南京市口腔医院(南京医科大学附属口腔医院)作为江苏省内乃至华东地区顶尖的口腔专科医院,其正畸科(口腔正畸科)在技术实力、医生水平、治疗效果和患者口碑方面都享有极高的声誉,可以说,它是南京乃至江苏地区进行牙齿矫正的首选和标杆之一。
以下是关于南京市口腔医院正畸效果的具体分析:

🏥 1. 强大的综合实力与权威性
- 三甲专科医院: 作为江苏省唯一一家集医疗、教学、科研、预防为一体的三级甲等口腔专科医院,其整体医疗水平、设备条件、管理规范都处于国内领先地位。
- 重点学科: 口腔正畸科通常是医院的重点学科或优势学科,拥有雄厚的科研实力和丰富的临床经验,能够紧跟国际前沿技术。
- 专家荟萃: 汇聚了众多经验丰富、技术精湛的正畸专家,包括主任医师、副主任医师、博士生导师等,许多医生在国内外正畸领域都有很高的知名度和影响力。
👨⚕️ 2. 医生团队专业且经验丰富
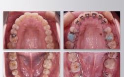
- 技术精湛: 医生团队普遍具备扎实的理论基础和丰富的临床经验,处理各种复杂错颌畸形(如骨性畸形、严重拥挤、开颌、深覆颌、深覆盖、唇腭裂术后正畸等)的能力很强。
- 技术全面: 熟练掌握各种矫治技术,包括传统金属托槽、陶瓷托槽、自锁托槽、舌侧隐形矫治、以及目前主流的隐形矫治技术(如时代天使、隐适美等)。
- 个性化方案: 强调“一人一策”,会根据患者的具体牙齿情况、骨骼发育、面部美学、年龄、需求等,制定个性化的矫治方案,力求达到功能与美学的统一。
🛠 3. 先进的设备与技术
- 数字化正畸: 广泛应用数字化技术,如口内扫描仪替代传统取模,提高舒适度和精准度;利用3D打印技术制作个性化矫治器或保持器;通过数字化方案设计软件进行模拟预测,让患者更直观地了解治疗过程和预期效果。
- 影像诊断: 配备先进的CBCT(锥形束CT)、全景片、头影测量等设备,为精准诊断和方案设计提供可靠依据。
- 材料优良: 使用国内外知名品牌的托槽、弓丝、矫治器等材料,保证矫治效果和生物相容性。
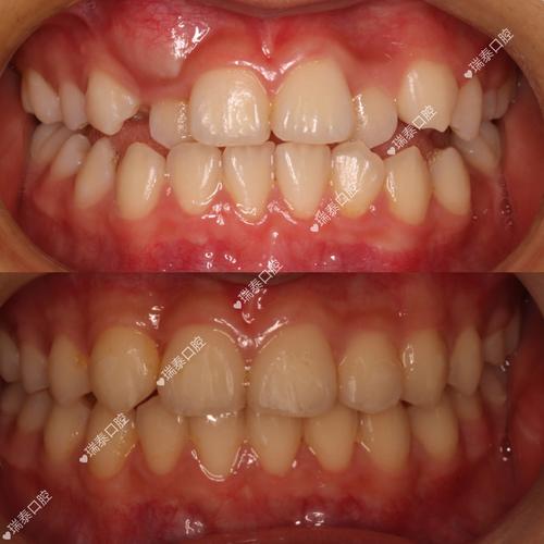
📊 4. 治疗效果显著且稳定
- 功能改善: 有效解决牙齿排列不齐、咬合关系异常等问题,恢复良好的咀嚼功能,改善发音。
- 美学提升: 矫正后的牙齿排列整齐,笑容更美观,对面部轮廓(如改善“凸嘴”、“地包天”等)也有积极影响,提升自信心。
- 长期稳定: 医院非常重视矫治后的保持,会提供详细的保持器佩戴指导和定期复查,确保治疗效果长期稳定,防止复发。
- 案例丰富: 积累了海量的成功案例,涵盖各种类型的错颌畸形,为患者提供了丰富的参考。
🗣 5. 良好的患者口碑
- 在各大医疗平台(如好大夫在线、微医、大众点评等)和患者交流群中,南京市口腔医院正畸科的评价普遍很高,主要赞誉点集中在:
- 医生专业负责,耐心细致。
- 矫治效果理想,达到甚至超过预期。
- 设备先进,就诊体验较好(尤其是数字化环节)。
- 处理复杂病例能力强。
⚠ 需要注意的方面(相对性)
- 患者量大: 作为顶尖医院,患者数量非常多,挂号难、候诊时间长是普遍现象,医生虽然专业,但可能每个患者的直接沟通时间相对有限,需要患者主动沟通和配合。
- 费用较高: 三甲医院的收费标准相对较高,尤其是知名专家的诊费和使用先进技术(如隐形矫治、舌侧矫治)的费用,会比普通诊所或私立机构贵一些。
- 复诊频率: 正畸治疗需要定期复诊调整,如果患者住得较远,频繁往返可能会带来不便。
- 效果个体差异: 虽然医生水平高,但最终效果也受到患者自身牙齿条件、骨骼基础、配合程度(如口腔卫生、复诊准时性、保持器佩戴等)的影响,严重的骨性问题可能需要联合正颌外科手术才能达到最佳效果。
📌 总结与建议
总体而言,南京市口腔医院的正畸效果是非常值得信赖的。 凭借其强大的综合实力、顶尖的专家团队、先进的技术设备、丰富的临床经验和良好的患者口碑,它为患者提供了高水平的正畸治疗服务,能够帮助绝大多数患者获得满意的功能和美学效果。
📝 给考虑者的建议:
- 尽早面诊: 如果你有正畸需求,建议尽早预约挂号(尤其是知名专家号可能需要提前很久)进行面诊咨询。
- 充分沟通: 面诊时,详细向医生说明你的主诉、期望和顾虑,认真听取医生的专业诊断和方案建议,了解不同方案的优缺点、周期、费用等。
- 了解医生: 可以提前在好大夫在线等平台了解目标医生的专长、患者评价等。
- 考虑自身情况: 综合考虑费用、时间成本(复诊频率)、地理位置等因素。
- 保持耐心和配合: 正畸治疗是一个长期过程(通常1-3年),需要患者极大的耐心和良好的配合(注意口腔卫生、按时复诊、正确佩戴保持器等),这对最终效果的稳定至关重要。
如果你追求最专业的技术、最权威的医生和最可靠的效果,并且能够接受相对较高的费用和可能的候诊时间,南京市口腔医院正畸科绝对是一个顶级的、值得优先考虑的选择。 建议亲自去面诊感受一下,和医生充分沟通后再做决定。💪🏻

