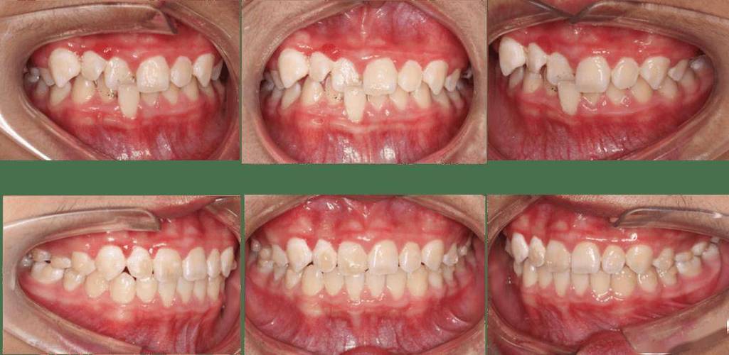
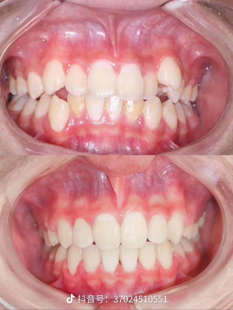
正畸治疗中提到的“3号牙”和“4号牙”重叠,通常指的是上颌或下颌的侧切牙(3号)和尖牙(4号)在牙弓内发生了位置上的重叠或交错排列,这是正畸临床上比较常见的牙齿排列问题之一。
📍 问题解析
-
牙齿定位:
(图片来源网络,侵删)- 3号牙: 侧切牙(Lateral Incisor),位于中切牙(门牙)和尖牙之间,是前牙区较小的牙齿。
- 4号牙: 尖牙(Canine/Cuspid),位于侧切牙和第一前磨牙之间,是牙弓中体积最大、最长的牙齿,负责撕裂食物,在维持面部支撑和咬合平衡中起关键作用。
-
“重叠”的含义:
- 这两颗牙齿在牙弓的近远中方向(从前到后)上没有按照正常顺序排列。
- 常见情况:
- 尖牙(4号)位于侧切牙(3号)的唇侧(靠近嘴唇)或舌侧(靠近舌头): 这是最常见的重叠类型,尖牙没有正常排列在侧切牙的后方,而是跑到了侧切牙的前面(唇侧)或后面(舌侧),导致侧切牙被“挡住”或“挤到”了不正常的位置。
- 侧切牙(3号)位于尖牙(4号)的唇侧或舌侧: 相对少见,但也会发生。
- 视觉表现: 拍X光片(特别是全景片)或口内检查时,可以清晰地看到这两颗牙齿在牙槽骨内或牙弓上的位置是交错的,而不是一前一后排列。
🔍 为什么会发生3号4号牙重叠?
-
萌出顺序异常/空间不足:
- 尖牙(4号)通常在侧切牙(3号)之后萌出,如果乳尖牙过早脱落,或者侧切牙萌出时位置不正,占据了本该留给尖牙的空间,那么当尖牙萌出时,就没有足够的位置让它正常排列在侧切牙后方,它就可能从唇侧或舌侧“挤”进来,导致重叠。
- 牙弓本身空间不足(骨量小于牙量),牙齿排列拥挤,尖牙找不到合适的位置,只能“见缝插针”地萌出,造成重叠。
-
乳牙早失:
乳尖牙(“d”牙)是维持恒尖牙(4号)萌出间隙的重要“向导”,如果乳尖牙过早因蛀牙、外伤等原因缺失,其下方的间隙可能被邻牙(如乳侧切牙或第一乳磨牙)占据或漂移,导致恒尖牙萌出空间不足或方向错误,从而与侧切牙重叠。
(图片来源网络,侵删) -
颌骨发育问题:
上颌骨发育不足(上颌后缩)或下颌骨发育过度(下颌前突),可能导致牙弓空间相对不足,牙齿拥挤,增加重叠风险。
-
牙齿本身问题:
- 侧切牙过小或缺失: 上颌侧切牙先天过小(锥形牙)或缺失时,其邻牙(包括尖牙)可能会向缺隙处倾斜或移位,导致尖牙位置异常。
- 尖牙过大或形态异常: 尖牙本身体积过大或形态异常,也可能导致其无法正常排列。
- 多生牙: 在尖牙和侧切牙区域萌出的多生牙会占据空间,阻碍正常牙齿排列。
-
遗传因素:
(图片来源网络,侵删)牙齿大小、形态、萌出顺序以及颌骨大小都可能受遗传影响,家族中如果有类似情况,后代发生的概率也会增加。
⚠️ 3号4号牙重叠对正畸的影响和风险
- 影响美观: 尖牙是“眼尖牙”,其位置异常(尤其是唇侧萌出)会非常明显地影响前牙区的美观和笑容。
- 影响咬合功能:
- 尖牙是重要的“引导牙”,负责引导下颌在咀嚼和说话时的运动轨迹,尖牙位置异常可能导致咬合干扰、早接触,影响咀嚼效率,长期可能引起颞下颌关节紊乱(TMJ)问题。
- 可能导致前牙覆合覆盖异常(深覆合、深覆盖、反合等)。
- 增加清洁难度: 重叠区域容易堆积食物残渣和菌斑,增加龋齿(蛀牙)和牙周病(牙龈炎、牙周炎)的风险。
- 可能导致牙根吸收: 在牙齿移动过程中,如果重叠严重或移动不当,有轻微增加牙根吸收的风险(但经验丰富的正畸医生会尽力避免)。
- 增加治疗复杂性和时间: 解决重叠问题通常需要更复杂的矫治方案,可能涉及:
- 开辟间隙: 拔除某些牙齿(如第一前磨牙)为拥挤的牙齿创造空间。
- 开窗助萌: 如果尖牙被骨组织或牙龈包裹在异常位置,需要外科手术打开牙龈和骨组织,然后通过正畸牵引装置将其引导到正常位置,这个过程可能需要数月时间。
- 精细调整: 即使牙齿排列整齐,其位置、咬合关系也需要精细调整到最佳状态。
🦷 正畸治疗如何处理3号4号牙重叠?
正畸医生会根据患者的具体情况(年龄、骨骼情况、牙齿重叠程度、拥挤程度、面部美观要求等)制定个体化的治疗方案:
-
诊断与评估:
- 拍摄X光片(全景片、头颅侧位片、根尖片等)精确评估牙齿位置、牙根情况、骨量、颌骨关系。
- 取研究模型分析。
- 口内口外检查,评估咬合、美观、牙周状况。
-
主要治疗策略:
- 创造空间: 这是最关键的一步,可能需要:
- 拔牙: 拔除第一前磨牙(最常见)或其他非关键牙齿,为拥挤的牙齿提供足够的排齐空间,拔牙方案需要医生精确计算和判断。
- 扩展牙弓: 对于轻度拥挤或骨性轻度不足,可能通过扩大牙弓(使用扩弓器)来获得空间。
- 纠正重叠:
- 拔牙后直接排齐: 在创造的空间内,通过固定矫治器(托槽和弓丝)将重叠的牙齿(通常是尖牙)逐步移动到正确的位置。
- 开窗助萌牵引: 如果尖牙埋伏在骨内或牙龈下位置异常(尤其是舌侧或高位),需要口腔外科医生进行“开窗”手术,暴露牙冠,然后正畸医生在牙面上粘贴牵引钩,用橡皮链或弹力线将其牵引到牙弓的正常位置,这个过程可能需要6个月到1年甚至更长时间。
- 邻面去釉: 对于轻度拥挤且不愿拔牙的患者,可适当磨除少量牙齿邻釉质,微小地增加牙弓长度。
- 调整咬合与美观: 在牙齿排齐后,精细调整咬合关系,确保尖牙引导功能正常,前牙美观协调,可能需要配合II类或III类颌间牵引。
- 修复治疗: 对于过小的侧切牙,在正畸排齐后,可能需要通过贴面或牙冠修复来改善大小和形态,达到更好的美观效果。
- 创造空间: 这是最关键的一步,可能需要:
-
保持: 治疗结束后,必须严格佩戴保持器(通常需要长期甚至终身佩戴),因为这类牙齿位置异常复发风险相对较高。
📌 重要提示
- 及时就医: 发现牙齿排列异常(包括3号4号重叠)应尽早咨询专业的正畸医生,早期干预(尤其在替牙期)有时可以简化后续治疗。
- 专业评估: 3号4号牙重叠的处理方案非常个体化,需要经验丰富的正畸医生进行全面的诊断和设计。
- 治疗周期较长: 解决这类问题通常需要较长的正畸治疗时间(尤其是涉及开窗牵引时),患者需要有耐心和配合度。
- 保持器至关重要: 治疗结束后的保持阶段是防止复发、维持效果的关键,必须重视。
正畸中的3号4号牙重叠是牙齿位置异常的一种表现,会影响美观、功能和口腔健康,治疗的核心在于创造足够空间,并通过精细的正畸移动(有时需要外科辅助)将这两颗关键牙齿引导到正确的位置,建立稳定、美观、功能良好的咬合关系。 建议尽快寻求专业正畸医生的评估,制定最适合你的治疗方案。💪🏻
