拔牙后是先矫正(正畸)还是先种牙(种植牙),没有一个绝对的答案,需要根据你的具体情况进行个体化判断,这是一个需要正畸医生和种植牙医生共同评估、制定个性化方案的问题。
以下是影响决策的关键因素和一般原则:

📍 核心考虑因素
-
拔牙的位置(是哪颗牙?):
- 前牙(门牙、侧切牙): 通常对美观和发音影响大,如果缺失的是前牙,且存在牙齿拥挤、排列不齐等问题,有时可以先矫正,利用拔牙间隙排齐牙齿,改善整体美观和咬合,之后再考虑种植牙,矫正过程中或矫正后,可以用临时修复体(如临时牙冠、活动假牙)维持间隙和美观,但如果骨量条件极好,且对美观要求极高,也可以考虑先种植,但需确保矫正力量不会影响种植体稳定性(通常种植体需要完全骨结合后才能承受正畸力)。
- 后牙(前磨牙、磨牙): 对咀嚼功能影响最大,后牙缺失后,邻牙会向缺隙倾斜、对颌牙会伸长,导致咬合紊乱、食物嵌塞、关节问题等。对于后牙缺失,通常更倾向于先进行正畸治疗,目的是:
- 关闭间隙: 将缺隙两侧的牙齿向中间移动,消除缺隙,这是最常见的选择,尤其当牙齿本身拥挤或排列不齐时。
- 开辟间隙: 如果需要利用拔牙间隙解决其他问题(如排齐拥挤的牙齿),或者本身牙齿排列整齐但需要为种植牙创造理想的位置和空间(将缺隙两侧牙齿直立,为种植体预留垂直空间),也需要先矫正。
- 直立倾斜的牙齿: 如果缺隙两侧的牙齿已经严重倾斜,直接种牙困难或效果不佳,必须先通过正畸将牙齿直立,为种植创造条件。
- 智齿: 拔智齿通常不影响其他牙齿排列,一般不需要为了拔智齿而做正畸,但如果智齿位置不正导致其他牙齿问题(如拥挤、蛀牙),可能需要先拔智齿,再根据情况决定是否正畸。
-
牙齿的整体状况和咬合问题:
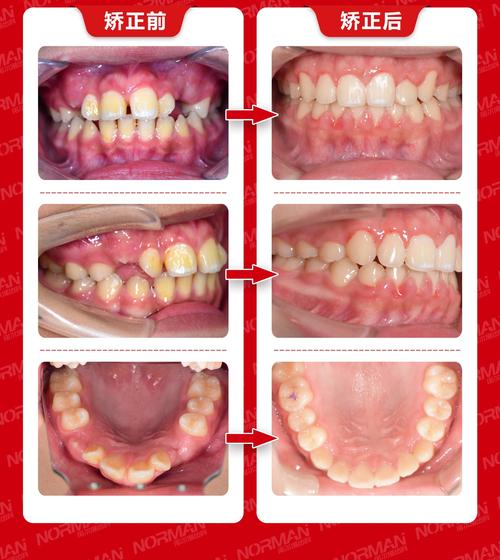
- 是否需要正畸? 如果除了拔牙的那颗牙,你还存在牙齿拥挤、牙列稀疏、深覆合、深覆盖、反颌(地包天)、开颌等其他错颌畸形问题,通常建议先进行全面的正畸治疗,矫正可以解决整体咬合功能和美观问题,为后续的种植牙(如果需要)创造一个稳定、健康的口腔环境,矫正后,缺隙的位置可能被关闭,或者被移动到更适合种植的位置。
- 缺隙是否需要保留? 如果缺隙两侧的牙齿健康且排列整齐,且你希望保留这个缺隙用于种植牙,那么正畸治疗的目标就是维持这个间隙,这需要使用保持器(如Hawley保持器、透明保持器)或临时修复体(如临时牙桥) 来保持空间,防止邻牙倾斜移动,在空间稳定后,再进行种植牙。这本质上也是一种“先正畸(维持间隙)后种植”的顺序。
-
牙槽骨的条件:
- 拔牙后骨吸收: 拔牙后,牙槽骨会发生生理性的吸收和改建,尤其是在拔牙后的前3-6个月吸收较快。后牙区的骨吸收通常比前牙区更明显。
- 骨量是否充足? 种植牙需要足够的骨高度、宽度和密度来支撑种植体,如果拔牙后直接等待骨改建完成再种牙,骨量可能不足,需要进行复杂的植骨手术(如引导骨再生GBR、上颌窦提升等),增加费用、时间和创伤。
- 即刻种植/早期种植: 为了减少骨吸收,有时可以考虑在拔牙后立即(即刻种植)或拔牙后不久(早期种植,如4-12周)进行种植,但这对拔牙窝的条件(无感染、骨壁完整等)要求很高,且通常不建议在种植体未完全骨结合(一般需要3-6个月)时施加正畸力,如果计划正畸,可能需要等种植体完全骨结合后再开始,或者选择先正畸。
-
患者的年龄和牙齿移动能力:
(图片来源网络,侵删)- 年轻人牙齿移动速度快,正畸周期相对较短。
- 年长者骨改建速度可能较慢,正畸周期可能更长,且骨吸收风险更高。
-
患者的期望和主诉:
- 主要诉求是什么? 是解决美观问题?还是恢复咀嚼功能?或者两者都有?不同的诉求会影响优先顺序。
- 对时间、费用的接受程度: 先正畸后种植通常总周期较长(正畸+保持+种植+修复),费用也较高,先种植再正畸可能周期稍短,但正畸难度可能增加。
📍 一般原则和建议
-
对于后牙缺失且存在牙齿拥挤或排列不齐:
- 强烈建议先进行正畸治疗。 目标是关闭缺隙或为种植创造理想条件,矫正后,如果缺隙被关闭,则无需种植;如果缺隙被移动到合适位置或被保留,则可在矫正后(或矫正中后期)进行种植。
-
对于后牙缺失但牙齿排列整齐,且希望保留缺隙用于种植:
- 需要先进行“正畸维持间隙”治疗。 使用保持器或临时修复体保持空间,防止邻牙移动,待空间稳定后,再进行种植牙,这属于正畸治疗的范畴(间隙维持)。
-
对于前牙缺失:
(图片来源网络,侵删)- 情况更复杂,需个体化决定:
- 如果存在明显的牙齿拥挤或咬合问题,建议先矫正,排齐牙齿后再种植。
- 如果骨量条件极佳,且对美观要求极高,可考虑先种植,但必须确保正畸医生了解并同意在种植体周围进行牙齿移动(需谨慎评估,通常等骨结合后)。
- 如果牙齿排列基本整齐,可以直接种植,或者先矫正排齐再种植。
- 情况更复杂,需个体化决定:
-
无论哪种顺序,正畸医生和种植牙医生必须紧密合作:
- 在制定方案前,你需要同时咨询正畸专科医生和种植牙专科医生。
- 医生需要通过详细的口腔检查、模型、X光片(全景片、CBCT)等评估你的牙齿状况、咬合关系、骨量、缺隙情况等。
- 共同讨论你的需求和期望,制定出最适合你的、兼顾功能、美观、长期稳定性和可行性的治疗计划。
- 没有“一刀切”的答案。
- 对于大多数后牙缺失的情况(尤其伴有牙齿不齐),先正畸是更常见和推荐的选择。 正畸可以解决整体问题,为种植创造条件或直接关闭缺隙。
- 对于需要保留缺隙用于种植的情况(无论前后牙),都需要先进行间隙维持(属于正畴范畴)。
- 前牙缺失需要更细致的评估,根据骨量、牙齿排列、美观需求等综合决定顺序。
- 专业评估是关键! 一定要找经验丰富的正畸医生和种植牙医生进行面诊,获取基于你具体情况的个性化建议。
强烈建议你尽快预约正畸医生和种植牙医生进行全面的检查和咨询,共同探讨最适合你的治疗方案。 不要自行决定,专业的医生会根据你的口腔状况、骨骼条件、咬合关系以及你的个人需求,为你制定出最合理的治疗顺序和计划。💪🏻
