看到你关心正畸拔牙一个月的效果,我能理解你此刻的心情,刚拔完牙,又带着牙套,一个月后看到牙齿变化不大,确实容易让人焦虑或疑惑,别担心,我来帮你详细分析一下这个阶段通常会发生什么,以及为什么“效果图”可能和你预期的不太一样。
核心观点:正畸拔牙一个月,牙齿移动的肉眼可见效果通常非常有限甚至没有,这个阶段更多是软组织恢复和牙齿初步适应期。

以下是拔牙后一个月可能出现的具体情况和原因:
🦷 1. 牙齿移动(最核心的变化,但通常不明显)
- 移动量极小: 牙齿在骨头里的移动是一个缓慢而精密的生物过程,一个月的时间对于将一颗牙齿移动到新位置来说,是非常短暂的,可能只有几毫米甚至更小的移动量。
- 移动方向: 最初几周,牙齿主要是在为后续的大幅度移动做准备,移动的方向和速度取决于你的具体方案(比如是关闭拔牙间隙,还是内收前牙等)。
- 肉眼难辨: 对于非专业人士,甚至对于患者自己,一个月内牙齿排列的显著变化是很难用肉眼观察到的,你可能需要借助精确的牙科模型或X光片才能发现微小的变化。
- 个体差异大: 不同人的牙齿移动速度差异很大,取决于牙齿的拥挤程度、骨密度、年龄、医生的力量控制等多种因素,有些人可能感觉牙齿有点“松”,但位置变化不大。
🩹 2. 软组织变化(更明显)
- 拔牙窝愈合: 拔牙后的窝洞(尤其是拔除双尖牙的位置)通常需要1-2个月才能完全被新生的骨组织和牙龈组织填平,一个月时,拔牙窝表面可能已经覆盖了粉红色的牙龈组织,但下方骨头还在愈合中,可能摸起来还有一个小凹陷。
- 肿胀消退: 拔牙后1-2周内,面部和牙龈的肿胀通常会逐渐消退,一个月时,肿胀基本消失,拔牙区域看起来比较平整。
- 牙龈适应: 新安装的弓丝和托槽可能会刺激牙龈,导致轻微的红肿或不适感,随着时间推移(几周到一两个月),牙龈会逐渐适应,炎症会消退。
- 口腔溃疡: 新戴牙套或弓丝末端刺激,容易在口腔内形成溃疡,一个月时,如果护理得当,旧的溃疡可能愈合,新的也可能还在出现。
🧪 3. 感觉和体验
- 牙齿敏感/酸软: 拔牙后,牙齿受到矫治力的作用,会感觉比平时敏感、酸软或无力,尤其是咬东西时,这种不适感在加力后的前几天最明显,之后会逐渐减轻,一个月时,这种敏感感可能还存在,但通常比初期好很多。
- “牙套脸”感: 部分人(尤其是拔除前磨牙较多的人)可能会感觉脸颊内陷,显得“牙套脸”,这主要是因为咀嚼肌暂时性萎缩和适应期肿胀消退所致,随着治疗进展和肌肉适应,这种感觉通常会改善,但并非所有人都会经历。
- 发音适应: 戴上牙套初期,发音可能有些许变化(s”音),一个月时,大多数人已经基本适应,发音基本恢复正常。
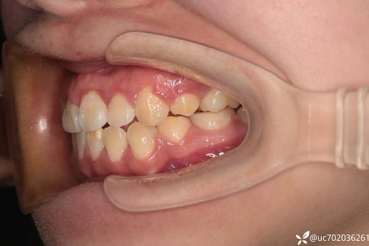
📸 效果图”
- 缺乏“震撼”对比: 如果你期望看到像“拔牙前 vs 拔牙后一个月”那样巨大的排列变化,很可能会失望,一个月的“效果图”可能看起来和拔牙刚结束时差别不大,甚至和拔牙前相比,排列上的肉眼可见变化也很小。
- “效果图”可能包含什么:
- 拔牙窝愈合情况: 显示牙龈是否覆盖良好,炎症是否消退。
- 口腔卫生状况: 是否有食物嵌塞、牙龈红肿、龋坏风险等。
- 托槽/带环状态: 是否有脱落、损坏。
- 弓丝位置: 是否入槽良好,有无刺伤。
- 初步咬合关系: 医生可能检查初步的咬合接触,但此时变化很小。
- 牙齿松动度: 医生会检查牙齿的生理性松动度是否在正常范围内。
- 真正重要的“效果”: 在这个阶段,医生更关注的是软组织健康、口腔卫生维护、患者适应情况以及牙齿对力的反应是否正常,而不是牙齿排列的显著变化,一个健康的口腔环境是后续牙齿顺利移动的基础。
📌 总结与建议
- 一个月没大变化是正常的! 请放平心态,正畸是一个以“年”为单位的马拉松,一个月只是起跑后的热身阶段。
- 关注软组织健康: 认真刷牙(使用正畸专用牙刷、牙缝刷、冲牙器),保持拔牙区域和整个口腔的清洁,预防牙龈炎和龋坏,这是当前最重要的任务。
- 按时复诊: 严格按照医生的时间表复诊,医生会在复诊时检查你的牙齿移动情况(虽然肉眼不明显,但医生有专业方法评估)、口腔卫生、弓丝状态等,并进行必要的调整(如更换更粗的弓丝、添加橡皮筋等)。
- 与医生沟通: 如果你有任何疑虑、不适加剧(如持续剧烈疼痛、严重肿胀、托槽频繁脱落等),务必及时联系你的正畸医生,不要自己猜测或忍耐。
- 管理预期: 理解拔牙后的牙齿移动是循序渐进的,通常在3-6个月后,牙齿的移动会开始变得肉眼可见(尤其是关闭拔牙间隙或内收前牙的效果),最终的美学效果需要等到治疗结束。
- 记录对比(可选): 如果你真的很想看到变化,可以在每次复诊时让医生帮你拍口腔内照片(标准位,如正面、左右45度、上下颌咬合位),几个月后对比这些照片,可能会发现一些细微但确实存在的进步,但请记住,一个月内的对比照片可能差别很小。
拔牙只是正畸路上的一个起点,真正的改变在接下来的时间里会悄然发生。 一个月的静默期其实是牙齿在为蜕变积蓄力量,就像竹子在破土前需要数年时间在地下扎根,保持耐心,坚持护理,相信专业医生,几个月后当你看到牙齿排列的变化时,一定会觉得此刻的等待是值得的,有什么具体问题随时可以再问我!😊

