钉辅助内收。
- 治疗结果: 牙齿排列整齐,咬合稳定,前突改善,深覆盖覆合正常,中线居中,CBCT显示邻牙牙根吸收停止并修复,长期佩戴保持器。
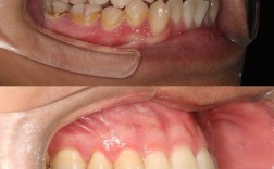
萌出多生牙导致侧切牙扭转
- 患者: 男,10岁,混合牙列晚期。
- 主诉: 家长发现门牙之间长了一颗小牙,旁边门牙长得歪。
- 检查: 混合牙列,上颌右侧中切牙萌出,左侧中切牙未萌,上颌左侧乳尖牙滞留,上颌左侧乳尖牙远中见一萌出多生牙(锥形),导致上颌左侧侧切牙(已萌出)严重腭向扭转,CBCT:多生牙位于左侧侧切牙腭侧,无牙根吸收。
- 诊断: 安氏I类错合,混合牙列,上颌左侧乳尖牙滞留,上颌左侧侧切牙腭向扭转,上颌左侧中切牙萌出延迟,上颌中切牙间萌出多生牙。
- 治疗计划:
- 拔除萌出多生牙及滞留的乳尖牙。
- 观察上颌左侧中切牙萌出。
- 待左侧中切牙萌出后(约1年后),开始正畸治疗。
- 拔牙模式: 不拔牙,利用拔除多生牙和乳尖牙的间隙,通过正畸排齐左侧侧切牙,引导左侧中切牙萌入正常位置。
- 矫治器:早期矫治器(如活动矫治器或简单固定矫治器)排齐左侧侧切牙,后期固定矫治器精细调整。
- 治疗结果: 上颌中切牙正常萌出,侧切牙排齐扭转解除,牙列对称,咬合关系良好,保持器维持。
多生牙伴含牙囊肿
- 患者: 女,14岁,恒牙列。
- 主诉: 门牙不齐,感觉门牙之间有“鼓包”。
- 检查: 安氏I类,上颌中切牙间明显间隙,左侧中切牙轻微腭倾,CBCT:上颌中切牙间埋伏多生牙,周围形成较大含牙囊肿,压迫上颌双侧中切牙牙根中段吸收,牙根变短。
- 诊断: 安氏I类错合,上颌中切牙间间隙,上颌左侧中切牙腭倾,上颌中切牙间埋伏多生牙伴含牙囊肿致牙根吸收。
- 治疗计划:
- 外科手术: 开窗减压或囊肿刮除术+多生牙拔除(口腔颌面外科合作)。
- 术后定期复查囊肿愈合情况(影像学)。
- 囊肿愈合稳定后(约3-6个月)开始正畸。
- 拔牙模式: 考虑到牙根吸收和位置,决定不关闭拔牙间隙,拔除上颌第一前磨牙(为排齐和改善咬合),多生牙拔牙间隙保持,待成年后修复(贴面)关闭中切牙间隙。
- 矫治器:自锁托槽。
- 支抗:种植支抗钉辅助内收前牙。
- 治疗结果: 牙齿排列整齐,咬合稳定,中切牙间隙保持,CBCT显示囊肿无复发,邻牙牙根停止吸收,成年后进行贴面修复关闭中切牙间隙,美观效果满意。
多颗多生牙
- 患者: 男,11岁,混合牙列。
- 主诉: 牙齿长得乱,门牙之间感觉有东西。
- 检查: 混合牙列,上颌牙列中度拥挤,上颌中切牙间未见明显多生牙萌出,全景片示上颌中切牙间及右侧侧切牙腭侧区域有多个高密度影,CBCT:上颌中切牙间一埋伏多生牙,上颌右侧侧切牙腭侧一埋伏多生牙,形态均正常。
- 诊断: 安氏I类错合,混合牙列,上颌牙列中度拥挤,上颌多发性埋伏多生牙(正中牙及侧切牙区)。
- 治疗计划:
- 外科拔除所有埋伏多生牙(口腔外科合作,CBCT引导)。
- 术后愈合4周开始正畸。
- 拔牙模式: 拔除上颌第一前磨牙(解决拥挤,利用间隙)。
- 矫治器:自锁托槽。
- 治疗结果: 牙齿排列整齐,拥挤解除,咬合稳定,中线居中,CBCT确认多生牙完全拔除。
总结要点
- 早期诊断与干预: 定期儿童口腔检查和全景片/X线检查对早期发现多生牙至关重要,早期处理可减少对恒牙发育和排列的损害。
- 影像学是关键: CBCT是制定精确治疗计划(尤其是埋伏多生牙)的必备工具,能清晰显示位置、方向、与邻牙及重要结构的关系。
- 多学科协作: 复杂病例(埋伏深、伴囊肿、需外科手术)常需口腔外科医生紧密配合。
- 个体化治疗: 治疗计划必须根据多生牙的具体情况(位置、数量、影响)、患者年龄、生长发育阶段、错合类型、美观需求等综合制定,拔牙与否、间隙如何处理是核心决策点。
- 支抗控制: 在关闭拔除多生牙产生的间隙或内收前牙时,强支抗(如种植支抗钉)往往非常必要。
- 长期保持与随访: 多生牙拔除区域的间隙存在不稳定性,严格的保持计划和长期随访是维持疗效的关键。
这个病例集框架和示例涵盖了门牙多生牙正畸治疗的主要方面和挑战,实际临床中,每个病例都是独特的,需要医生进行细致的评估和制定个性化的治疗方案。


